症例詳細
Case detail
後戻りの再矯正治療と欠損部の補綴治療
- 患者様
- 40代女性
- 矯正装置
- インビザライン・ライト
- 治療期間
- 2年1ヶ月
- 治療回数
- 10-30回
- 治療計画
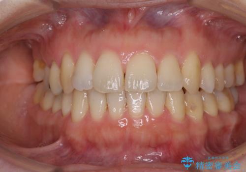
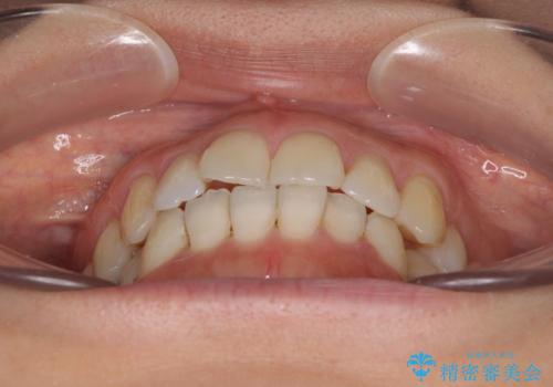
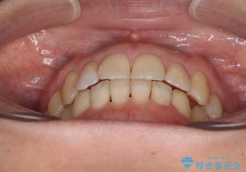
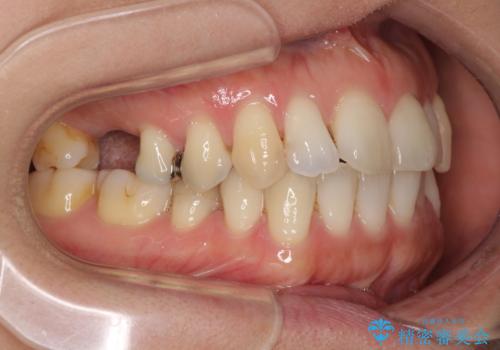
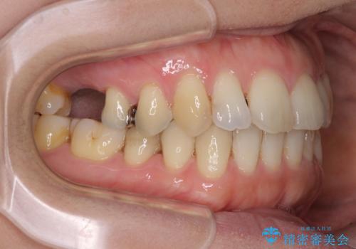
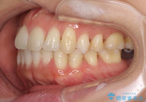
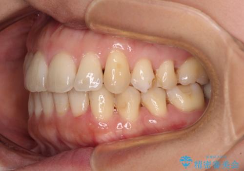
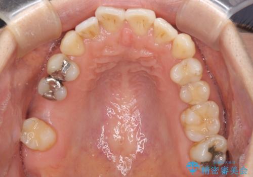
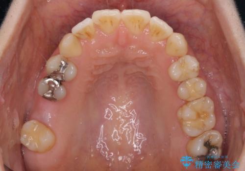
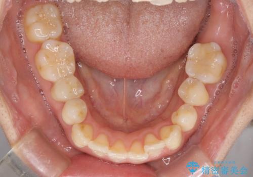
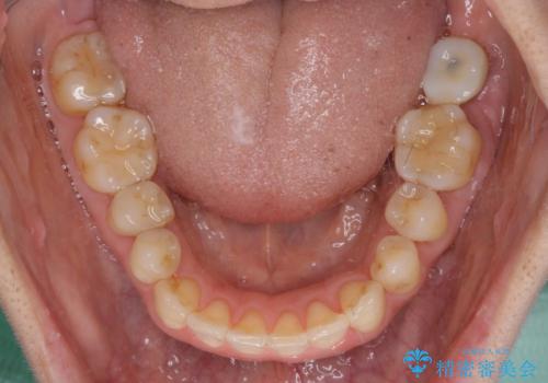
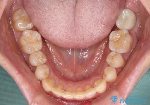
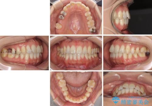
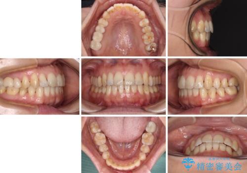
- 上下奥歯の欠損を気にして来院された患者様です。
以前矯正した後戻りにより前歯に叢生が認められたため、矯正治療の提案をしたところ、補綴治療と合わせて矯正治療を行うこととしました。
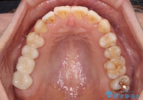
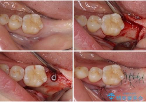
下顎欠損部はインプラントにて、上顎中間欠損部はブリッジによる補綴治療を行い、他にも気になっている銀歯をセラミックインレーやゴールドインレーにて修復治療を行うこととしました。
- 費用(概算)
- 治療費の目安: 140万円(税込)費用は治療当時の料金となります
治療について
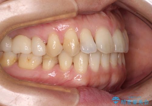
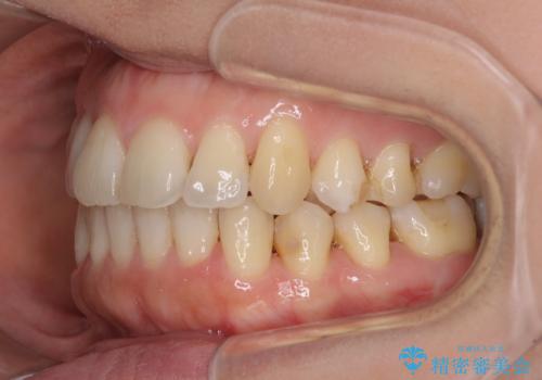
後戻りの程度は軽度であったため、インビザライン・ライトを用いて歯列を整えました。
再度後戻りするリスクを最小限に食い止めるため、下顎前歯の舌側を細いワイヤーで固定しました。
マウスピース矯正の注意事項(リスク・副作用など)
- 口腔内・歯並びの状態によっては対応できない場合があります
- マウスピース型矯正装置の長時間装着(1日20時間以上)が必須です
- 治療計画通りに進めるためには、患者様の意志が重要になります
- 矯正治療後の保定が不十分だと後戻り(元の位置に戻ろうとする動き)をします
- 薬機法対象外の矯正歯科装置のため医薬品副作用被害救済制度の対象外となる場合があります
- 自費診療(保険適用外)となります
セラミック治療の注意事項(リスク・副作用など)
- 天然歯を削ります
- 硬い素材は天然歯を傷つけてしまう場合があります
- かみ合わせや歯ぎしりが強すぎる方はセラミックが割れてしまう可能性があります
- 自費診療(保険適用外治療)となります
インプラント治療の注意事項(リスク・副作用など)
- 外科手術のため、術後に痛みや腫れ、違和感を伴います
- メンテナンスを怠ったり喫煙により、お口の中に大きな悪影響を及ぼすインプラント周囲炎等にかかる可能性があります
- 糖尿病、肝硬変、心臓病等の場合、インプラント治療ができない可能性があります
- 高血圧、貧血・不整脈等の場合、インプラント治療後に治癒不全を招く可能性があります
- 自費診療(保険適用外治療)となります
PGA(ゴールド)クラウン、インレーの注意事項(リスク・副作用など)
- インレーおよびクラウンは脱離するリスクがあります
- 形成量はセラミックより少ないですが、歯の形成、修復後に歯に症状が出ることがあります
- 自費診療(保険適用外治療)となります
当サイトの内容、テキスト、画像等の無断転載、複製、複写、盗用を固く禁じます。



























