症例詳細
Case detail
デコボコで磨きにくい前歯をスッキリと インビザライン矯正
治療症例の内容
- 患者様
- 20代女性
- 矯正装置
- インビザライン
- 治療期間
- 2年5ヶ月
- 治療回数
- 10-30回
- 治療計画
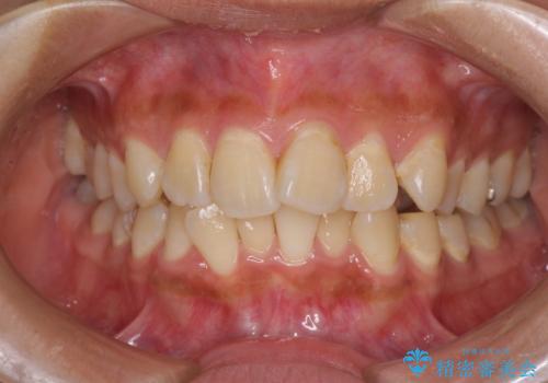
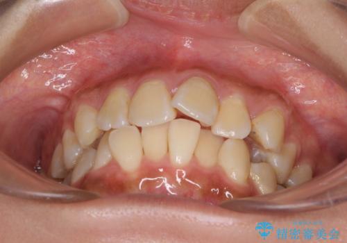
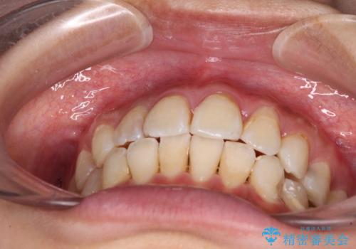
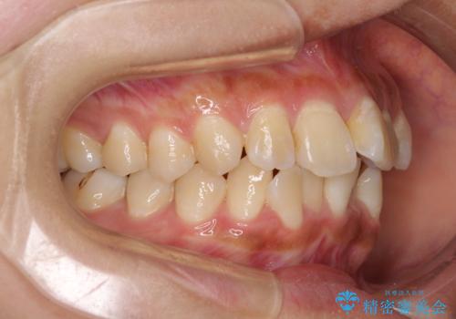
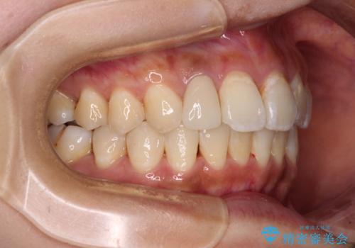
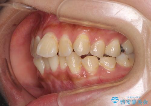
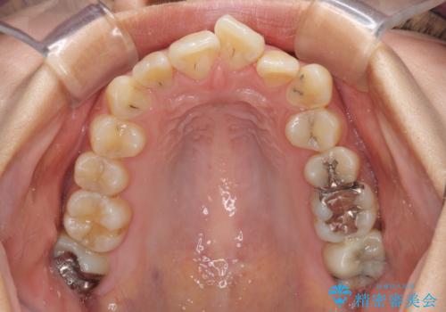
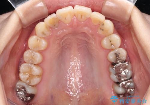
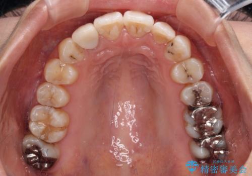
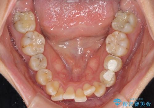
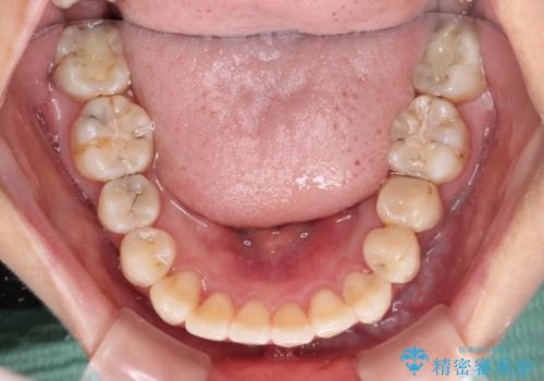
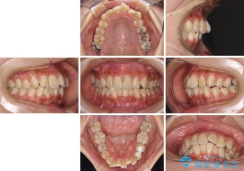
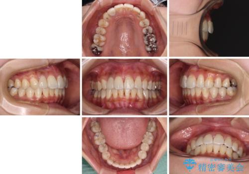
- 虫歯が多く、磨きにくい歯並びを改善したいとのことで来院された患者様です。
歯列は叢生が認められる程度でしたが、やや前突感があったので、少しでも口が閉じやすくなるように仕上げる方針としました。
神経を取り除かれている歯3本以外にも虫歯が認められたため、事前に処置を行い、インビザラインにて矯正治療を行うこととしました。
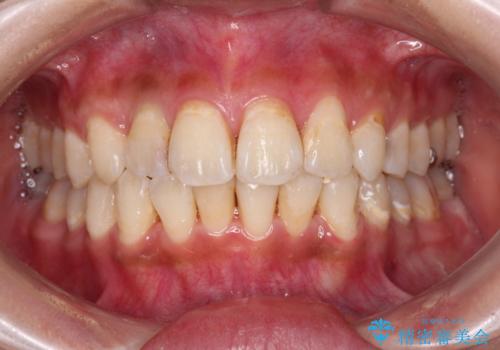
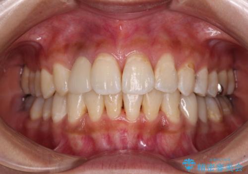
神経が取り除かれている歯は、クラウンによる補綴治療が必要であるため、矯正治療後にオールセラミッククラウンにて補綴治療を行うこととしました。
- 費用(概算)
- 治療費の目安: 120万円(税込)費用は治療当時の料金となります
治療について
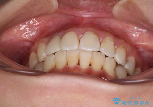
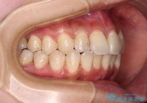
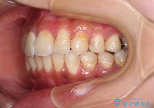
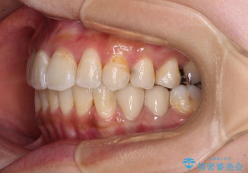
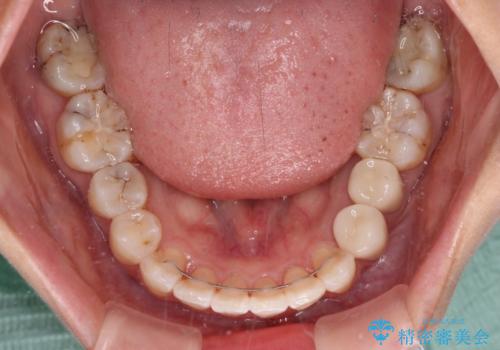
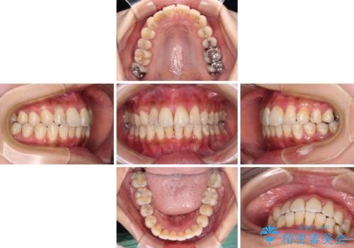
歯磨きしやすくなるとともに、飛び出していた前歯も引っ込めて整えることができました。
マウスピース矯正の注意事項(リスク・副作用など)
- 口腔内・歯並びの状態によっては対応できない場合があります
- マウスピース型矯正装置の長時間装着(1日20時間以上)が必須です
- 治療計画通りに進めるためには、患者様の意志が重要になります
- 矯正治療後の保定が不十分だと後戻り(元の位置に戻ろうとする動き)をします
- 薬機法対象外の矯正歯科装置のため医薬品副作用被害救済制度の対象外となる場合があります
- 自費診療(保険適用外)となります
セラミック治療の注意事項(リスク・副作用など)
- 天然歯を削ります
- 硬い素材は天然歯を傷つけてしまう場合があります
- かみ合わせや歯ぎしりが強すぎる方はセラミックが割れてしまう可能性があります
- 自費診療(保険適用外治療)となります
当サイトの内容、テキスト、画像等の無断転載、複製、複写、盗用を固く禁じます。



























