症例詳細
Case detail
前歯の反対咬合 急速拡大装置とワイヤー装置であっという間の矯正治療
治療症例の内容
- 患者様
- 20代女性
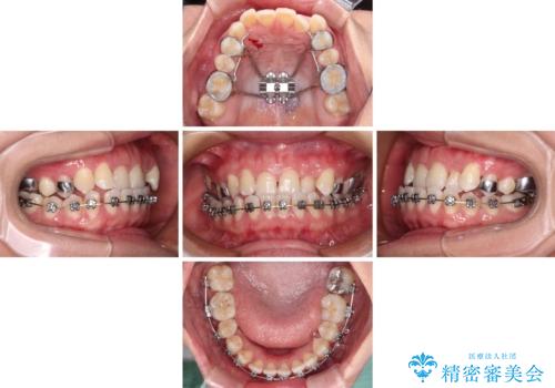
- 矯正装置
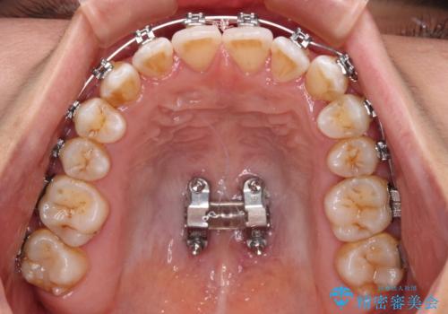
- メタルブラケット
- 治療期間
- 1年
- 治療回数
- 10-30回
- 治療計画
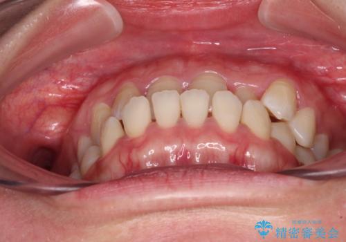
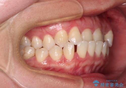
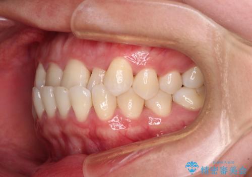
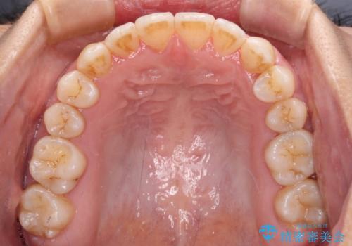
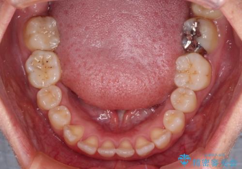
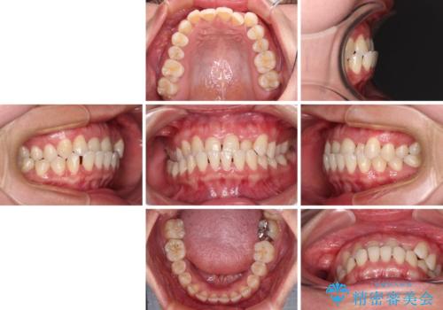
- 全顎的なクロスバイトと反対咬合を気にして来院された患者様です。
骨格的に下顎が前方位にありましたが、歯並びにより下顎が本来の位置よりも前方位に誘導される咬み合わせとなっていました。
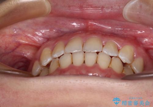
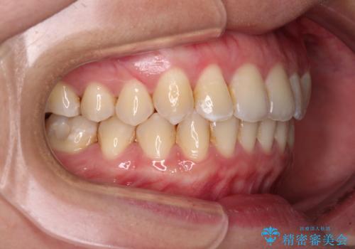
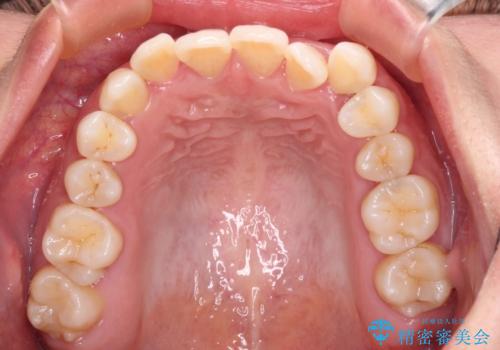
上顎歯列および上顎骨が下顎に対して狭小であることが原因であるため、上顎の急速拡大装置を使用して上顎骨を側方に拡大することで反対咬合を改善し、ワイヤー装置で歯列を整えることとしました。
- 費用(概算)
- 治療費の目安: 90万円(税込)費用は治療当時の料金となります
治療について
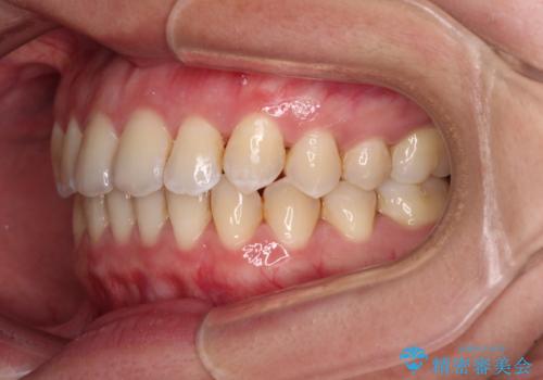
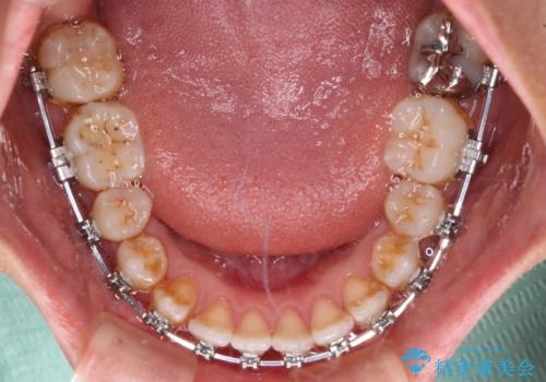
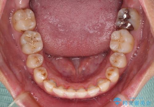
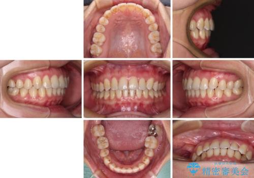
上顎の拡大に伴い反対咬合があっという間に改善されました。
元々の歯列不整は軽微であったため、僅か1年の期間で治療を終えることができました。
ワイヤー矯正の注意事項(リスク・副作用など)
- 治療中は違和感や痛みが起こることがあります
- 症状により、抜歯が必要な場合があります
- 治療中は歯磨きがしにくくなるため、虫歯や歯周病になりやすくなります
- 矯正治療後の保定が不十分だと後戻り(元の位置に戻ろうとする動き)をします
- 自費診療(保険適用外)となります
当サイトの内容、テキスト、画像等の無断転載、複製、複写、盗用を固く禁じます。




























