症例詳細
Case detail
クロスバイト・歯並びが原因の歯肉退縮歯、矯正治療による審美性の改善
治療症例の内容
- 担当医
- 大元洋佑(ドクタープロフィール)
- 患者様
- 30代男性
- 治療期間
- 2年
- 治療回数
- 10-30回
- 治療計画
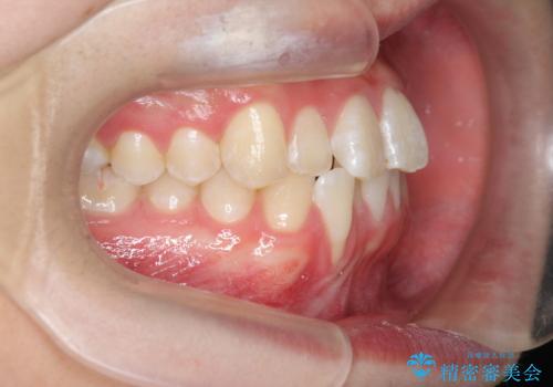
- 前歯の歯並び、下顎前歯の歯ぐきの下がり(歯肉退縮)の改善を求めて来院されました。
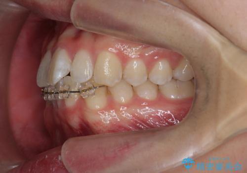
歯肉退縮の根本的な原因はすれ違った噛み合わせによる為害性のある咬合状態にあるため、歯肉退縮に対し結合組織の移植術を行うのではなく当該歯を抜去し部分矯正を含めた治療計画を立案します。
- 費用(概算)
- 99万円費用は治療当時の料金となります
治療について
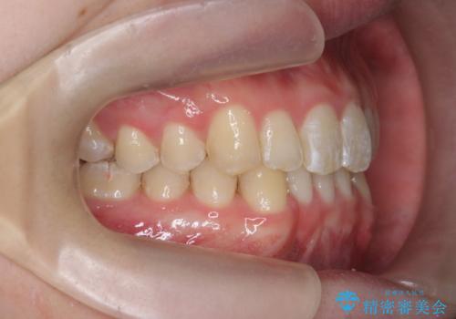
矯正治療を行ったことで、噛み合わせが安定し審美性も機能性も向上することができました。
マウスピース矯正の注意事項(リスク・副作用など)
- 口腔内・歯並びの状態によっては対応できない場合があります
- マウスピース型矯正装置の長時間装着(1日20時間以上)が必須です
- 治療計画通りに進めるためには、患者様の意志が重要になります
- 矯正治療後の保定が不十分だと後戻り(元の位置に戻ろうとする動き)をします
- 薬機法対象外の矯正歯科装置のため医薬品副作用被害救済制度の対象外となる場合があります
- 自費診療(保険適用外)となります
当サイトの内容、テキスト、画像等の無断転載、複製、複写、盗用を固く禁じます。




















