症例詳細
Case detail
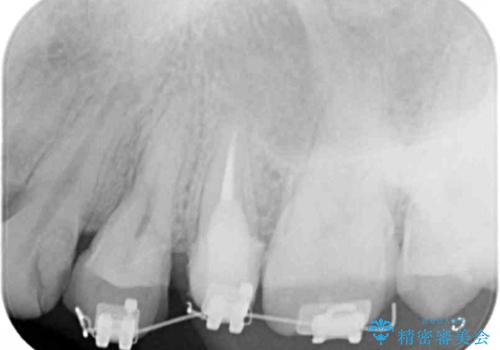
挺出小矯正を行った縁下カリエス治療
治療症例の内容
- 患者様
- 20代女性
- 治療期間
- 11ヶ月
- 治療回数
- 5-10回
- 治療計画
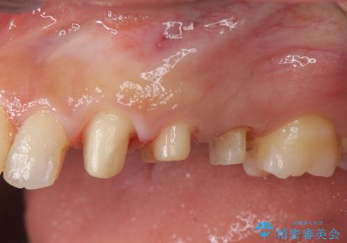
- 治療途中で虫歯治療を放置し、違和感が強くなってきたためしっかりとした虫歯治療を行いたいと希望され来院されました。
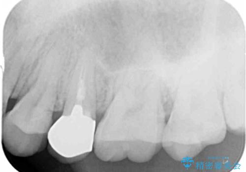
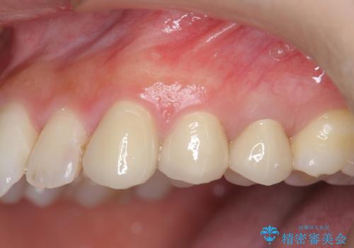
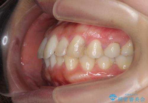
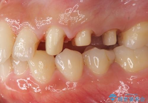
X線撮影を行い、隣接面に多発した虫歯と歯ぐきよりも深くなってしまった虫歯を小矯正をおこなったのちのセラミック治療で問題を解決します。
- 費用(概算)
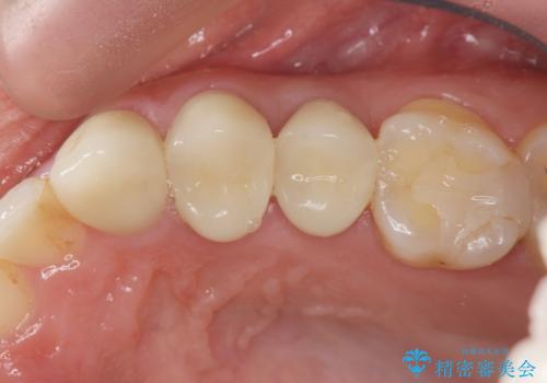
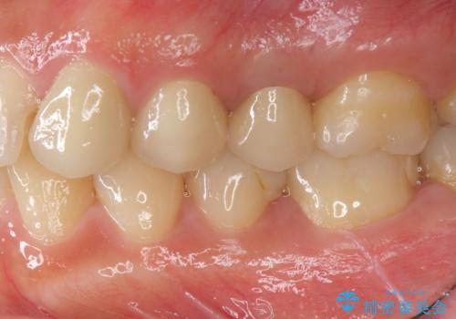
- 47.3万円(仮歯×3・ファイバーコア・ジルコニアクラウン×3・部分小矯正)費用は治療当時の料金となります
治療について
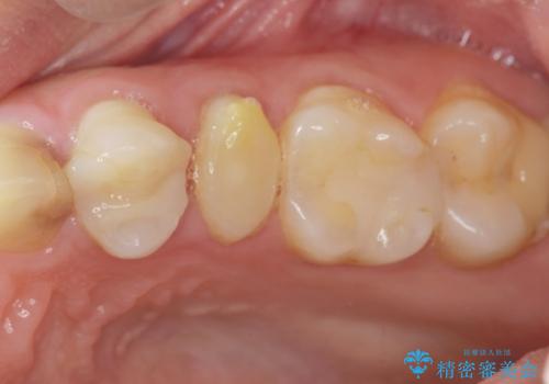
小矯正を行い深い虫歯を改善した後は、小手術を行うことで歯ぐき・周囲歯槽骨の状態を整えることでより安定した歯周環境を得ることができます。
セラミック治療の注意事項(リスク・副作用など)
- 天然歯を削ります
- 硬い素材は天然歯を傷つけてしまう場合があります
- かみ合わせや歯ぎしりが強すぎる方はセラミックが割れてしまう可能性があります
- 自費診療(保険適用外治療)となります
当サイトの内容、テキスト、画像等の無断転載、複製、複写、盗用を固く禁じます。






















