症例詳細
Case detail
閉じにく口元と欠損歯列 ワイヤー装置の抜歯矯正
治療症例の内容
- 診療科目
- 担当医
- 藤巻太一朗(ドクタープロフィール)
- 患者様
- 30代女性
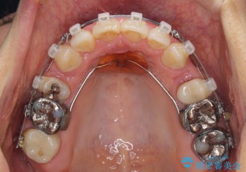
- 矯正装置
- クリアブラケット
- 治療期間
- 3年4ヶ月
- 治療回数
- 30回以上
- 治療計画
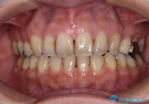
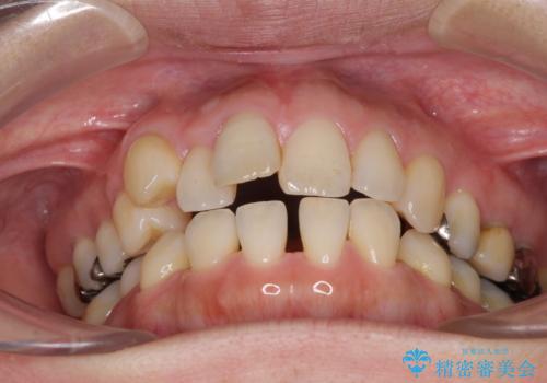
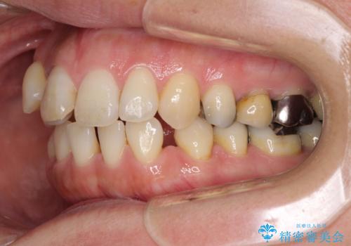
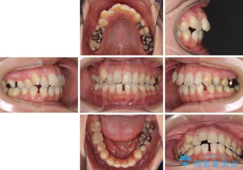
- 八重歯と前歯の隙間を気にして来院された患者様です。
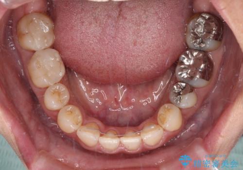
下顎前歯は2本欠損しており、それが原因で隙間ができていました。
また、その影響で上下歯列がアンバランスとなっており、上下前が非接触となっていました。
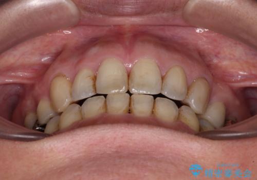
上下のバランスを取って八重歯などを解消するため、上顎左右第1小臼歯を抜歯することとしました。
根管治療の必要な歯も2本あったため、まずは根管治療を行い、ワイヤー矯正の後に補綴治療を行うこととしました。
- 費用(概算)
- 治療費の目安: 160万円(税込)費用は治療当時の料金となります
治療について
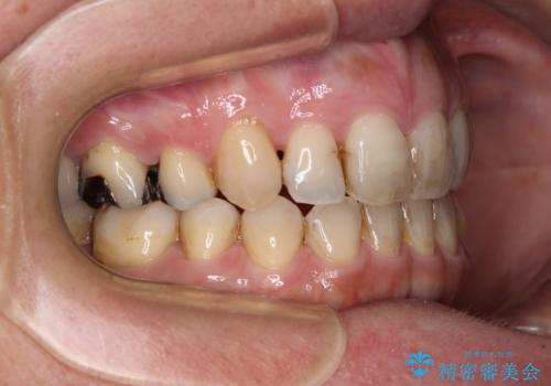
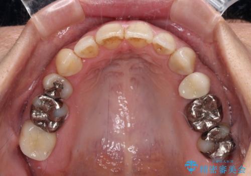
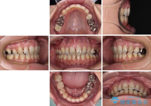
上顎左右第1小臼歯を抜歯したことで、隙間が閉じた下顎歯列の位置まで前歯を引っ込ますことができたため、口の閉じにくさを解消することができました。
ワイヤー矯正の注意事項(リスク・副作用など)
- 治療中は違和感や痛みが起こることがあります
- 症状により、抜歯が必要な場合があります
- 治療中は歯磨きがしにくくなるため、虫歯や歯周病になりやすくなります
- 矯正治療後の保定が不十分だと後戻り(元の位置に戻ろうとする動き)をします
- 自費診療(保険適用外)となります
セラミック治療の注意事項(リスク・副作用など)
- 天然歯を削ります
- 硬い素材は天然歯を傷つけてしまう場合があります
- かみ合わせや歯ぎしりが強すぎる方はセラミックが割れてしまう可能性があります
- 自費診療(保険適用外治療)となります
当サイトの内容、テキスト、画像等の無断転載、複製、複写、盗用を固く禁じます。


























