症例・治療例紹介
Cases
セラミック治療 → PGA(ゴールド)
6ページ目 / 11
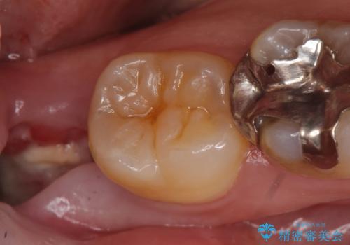
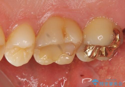
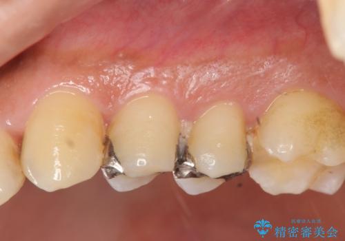
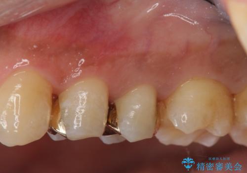
銀歯がしみる PGA(ゴールド)インレーへ 40代女性


深い咬み合わせと奥歯のむし歯 総合歯科治療


上の奥歯のインプラント、全体的な虫歯治療


目立つ銀歯を治したい 奥歯のむし歯治療


PGA(ゴールド)インレー 深い虫歯の治療


PGA(ゴールド)インレー しみる銀歯の虫歯治療


PGA(ゴールド)インレー 冷たいものがしみる歯の治療


PGA(ゴールド)インレー 欠けた古い樹脂のやり替え


PGA(ゴールド)インレー 甘いものがしみる歯の治療


奥歯のゴールドインレーによる虫歯治療


セラミック治療の注意事項(リスク・副作用など)
- 天然歯を削ります
- 硬い素材は天然歯を傷つけてしまう場合があります
- かみ合わせや歯ぎしりが強すぎる方はセラミックが割れてしまう可能性があります
- 自費診療(保険適用外治療)となります










