症例・治療例紹介
Cases
セラミック治療 → 前歯クラウン(オールセラミック)
9ページ目 / 73
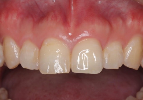
ぶつけて変色した前歯 オールセラミッククラウン治療


前歯をやりかえたい。
担当医 青山卓弘


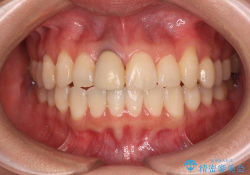
前歯を綺麗にしたい
担当医 河口智英


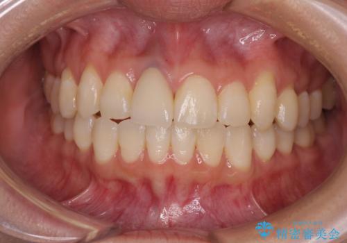
[ 審美歯科治療 ] 充填物でつぎはぎだらけの前歯をセラミックに
担当医 大元洋佑
![[ 審美歯科治療 ] 充填物でつぎはぎだらけの前歯をセラミックにの症例 治療前](https://seimitsushinbi.jp/wp/wp-content/uploads/2024/06/ce79a6cd79e4112968e50b52976322dd-500x350.jpg?v=1718616013)
![[ 審美歯科治療 ] 充填物でつぎはぎだらけの前歯をセラミックにの症例 治療後](https://seimitsushinbi.jp/wp/wp-content/uploads/2024/06/350ebcfc3d9a0059621d725432075e1a-500x350.jpg?v=1718616037)
リアルな歯の色調にこだわるオールセラミッククラウン治療
担当医 大元洋佑


銀歯を白くして見た目を改善したい !


前歯が欠けた セラミッククラウン
担当医 高悠莉


変色した前歯 ジルコニアクラウンでの修復


外れやすい前歯をどうにかしたい。


前歯をきれいなセラミックにしたい。
担当医 齋藤佑磨


変色と捻れた前歯 オールセラミッククラウン補綴治療


[ 審美歯科 オールセラミッククラウン ] 前歯をとにかく白くしたい
担当医 大元洋佑
![[ 審美歯科 オールセラミッククラウン ] 前歯をとにかく白くしたいの症例 治療前](https://seimitsushinbi.jp/wp/wp-content/uploads/2024/05/6813cb965e191b656bd4e39932b7bf1c-500x350.jpg?v=1716779758)
![[ 審美歯科 オールセラミッククラウン ] 前歯をとにかく白くしたいの症例 治療後](https://seimitsushinbi.jp/wp/wp-content/uploads/2024/05/fae2b4047e2dacc46bd0a9b9fcac47a1-500x350.jpg?v=1716779765)
孫から口臭を指摘され来院、全顎治療で噛み合わせ、見た目、口臭全て劇的改善!


前歯がグラグラする。


セラミック治療の注意事項(リスク・副作用など)
- 天然歯を削ります
- 硬い素材は天然歯を傷つけてしまう場合があります
- かみ合わせや歯ぎしりが強すぎる方はセラミックが割れてしまう可能性があります
- 自費診療(保険適用外治療)となります


