症例・治療例紹介
Cases
矯正歯科治療 → 非抜歯(歯を抜かない)
2ページ目 / 14
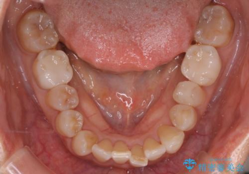
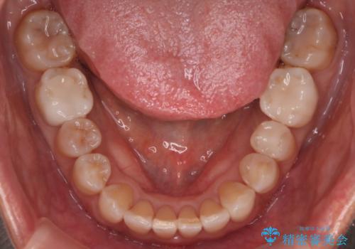
【インビザライン】下前歯だけを治したい


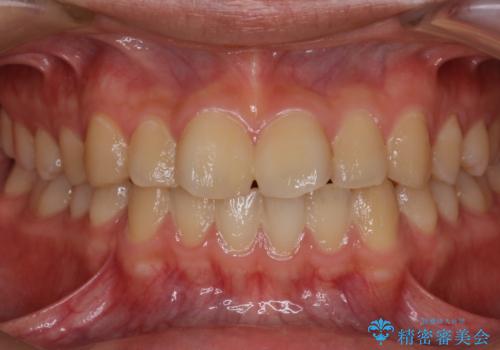
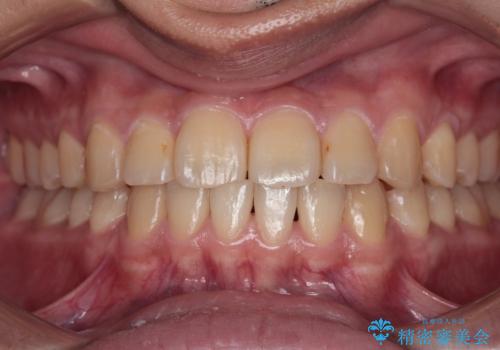
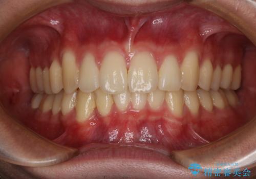
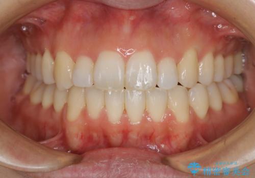
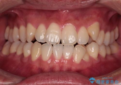
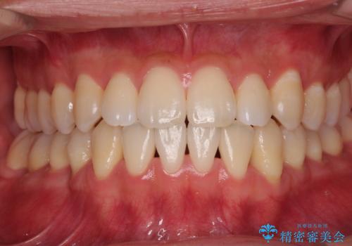
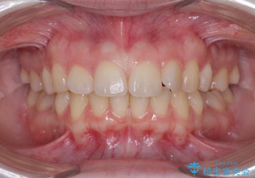
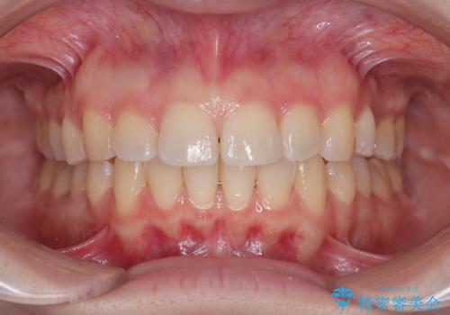
【クリア装置】前歯のがたつきが気になる


低予算・短期間での歯並び改善:インビザライン治療


サクソフォン(アルト)の演奏で崩れてしまった歯並び、マウスピース矯正治療


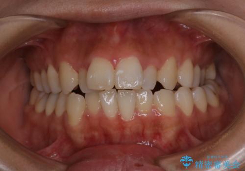
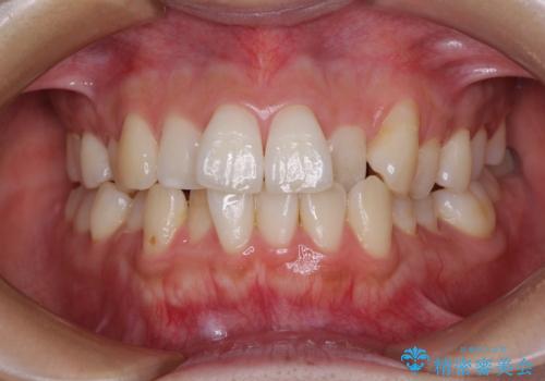
【インビザライン】上前歯1本飛び出ているのを治したい


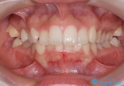
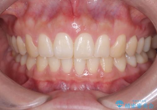
【インビザライン】短期間で出っ歯を治したい


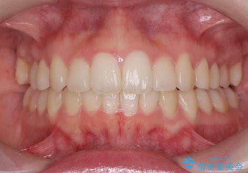
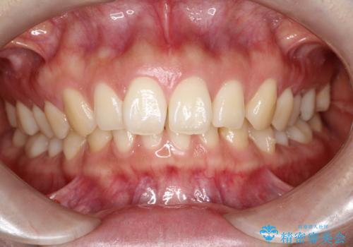
【インビザライン】前歯をきれいな歯並びにしたい


非抜歯、ワイヤーでの矯正治療。歯のがたつき、顎のズレ、出っ歯を治す。インビザラインが使えない方


急速拡大装置 歯列弓を拡大して非抜歯ワイヤー矯正


左上の前歯が出ているのが気になる 審美装置による非抜歯ワイヤー矯正


前歯の悩みを非抜歯ワイヤー矯正で改善


歪んだ歯列を超短期治療!


急速拡大装置 狭い歯列を拡大してワイヤー装置で短期間治療


【非抜歯】前歯を引っ込めたい!マウスピースの限界に挑戦


ワイヤー矯正後の後戻り 出っ歯を治したい マウスピース矯正


ワイヤー矯正歯科治療の注意事項(リスク・副作用など)
- 治療中は違和感や痛みが起こることがあります
- 症状により、抜歯が必要な場合があります
- 治療中は歯磨きがしにくくなるため、虫歯や歯周病になりやすくなります
- 矯正治療後の保定が不十分だと後戻り(元の位置に戻ろうとする動き)をします
- 自費診療(保険適用外)となります
マウスピース矯正の注意事項(リスク・副作用など)
- 口腔内・歯並びの状態によっては対応できない場合があります
- マウスピース型矯正装置の長時間装着が必須です
- 治療計画通りに進めるためには、患者様の意志が重要になります
- 矯正治療後の保定が不十分だと後戻り(元の位置に戻ろうとする動き)をします
- 自費診療(保険適用外)となります
