症例・治療例紹介
Cases
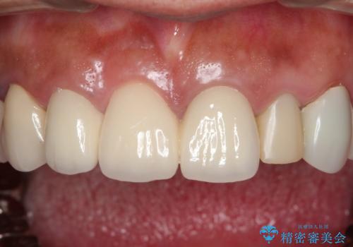
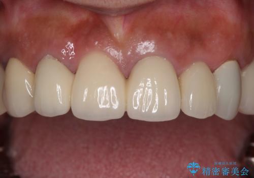
セラミック治療 → 前歯クラウン(オールセラミック)
40ページ目 / 73
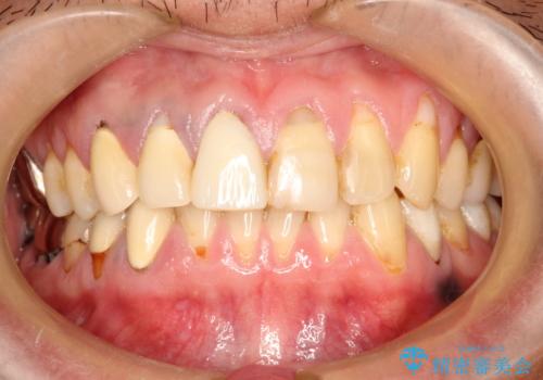
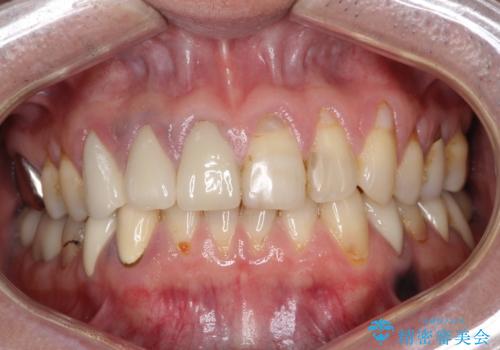
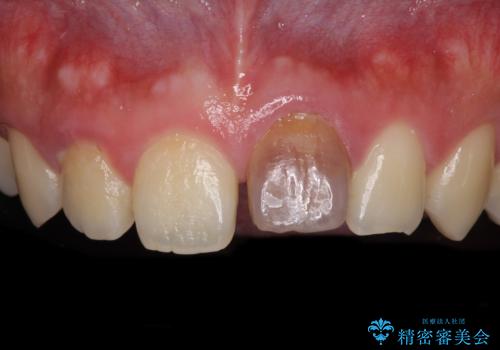
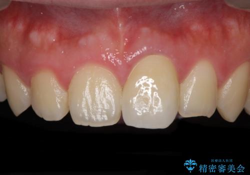
不自然な前歯のかぶせ物をオールセラミックへ


オールセラミッククラウン(スペシャル) より綺麗な歯へ


口ゴボでお悩みの方必見! 不自然なセラミックをやり直す矯正 セラミックだけでは、口元は下がりません。


犬歯の変色 マウスピースで手軽にエクストリュージョン 歯ぐきの炎症をおさめます


クラウン下に再発した深い虫歯 インプラントによる機能回復


オールセラミッククラウン(スペシャル) 不揃いな前歯を綺麗に


ぶつけた前歯 変色歯をオールセラミッククラウンに


この際全てをしっかりと治療したい 総合歯科治療
担当医 藤巻太一朗


割れてしまった前歯 インプラントによる補綴治療


汚れてしまった前歯の仮歯 オールセラミッククラウンにて自然に


矯正治療とインプラント治療を同時に 総合歯科診療


オールセラミッククラウン・セラミックインレー 口腔内全体の見た目の改善


天然歯を模した ハイグレードオールセラミッククラウン
担当医 大元洋佑


前歯をメタルフリーに 根管治療で不安を取り除いてから


前歯のすきっぱ&奥歯の虫歯 セラミッククラウンで徹底的に治す


セラミック治療の注意事項(リスク・副作用など)
- 天然歯を削ります
- 硬い素材は天然歯を傷つけてしまう場合があります
- かみ合わせや歯ぎしりが強すぎる方はセラミックが割れてしまう可能性があります
- 自費診療(保険適用外治療)となります
