症例・治療例紹介
Cases
インプラント治療 → 骨造成
4ページ目 / 6
他院で中途半端に終わってしまったインプラント治療


骨が薄い部位への骨造成をともなうインプラント


[重度の骨吸収] 顎骨の再建を伴うインプラント治療
![[重度の骨吸収] 顎骨の再建を伴うインプラント治療の症例 治療前](https://seimitsushinbi.jp/wp/wp-content/uploads/2019/05/e9019076b1821eb07ff5f43054741ecb-500x350.jpg)
![[重度の骨吸収] 顎骨の再建を伴うインプラント治療の症例 治療後](https://seimitsushinbi.jp/wp/wp-content/uploads/2019/05/41890b7a4fba7bded1b9c70039ff5e75-500x350.jpg)
大規模な骨欠損 骨造成をしてのインプラント治療①


大規模な骨欠損 骨造成をしてのインプラント治療②


[ 骨造成を伴う臼歯部インプラント治療 ① ] 抜歯を行い骨造成、インプラントの埋入
![[ 骨造成を伴う臼歯部インプラント治療 ① ] 抜歯を行い骨造成、インプラントの埋入の症例 治療前](https://seimitsushinbi.jp/wp/wp-content/uploads/2018/09/ebd8679e9c4cbf8efe5e400ee54f8d06-1-500x350.jpg)
![[ 骨造成を伴う臼歯部インプラント治療 ① ] 抜歯を行い骨造成、インプラントの埋入の症例 治療後](https://seimitsushinbi.jp/wp/wp-content/uploads/2018/09/7f8c8e41a85d6e949ab7d9fb572f6198-500x350.jpg)
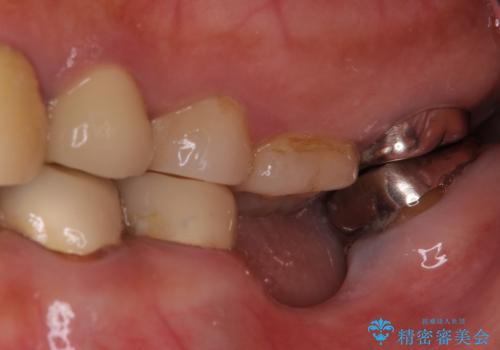
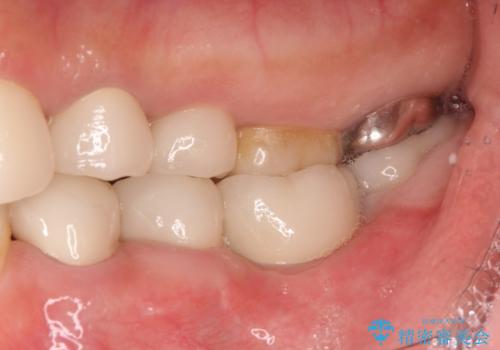
[ 骨造成を伴う臼歯部インプラント治療 ② ] 歯ぐきの移植・チタンカスタムアバットメント・メタルボンドクラウン製作
![[ 骨造成を伴う臼歯部インプラント治療 ② ] 歯ぐきの移植・チタンカスタムアバットメント・メタルボンドクラウン製作の症例 治療前](https://seimitsushinbi.jp/wp/wp-content/uploads/2018/09/4d1d66304eccb99892cd431039c5e2c3-1-500x350.jpg)
![[ 骨造成を伴う臼歯部インプラント治療 ② ] 歯ぐきの移植・チタンカスタムアバットメント・メタルボンドクラウン製作の症例 治療後](https://seimitsushinbi.jp/wp/wp-content/uploads/2018/09/cabfeb7e8932dbf01312cfe4b97cf38f-1-500x350.jpg)
インプラント治療の注意事項(リスク・副作用など)
- 外科手術のため、術後に痛みや腫れ、違和感を伴います
- メンテナンスを怠ったり喫煙により、お口の中に大きな悪影響を及ぼすインプラント周囲炎等にかかる可能性があります
- 糖尿病、肝硬変、心臓病等の場合、インプラント治療ができない可能性があります
- 高血圧、貧血・不整脈等の場合、インプラント治療後に治癒不全を招く可能性があります
- 自費診療(保険適用外治療)となります
















