症例・治療例紹介
Cases
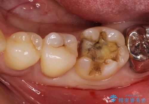
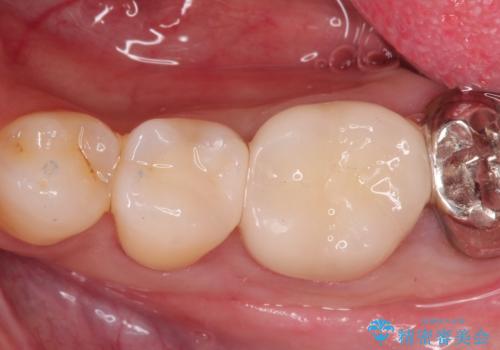
セラミック治療 → セラミックインレー
26ページ目 / 49
ワイヤー装置の抜歯矯正で横顔の口元の印象をすっきりと


金属の詰め物がはずれた。


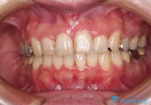
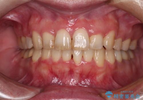
目立つ銀歯を白くしたい 奥歯のセラミック治療


悪いところを全部治したい:適合不良の補綴物のやり直し


[ セラミック治療 ]目立つ奥歯の銀歯を白くする
![[ セラミック治療 ]目立つ奥歯の銀歯を白くするの症例 治療前](https://seimitsushinbi.jp/wp/wp-content/uploads/2021/11/200905b82e48a56c05450d91be582e11-1-500x350.jpg?v=1637229926)
![[ セラミック治療 ]目立つ奥歯の銀歯を白くするの症例 治療後](https://seimitsushinbi.jp/wp/wp-content/uploads/2021/11/2d1e50d0178f2ec9668274932161b9f7-500x350.jpg?v=1637229912)
奥歯の銀歯と歯並びを改善 歯周外科治療と矯正治療を行った総合歯科診療


銀歯だらけの口の中を改善したい


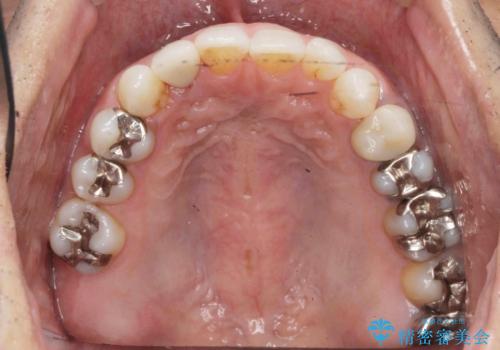
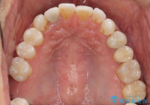
[ メタルフリー治療 ] 金属のない口腔内にしたい
![[ メタルフリー治療 ] 金属のない口腔内にしたいの症例 治療前](https://seimitsushinbi.jp/wp/wp-content/uploads/2021/09/2a134eb6522ae423858539412c8101be-500x350.jpg?v=1632299928)
![[ メタルフリー治療 ] 金属のない口腔内にしたいの症例 治療後](https://seimitsushinbi.jp/wp/wp-content/uploads/2021/09/7dd01ef5eeb5bcef896adc1f4413dba9-500x350.jpg?v=1632299935)
インプラント治療・セラミック治療を含む 全顎的虫歯治療
担当医 大元洋佑


セラミック治療の注意事項(リスク・副作用など)
- 天然歯を削ります
- 硬い素材は天然歯を傷つけてしまう場合があります
- かみ合わせや歯ぎしりが強すぎる方はセラミックが割れてしまう可能性があります
- 自費診療(保険適用外治療)となります











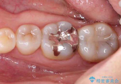
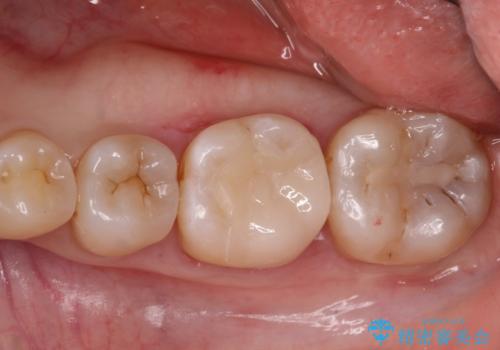
![[ 矯正治療後のセラミック治療 ] セラミックインレーで銀歯を白くの症例 治療前](https://seimitsushinbi.jp/wp/wp-content/uploads/2021/08/724426172adc2a95c2dd88fe542e0dd6-500x350.jpg?v=1629979319)
![[ 矯正治療後のセラミック治療 ] セラミックインレーで銀歯を白くの症例 治療後](https://seimitsushinbi.jp/wp/wp-content/uploads/2021/08/87ad9b7f94966eaf6319664a08444901-500x350.jpg?v=1629979331)