症例詳細
Case detail
転倒で折れてしまった前歯 インプラントによるオールセラミックブリッジ治療
治療症例の内容
- 担当医
- 藤巻太一朗(ドクタープロフィール)
- 患者様
- 40代男性
- 治療期間
- 1年4ヶ月
- 治療回数
- 5-10回
- 治療計画
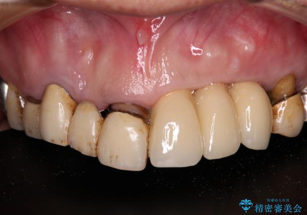
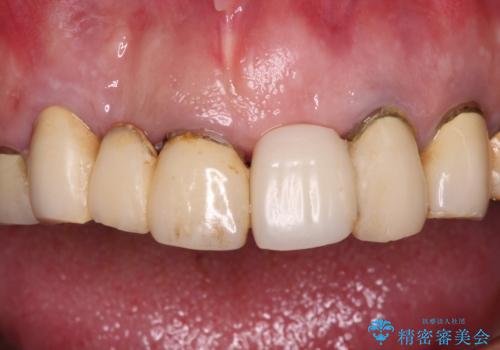
- 転倒により前歯3本が折れてしまったとのことで、インプラントによる治療を希望して来院された患者様です。
 既に近医で真ん中の歯1本は抜歯されており、その隣の2本も破折していると言われたとのことでした。
 診断をした結果、前医の診断の通り、2本とも破折しており、既に抜去している歯を含めて3本の抜歯が必要な状態でした。
 抜歯する歯の両隣も治療が必要と思える歯であったため、広範囲なオールセラミックブリッジによる治療も提案しましたが、患者様本人の希望もあってインプラント2本による欠損部のみのブリッジ治療を行うこととしました。
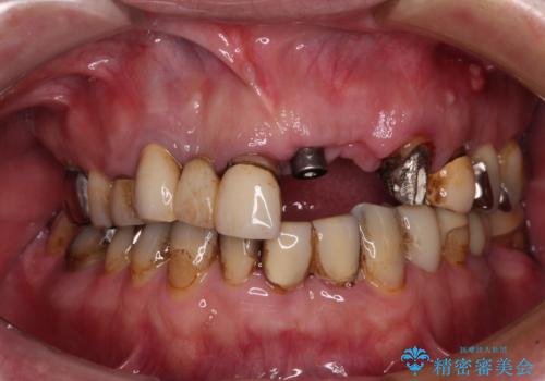
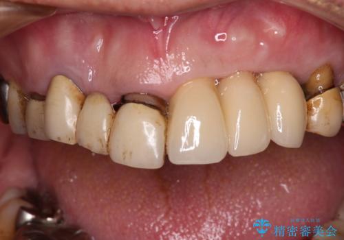
 歯の破折による抜歯のため、歯槽骨の欠損が大きく、骨造成処置の併用が必要であり、骨造成が落ち着くまでに半年ほど時間を要することになります。
 2本同時に抜去して一時的な入れ歯の使用を提案しましたが、極力固定式の仮歯を使用したいとのことで、半年に1本ずつ埋入することとし、トータルで1年強を要する治療計画となりました。
- 費用(概算)
- 治療費の目安: 115万円(税込)費用は治療当時の料金となります
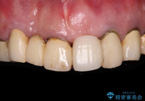
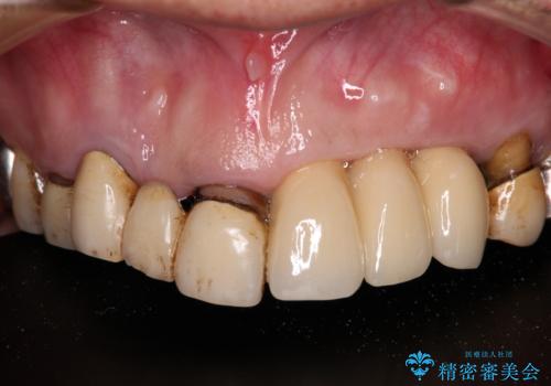
治療について
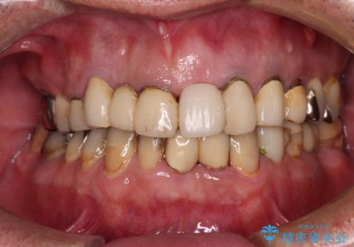
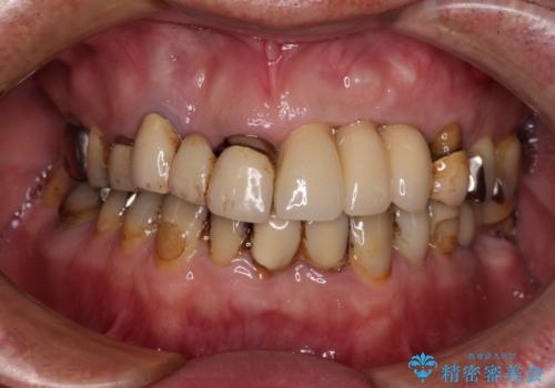
治療により前歯は非常に安定しましたが、インプラント部の両隣、特に反対側の前歯はクラウンのやり直しが必要な状態であったので、今後反対側の治療も実施していく予定です。
インプラント治療の注意事項(リスク・副作用など)
- 外科手術のため、術後に痛みや腫れ、違和感を伴います
- メンテナンスを怠ったり喫煙により、お口の中に大きな悪影響を及ぼすインプラント周囲炎等にかかる可能性があります
- 糖尿病、肝硬変、心臓病等の場合、インプラント治療ができない可能性があります
- 高血圧、貧血・不整脈等の場合、インプラント治療後に治癒不全を招く可能性があります
- 自費診療(保険適用外治療)となります
セラミック治療の注意事項(リスク・副作用など)
- 天然歯を削ります
- 硬い素材は天然歯を傷つけてしまう場合があります
- かみ合わせや歯ぎしりが強すぎる方はセラミックが割れてしまう可能性があります
- 自費診療(保険適用外治療)となります
当サイトの内容、テキスト、画像等の無断転載、複製、複写、盗用を固く禁じます。








 
                       
                                                          














 
                   
                   
                  