症例・治療例紹介
Cases
矯正歯科治療 → マウスピース
17ページ目 / 22
前歯のがたつき 乳歯を抜かずに矯正


前歯のねじれ 乳歯を残して矯正治療


インビザライン 気になるすきっ歯の改善


マウスピース矯正 下顎前歯のがたつきの改善


気になる前歯の歯並びをインビザラインで矯正


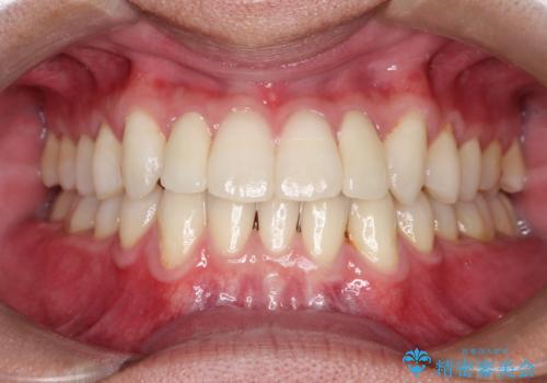
上下の前歯のがたつき 歯を抜かずに矯正


軽度の前歯のがたつき 下の前歯が生まれつき少ない


前歯のねじれを 1年かけずに矯正 インビザライン


上下の前歯が当たらない インビザラインによる開咬の矯正治療


上の前歯が一部引っ込んでいる 下のがたがた マウスピース矯正


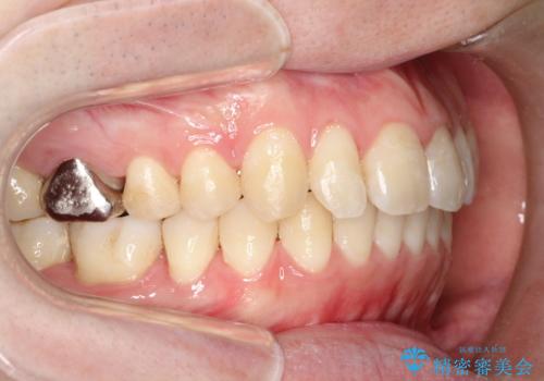
前歯のガタガタの矯正 下顎の前歯を1本抜歯してのインビザライン矯正


マウスピース矯正の注意事項(リスク・副作用など)
- 口腔内・歯並びの状態によっては対応できない場合があります
- マウスピース型矯正装置の長時間装着が必須です
- 治療計画通りに進めるためには、患者様の意志が重要になります
- 矯正治療後の保定が不十分だと後戻り(元の位置に戻ろうとする動き)をします
- 自費診療(保険適用外)となります








