症例詳細
Case detail
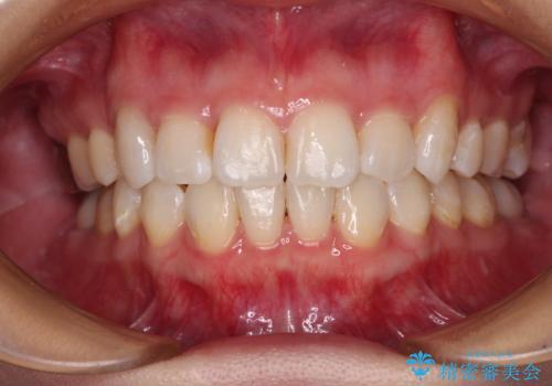
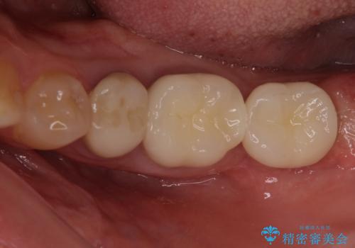
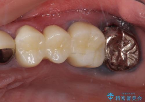
前歯や奥歯のむし歯治療(20代女性)
治療症例の内容
- 診療科目
- 担当医
- 藤巻太一朗(ドクタープロフィール)
- 患者様
- 20代女性
- 治療期間
- 6ヶ月
- 治療回数
- 2-5回
- 治療計画
- 前歯4歯をオールセラミッククラウン・奥歯はセラミックインレーにて治療
- 費用(概算)
- 治療費の目安: 35万円(4前歯)費用は治療当時の料金となります
治療を終えて
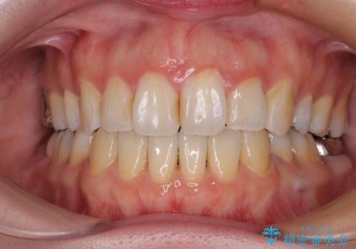
10年程前に治療した前歯が変色したため、オールセラミッククラウン(ガラス系)により審美補綴を行いました。
ガラス系セラミックでは、周りの歯との調和は一般的に困難なのですが、まるでご自分の歯であるかのようにぴったりと色合いが合いました。
治療後2年近くが経過しておりますが、その他のむし歯治療した歯も含め、健全な状態が維持されています。
リスクについて
セラミックは破折などにより修復や再製作が必要となることがあります。
動画
セラミック治療の注意事項(リスク・副作用など)
- 天然歯を削ります
- 硬い素材は天然歯を傷つけてしまう場合があります
- かみ合わせや歯ぎしりが強すぎる方はセラミックが割れてしまう可能性があります
- 自費診療(保険適用外治療)となります
当サイトの内容、テキスト、画像等の無断転載、複製、複写、盗用を固く禁じます。






