症例詳細
Case detail
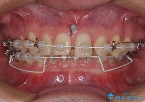
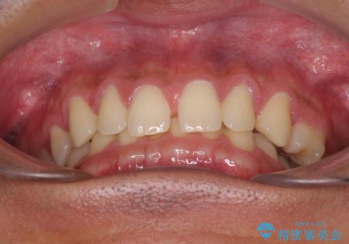
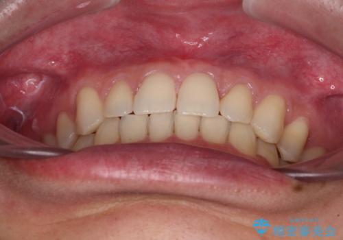
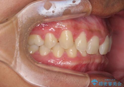
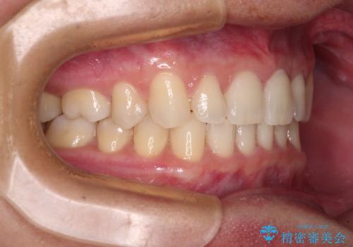
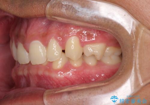
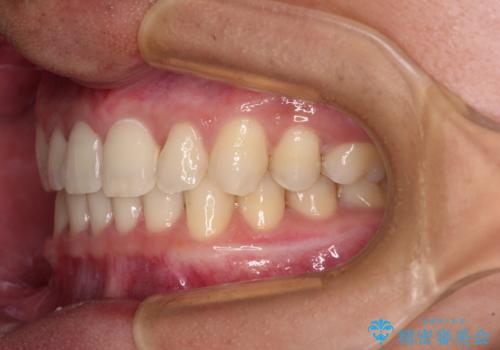
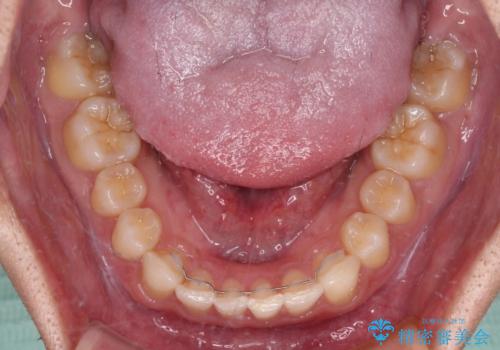
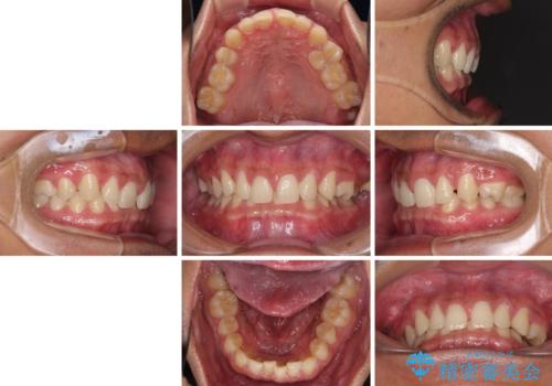
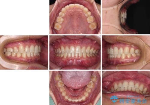
著しいディープバイトと隙間だらけの歯列
治療症例の内容
- 患者様
- 20代男性
- 矯正装置
- 審美装置
- 治療期間
- 2年5ヶ月
- 治療回数
- 10-30回
- 治療計画
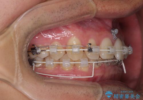
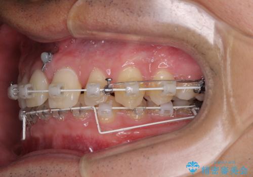
- 歯のデコボコと歯の隙間を気にして来院された患者様です。
隙間の原因は、埋伏や前後に重なってしまっている上顎小臼歯と、下の前歯が見えなくなるくらいのディープバイトで、それらを改善する必要がありました。
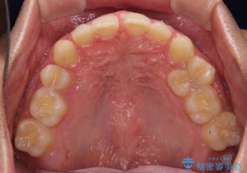
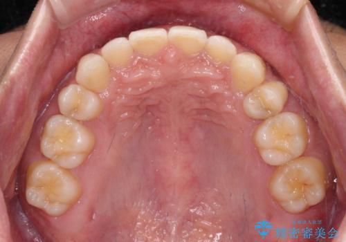
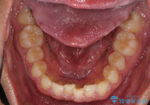
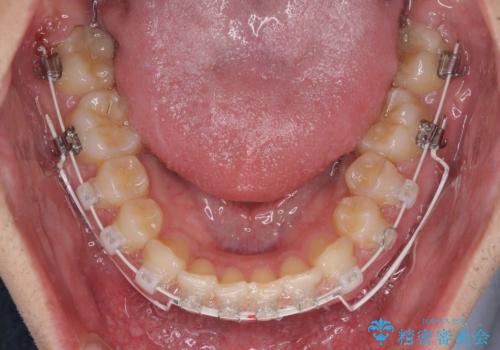
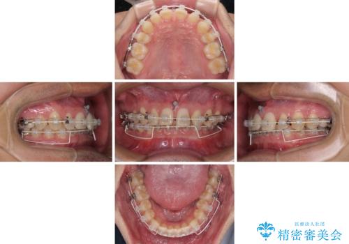
アンカースクリューを用いて下に位置している上顎前歯を持ち上げるとともに、ワイヤー装置によりディープバイトの原因である奥歯の傾斜を改善することで、矯正治療を行っていくこととしました。
また、矯正治療に際し、4本全ての親知らずと、埋もれている右上小臼歯を事前に抜去することとしました。
- 費用(概算)
- 治療費の目安: 105万円(税込)費用は治療当時の料金となります
治療について
顕著なディープバイトのため、頻繁に装置が脱離することがあり、治療期間が想定よりも長くかかることがありますが、当初の予定期間で無事に治療を終えることができました。
ワイヤー矯正の注意事項(リスク・副作用など)
- 治療中は違和感や痛みが起こることがあります
- 症状により、抜歯が必要な場合があります
- 治療中は歯磨きがしにくくなるため、虫歯や歯周病になりやすくなります
- 矯正治療後の保定が不十分だと後戻り(元の位置に戻ろうとする動き)をします
- 自費診療(保険適用外)となります
当サイトの内容、テキスト、画像等の無断転載、複製、複写、盗用を固く禁じます。


























