症例・治療例紹介
Cases
セラミック治療 → 前歯クラウン(オールセラミック)
45ページ目 / 73
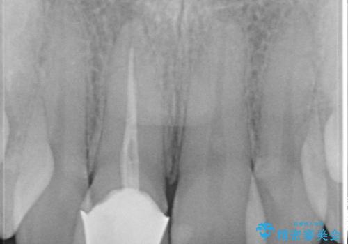
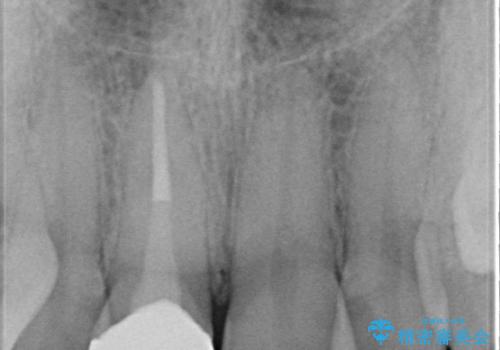
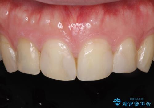
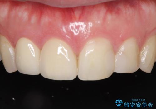
前歯の治療。再根管治療~セラミッククラウン
担当医 河口智英


歯の形態修正も含めた矯正治療&セラミック治療


【歯周外科】審美的に気になる短い前歯の長さを歯茎の外科手術とセラミックで揃える


変色した前歯をセラミックできれいに レイヤリングセラミック


事故で抜けかけた歯 歯が溶けてしまった方のブリッジ治療


前歯のつめものが汚い セラミックできれいに


矯正を併用した前歯のセラミックブリッジ治療


どんなに歯を磨いても治らない 重度歯周病患者の治療
担当医 藤巻太一朗


仮歯を入れてもらえない 前歯のオールセラミック治療


困ったことが多すぎて困っている 全顎治療による咬合回復


前歯のブリッジが外れる


せっかく入れたセラミックが暗い 前歯のジルコニアセラミック


オールセラミッククラウン 前歯部の見た目の改善


オールセラミッククラウン 前歯を綺麗に


前歯の変色 見える前歯の審美改善セラミック治療
担当医 大元洋佑


セラミック治療の注意事項(リスク・副作用など)
- 天然歯を削ります
- 硬い素材は天然歯を傷つけてしまう場合があります
- かみ合わせや歯ぎしりが強すぎる方はセラミックが割れてしまう可能性があります
- 自費診療(保険適用外治療)となります
