症例・治療例紹介
Cases
セラミック治療 → 前歯クラウン(オールセラミック)
35ページ目 / 73
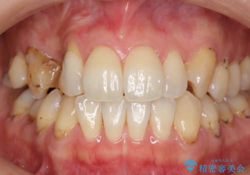
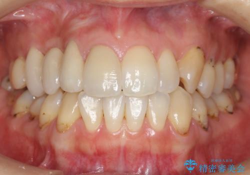
[歯の変色] 根管治療 セラミッククラウンの製作
![[歯の変色] 根管治療 セラミッククラウンの製作の症例 治療前](https://seimitsushinbi.jp/wp/wp-content/uploads/2021/01/9177acacd4965ad7e3a90a0e564ac25b-500x350.jpg?v=1609913081)
![[歯の変色] 根管治療 セラミッククラウンの製作の症例 治療後](https://seimitsushinbi.jp/wp/wp-content/uploads/2021/01/a5834923f48045d87e7ab38b53fa83a2-500x350.jpg?v=1609913111)
部分矯正とセラミック 前歯の審美治療


前歯の虫歯 とりあえずつけていた歯がとれた


奥歯が割れてしまった インプラントでかめるように 全体的な治療も


前歯の見た目を改善したい


前歯の違和感 失活歯の根管治療とセラミック治療


痛くて噛めない インプラントで全て治療したい
担当医 大元洋佑


歯ぐきの黒ずみ クラウンやりかえによる改善


統一感のない前歯を綺麗にしたい 前歯のオールセラミック


全ての奥歯の銀歯をセラミックに メタルフリー治療


不自然なセラミッククラウンを自然なセラミックに


前歯のかぶせ物の色があっていない オールセラミック治療


オールセラミッククラウン 変色した前歯


オールセラミッククラウン 下がってしまった前歯の歯茎の改善


オールセラミッククラウン(スペシャル) 前歯を綺麗に


セラミック治療の注意事項(リスク・副作用など)
- 天然歯を削ります
- 硬い素材は天然歯を傷つけてしまう場合があります
- かみ合わせや歯ぎしりが強すぎる方はセラミックが割れてしまう可能性があります
- 自費診療(保険適用外治療)となります
