症例・治療例紹介
Cases
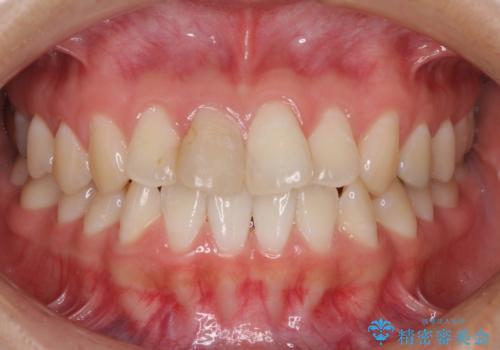
セラミック治療 → 前歯クラウン(オールセラミック)
43ページ目 / 73
エナメル質形成不全症の方の全顎治療 矯正治療から最終補綴処置まで


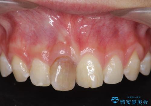
前歯の根元が黒い オールセラミッククラウンの装着による改善


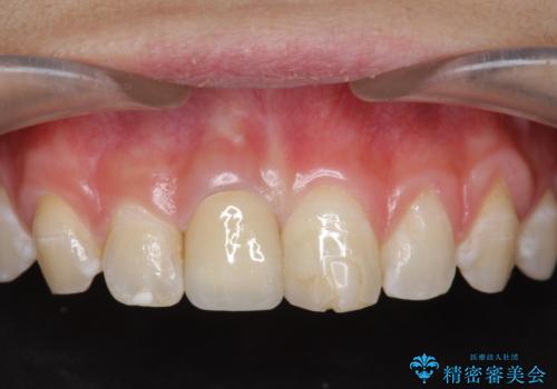
差し歯(被せ物)のやりかえ 上の前歯で印象が明るく


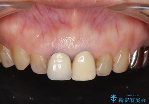
変色した歯をセラミックにしたい 歯自体が変色している場合の参考用2


前歯のメタルをセラミックにしたい 歯自体が変色している場合の参考用


虫歯だらけ、歯周病 崩壊した口腔の再建 フルマウスリコンストラクション


歯茎の黒ずみがきになる 前歯の見た目を改善したい


前歯をきれいにしたい ジルコニアクラウンによる審美治療
担当医 大元洋佑


短期集中 前歯審美治療


前歯の低クオリティな治療の実態 妥協無い治療で根本からやり治す


前歯の審美改善
担当医 大元洋佑


出っ歯をセラミックで治したい


前歯のすきま 矯正治療とセラミックで小さな歯を形良く


前歯の虫歯 つぎはぎの歯をセラミックに


矮小歯 インビザラインとセラミックで美しく


セラミック治療の注意事項(リスク・副作用など)
- 天然歯を削ります
- 硬い素材は天然歯を傷つけてしまう場合があります
- かみ合わせや歯ぎしりが強すぎる方はセラミックが割れてしまう可能性があります
- 自費診療(保険適用外治療)となります
