症例詳細
Case detail
生まれつき歯が少ない 20代でインプラント治療
- 患者様
- 20代男性
- 矯正装置
- ワイヤー矯正
- 治療期間
- 1年
- 治療回数
- 10-30回
- 治療計画
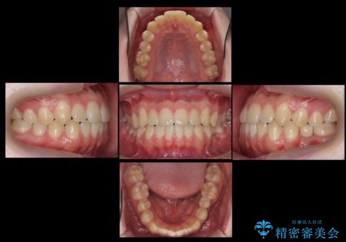
- 左下の奥歯が生まれつき歯が少ない患者様です。
健康な歯を削らずに歯を入れたいとのことでした。
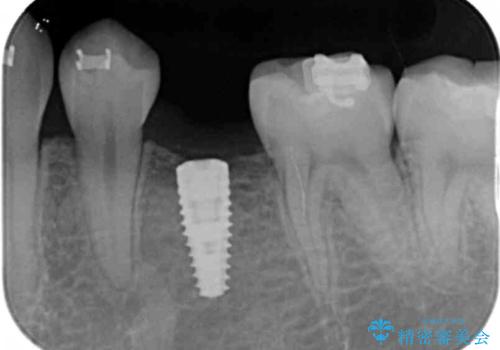
歯がなかった時期に隣の歯が移動してすき間があったため、部分的な矯正治療を行い、インプラントを入れるすき間を確保しています。
- 費用(概算)
- 68.2万円 内訳: 部分矯正治療 22万円、インプラント 22万円、チタンカスタムアバットメント11万円、ジルコニアクラウン 11万円、矯正用シリンダーテック(仮歯) 2.2万円費用は治療当時の料金となります
治療について
通常矯正治療は後戻りがあるので保定が必要です。
しかし、今回は不要でした。
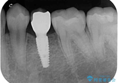
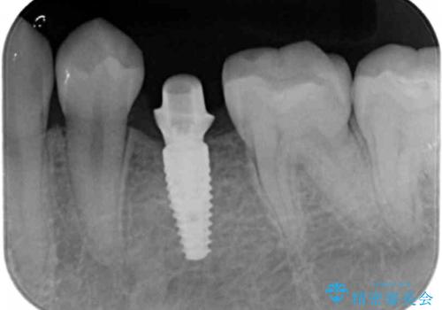
矯正治療で歯を移動して得られたすき間はインプラントのクラウンで動かないようにできるためです。
保定が不要という点におきましては、部分矯正と補綴(被せ物)治療は非常に相性がよく、得られるメリットも大きいといえます。
セラミック治療の注意事項(リスク・副作用など)
- 天然歯を削ります
- 硬い素材は天然歯を傷つけてしまう場合があります
- かみ合わせや歯ぎしりが強すぎる方はセラミックが割れてしまう可能性があります
- 自費診療(保険適用外治療)となります
ワイヤー矯正の注意事項(リスク・副作用など)
- 治療中は違和感や痛みが起こることがあります
- 症状により、抜歯が必要な場合があります
- 治療中は歯磨きがしにくくなるため、虫歯や歯周病になりやすくなります
- 矯正治療後の保定が不十分だと後戻り(元の位置に戻ろうとする動き)をします
- 自費診療(保険適用外)となります
インプラント治療の注意事項(リスク・副作用など)
- 外科手術のため、術後に痛みや腫れ、違和感を伴います
- メンテナンスを怠ったり喫煙により、お口の中に大きな悪影響を及ぼすインプラント周囲炎等にかかる可能性があります
- 糖尿病、肝硬変、心臓病等の場合、インプラント治療ができない可能性があります
- 高血圧、貧血・不整脈等の場合、インプラント治療後に治癒不全を招く可能性があります
- 自費診療(保険適用外治療)となります
その他の注意事項(リスク・副作用など)
- 担当歯科医師、歯科衛生士又は医院スタッフから受けた説明・注意事項をよくご確認ください
- 医療を提供するに当たり、適切な説明を行い、患者様の十分な理解を得るよう努めております
当サイトの内容、テキスト、画像等の無断転載、複製、複写、盗用を固く禁じます。
















