症例詳細
Case detail
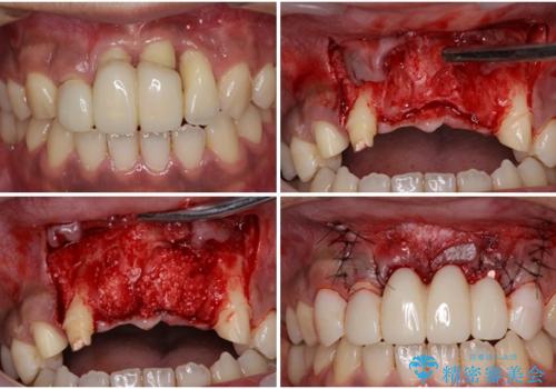
事故で抜歯となった前歯 ブリッジやインプラントによる補綴治療
- 患者様
- 30代男性
- 治療期間
- 2年5ヶ月
- 治療回数
- 10-30回
- 治療計画
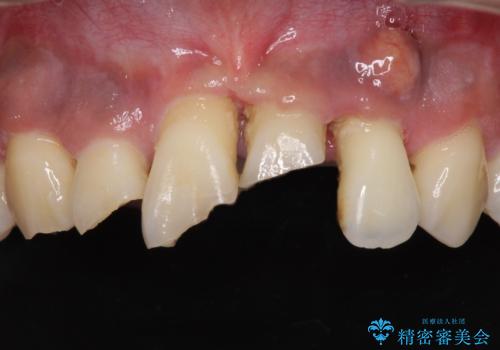
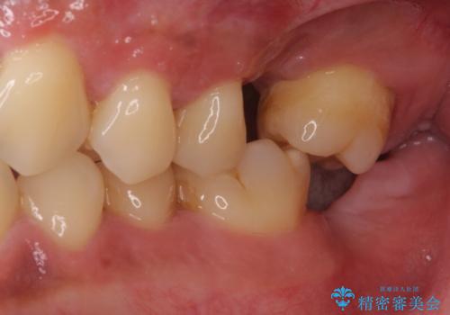
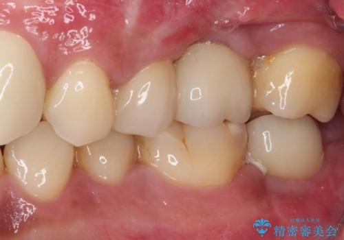
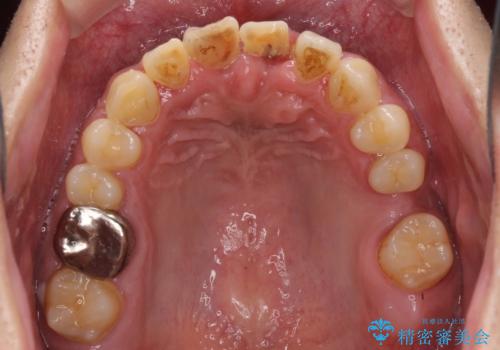
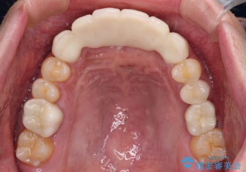
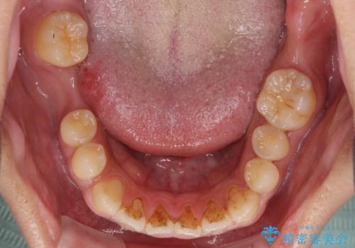
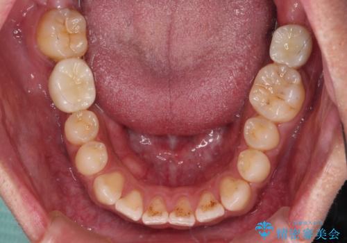
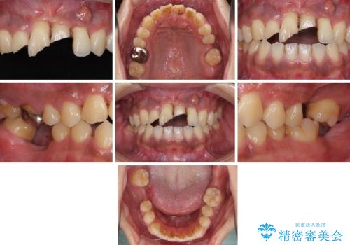
- ソーシャルメディアでのゲームに夢中になっている最中に車と接触し、前歯の抜歯を余儀なくされた患者様です。
初診時では前歯が保存できる可能性も模索しましたが、損傷が激しく3歯を抜去することとなりました。
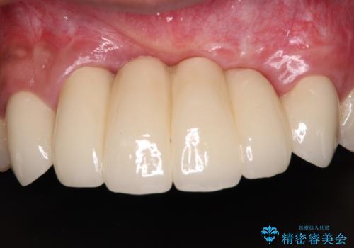
保存となった隣在歯も神経が失活していており、補綴治療が必要であったので、オールセラミッククラウンにて補綴治療することとしました。
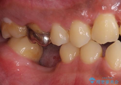
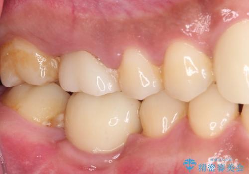
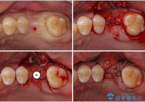
奥歯には元々欠損があり、欠損に伴う咬合不正も認められたため、部分矯正を行った上でインプラント補綴治療も行うこととしました。
- 費用(概算)
- 治療費の目安: 350万円(税込)費用は治療当時の料金となります
治療について
スマートフォンに集中するがあまり周囲への注意を欠き、信号無視などによる接触事故は増えているようです。
歯をぶつけた代償は大変大きなものとなりますので、注意が必要です。
セラミック治療の注意事項(リスク・副作用など)
- 天然歯を削ります
- 硬い素材は天然歯を傷つけてしまう場合があります
- かみ合わせや歯ぎしりが強すぎる方はセラミックが割れてしまう可能性があります
- 自費診療(保険適用外治療)となります
インプラント治療の注意事項(リスク・副作用など)
- 外科手術のため、術後に痛みや腫れ、違和感を伴います
- メンテナンスを怠ったり喫煙により、お口の中に大きな悪影響を及ぼすインプラント周囲炎等にかかる可能性があります
- 糖尿病、肝硬変、心臓病等の場合、インプラント治療ができない可能性があります
- 高血圧、貧血・不整脈等の場合、インプラント治療後に治癒不全を招く可能性があります
- 自費診療(保険適用外治療)となります
ワイヤー矯正の注意事項(リスク・副作用など)
- 治療中は違和感や痛みが起こることがあります
- 症状により、抜歯が必要な場合があります
- 治療中は歯磨きがしにくくなるため、虫歯や歯周病になりやすくなります
- 矯正治療後の保定が不十分だと後戻り(元の位置に戻ろうとする動き)をします
- 自費診療(保険適用外)となります
歯周病治療の注意事項(リスク・副作用など)
- 外科手術のため、術後に痛みや腫れ、違和感を伴います
- 歯周組織再生治療は患者様の状態によって術後の経過が異なります(見た目が改善しない場合もあります)
- 歯周組織再生治療は自費診療(保険適用外)となります
当サイトの内容、テキスト、画像等の無断転載、複製、複写、盗用を固く禁じます。






















