症例・治療例紹介
Cases
インプラント治療 → 骨造成
3ページ目 / 6
骨の造成を同時に行うインプラント治療


骨が薄く他院でインプラントできないと言われた 50代女性


奥歯のインプラント 70代男性


骨の造成を伴うインプラント治療


薄い骨幅 骨造成 歯肉移植を併用したインプラント治療


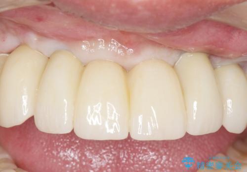
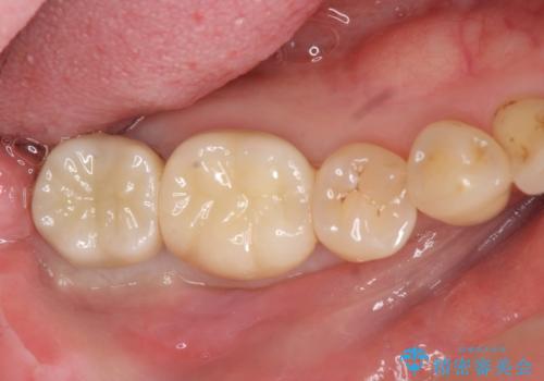
奥歯が割れている 抜歯してインプラントへ 40代女性


喫煙を再開してインプラント周囲炎に リカバリー治療 50代男性


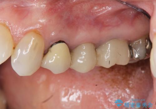
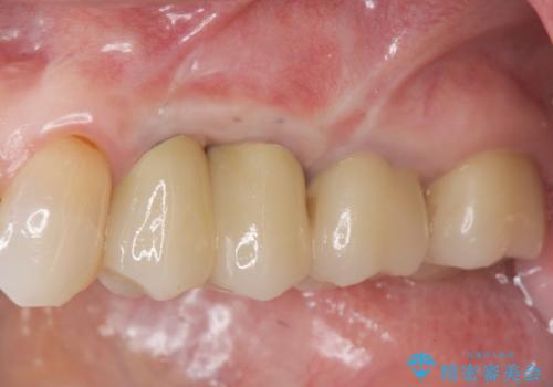
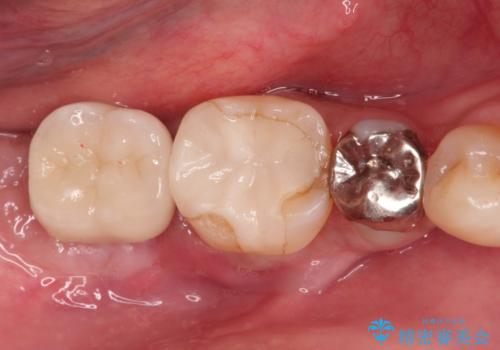
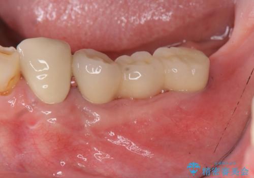
[歯の破折] インプラント埋入を行うための大規模骨造成
![[歯の破折] インプラント埋入を行うための大規模骨造成の症例 治療前](https://seimitsushinbi.jp/wp/wp-content/uploads/2020/11/073ce5e06775df372887a513b05b34d0-500x350.jpg?v=1606392481)
![[歯の破折] インプラント埋入を行うための大規模骨造成の症例 治療後](https://seimitsushinbi.jp/wp/wp-content/uploads/2020/11/7e00d9287463e80cbc3d4b87784b3d86-500x350.jpg?v=1606392566)
抜歯時歯槽堤保存術を用いた骨造成・インプラント治療


他院で中途半端に終わってしまったインプラント治療


インプラント治療の注意事項(リスク・副作用など)
- 外科手術のため、術後に痛みや腫れ、違和感を伴います
- メンテナンスを怠ったり喫煙により、お口の中に大きな悪影響を及ぼすインプラント周囲炎等にかかる可能性があります
- 糖尿病、肝硬変、心臓病等の場合、インプラント治療ができない可能性があります
- 高血圧、貧血・不整脈等の場合、インプラント治療後に治癒不全を招く可能性があります
- 自費診療(保険適用外治療)となります

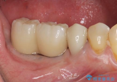
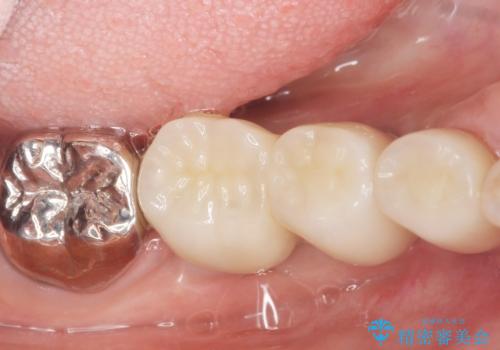
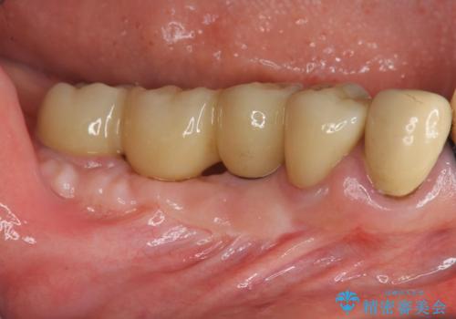
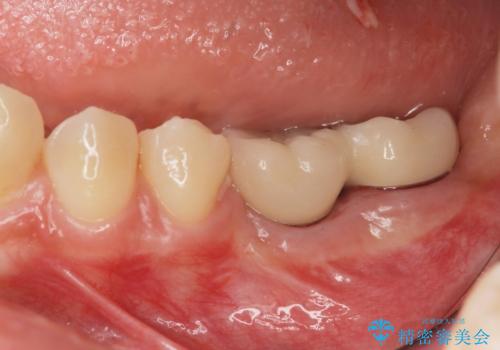
![[ 重度歯周病 ] 抜歯後のインプラント治療の症例 治療前](https://seimitsushinbi.jp/wp/wp-content/uploads/2023/09/175b509ec454b727ff977cee78485926-500x350.jpg?v=1695801041)
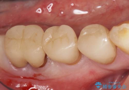
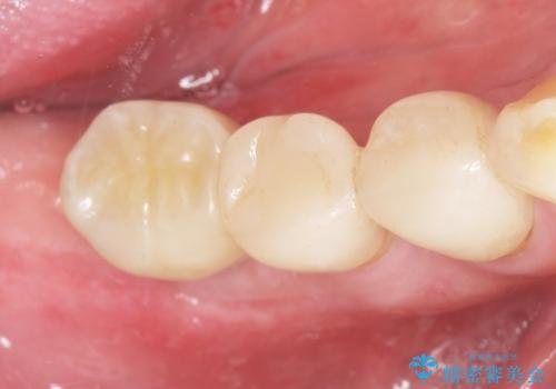
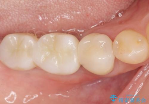
![[ 重度歯周病 ] 抜歯後のインプラント治療の症例 治療後](https://seimitsushinbi.jp/wp/wp-content/uploads/2023/09/e98e4e9cd9ff38fbf43e5e8e0214fa69-500x350.jpg?v=1695801055)







