症例詳細
Case detail
捻れた前歯と銀歯のブリッジを治したい ワイヤー矯正とオールセラミックブリッジ
治療症例の内容
- 診療科目
- 担当医
- 藤巻太一朗(ドクタープロフィール)
- 患者様
- 40代女性
- 矯正装置
- 審美装置
- 治療期間
- 11ヶ月
- 治療回数
- 10-30回
- 治療計画
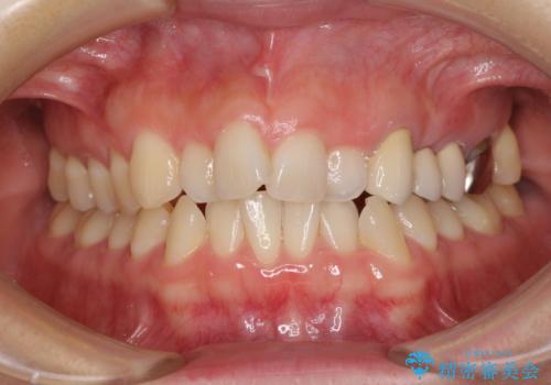
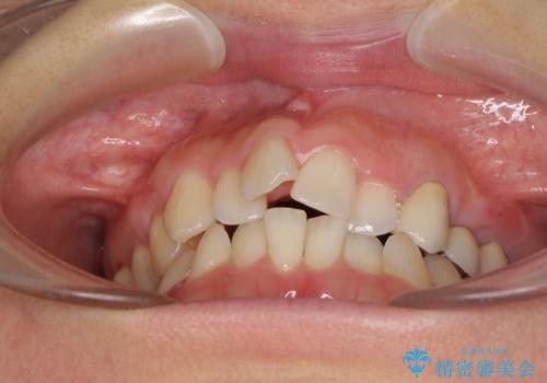
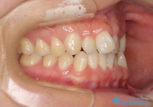
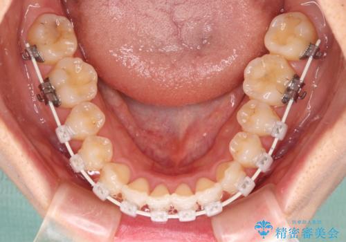
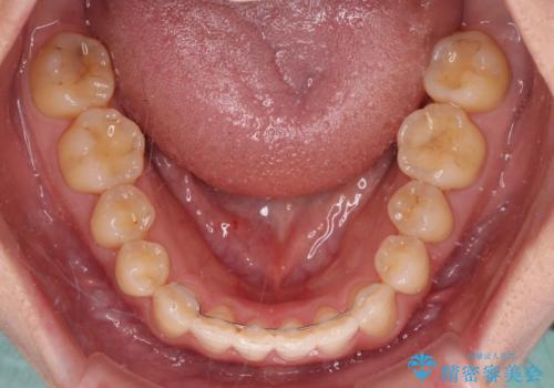
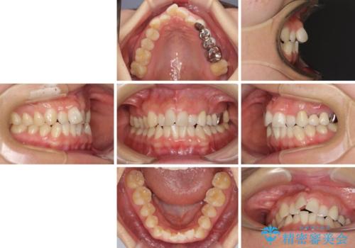
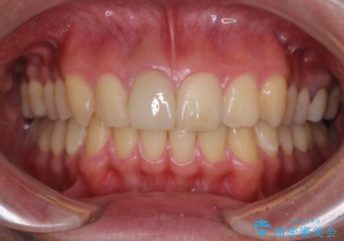
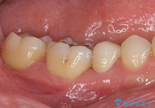
- 上下前歯のデコボコと銀歯のブリッジを気にして来院された患者様です。
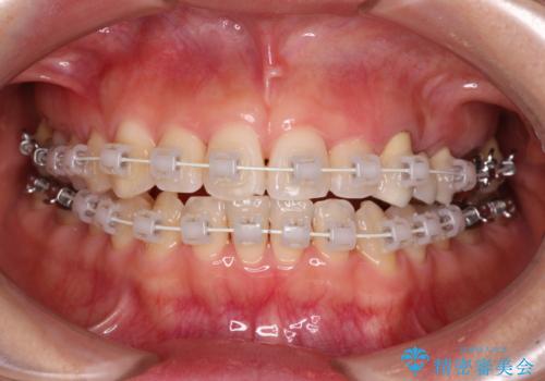
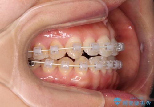
装着されているブリッジを切断して矯正治療を行うことや、手間をかけずに早めに治療を終えたいとのことで、目立たないワイヤー装置による矯正治療を行うこととしました。
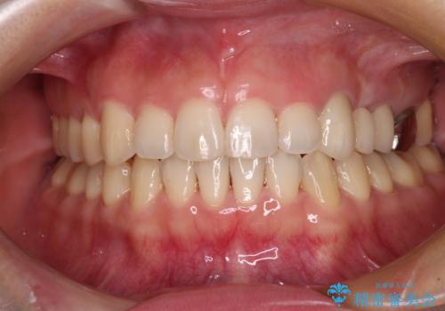
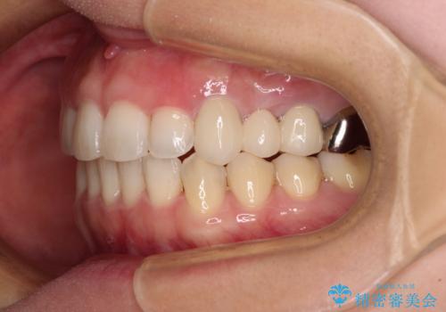
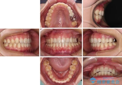
矯正治療後には切断したブリッジをオールセラミックブリッジに置き換えることとしました。
- 費用(概算)
- 治療費の目安: 125万円(税込)費用は治療当時の料金となります
治療について
矯正治療中に上下前歯が接触しない時期があり、咬み合わせ改善のために期間がかかるのではないかと懸念されましたが、結果的には補綴治療も含めて1年以内の短期間で終えることができました。
ワイヤー矯正の注意事項(リスク・副作用など)
- 治療中は違和感や痛みが起こることがあります
- 症状により、抜歯が必要な場合があります
- 治療中は歯磨きがしにくくなるため、虫歯や歯周病になりやすくなります
- 矯正治療後の保定が不十分だと後戻り(元の位置に戻ろうとする動き)をします
- 自費診療(保険適用外)となります
セラミック治療の注意事項(リスク・副作用など)
- 天然歯を削ります
- 硬い素材は天然歯を傷つけてしまう場合があります
- かみ合わせや歯ぎしりが強すぎる方はセラミックが割れてしまう可能性があります
- 自費診療(保険適用外治療)となります
当サイトの内容、テキスト、画像等の無断転載、複製、複写、盗用を固く禁じます。




























