症例・治療例紹介
Cases
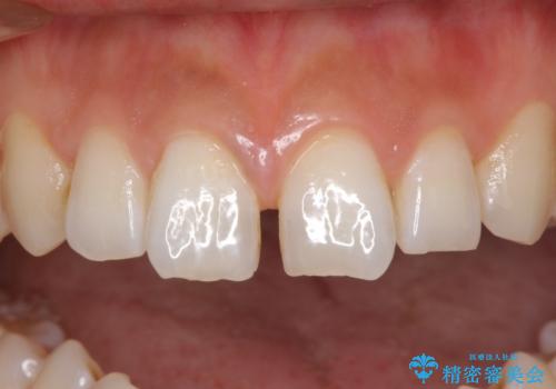
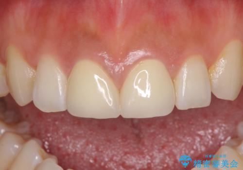
セラミック治療 → 前歯クラウン(オールセラミック)
44ページ目 / 73
気になる前歯を審美歯科治療と矯正歯科治療で美しく


前歯の隙間をオールセラミックで閉じる


古くなった前歯のブリッジをオールセラミックに


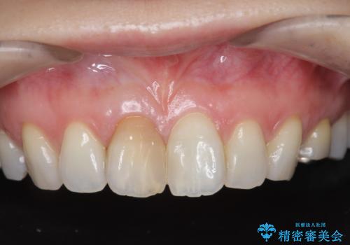
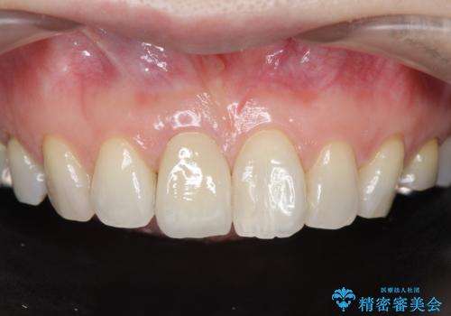
まだらな色の前歯をきれいにしたい セラミック治療による見た目の改善


前歯の変色 セラミック審美補綴
担当医 大元洋佑


セラミックと矯正を併用してきれいな前歯へ


前歯がぐらぐら ブリッジの形も気に入らない


40代男性 銀歯を白く 虫歯だらけの歯を治したい


奥歯の目立つ銀歯を白くしたい


もはや別人 口元の印象がその人の印象をかえる
担当医 藤巻太一朗


20代女性 根管治療途中での転院


オールセラミッククラウン 歯牙の挺出後の補綴


オールセラミッククラウン 前歯部の見た目の改善


オールセラミッククラウン(スペシャル) 変色が気になる前歯部の補綴


歯周病 全顎治療


セラミック治療の注意事項(リスク・副作用など)
- 天然歯を削ります
- 硬い素材は天然歯を傷つけてしまう場合があります
- かみ合わせや歯ぎしりが強すぎる方はセラミックが割れてしまう可能性があります
- 自費診療(保険適用外治療)となります
