症例詳細
Case detail
骨格的なズレをカムフラージュ 抜歯矯正で咬み合わせを改善
治療症例の内容
- 患者様
- 20代女性
- 矯正装置
- 審美装置
- 治療期間
- 3年3ヶ月
- 治療回数
- 10-30回
- 治療計画
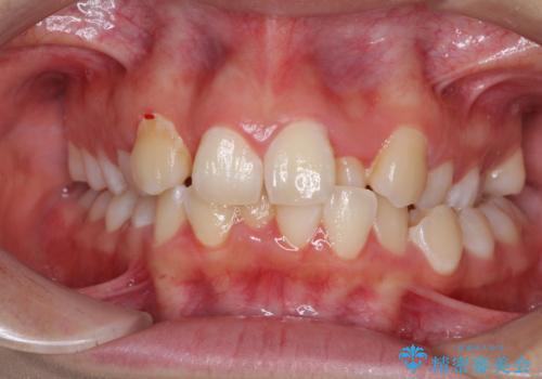
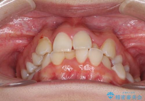
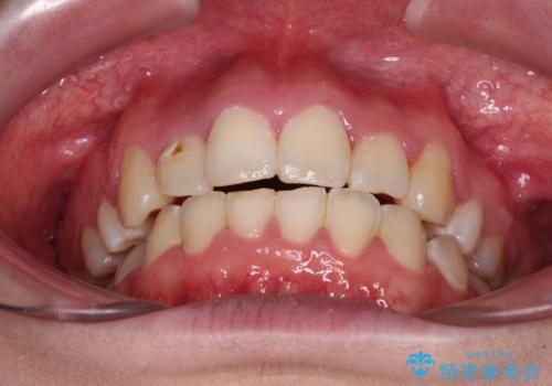
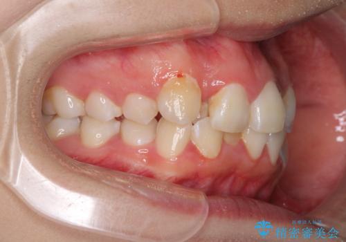
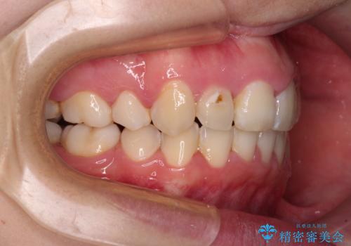
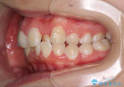
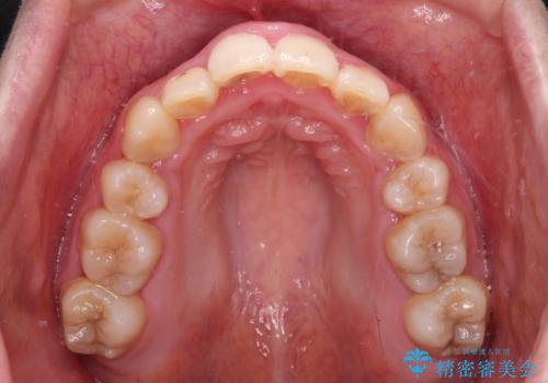
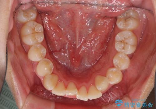
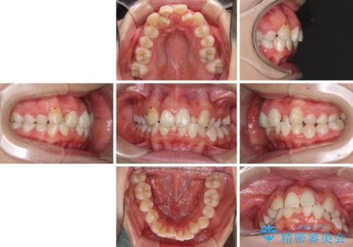
- 骨格的な咬み合わせのズレ、前歯のデコボコとクロスバイトを気にして来院された患者様です。
口元の突出感が若干あり口が閉じにくく、デコボコが強いため、上下左右の小臼歯計4歯を抜歯し、ワイヤー装置による矯正治療を行うこととしました。
また、舌の突出癖が強く、下顎前歯が前方に押し広げられる可能性が高いため、舌癖の改善を継続的に行うよう指示しました。
- 費用(概算)
- 治療費の目安: 105万円(税込)費用は治療当時の料金となります
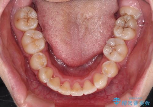
治療について
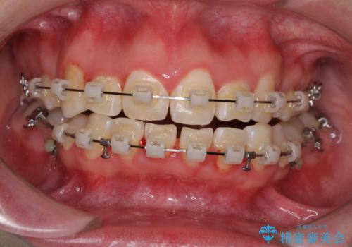
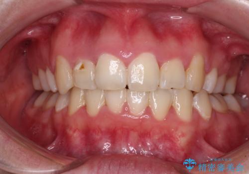
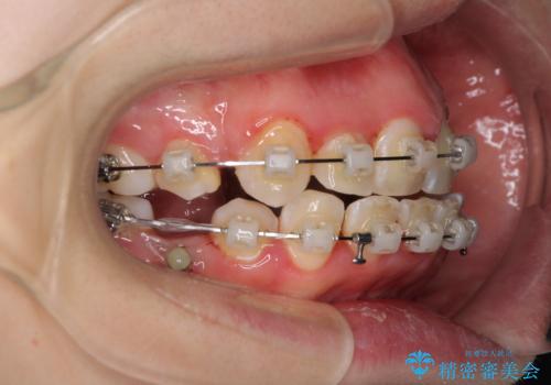
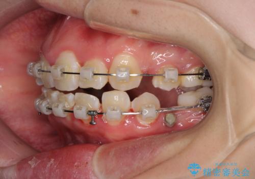
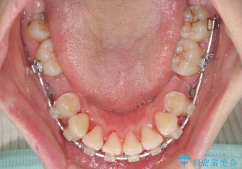
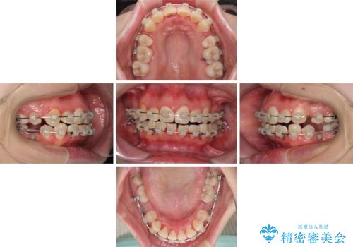
治療中に舌の突出癖が改善されず、下顎前歯が著しく前方に突出して反対咬合となってしまう局面がありました。
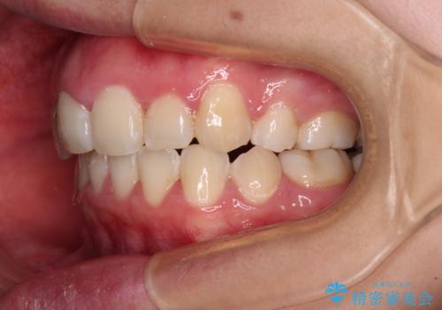
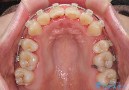
アンカースクリューを使用しながら舌癖の改善を図り、何とか咬み合わせを改善することができました。
ワイヤー矯正の注意事項(リスク・副作用など)
- 治療中は違和感や痛みが起こることがあります
- 症状により、抜歯が必要な場合があります
- 治療中は歯磨きがしにくくなるため、虫歯や歯周病になりやすくなります
- 矯正治療後の保定が不十分だと後戻り(元の位置に戻ろうとする動き)をします
- 自費診療(保険適用外)となります
当サイトの内容、テキスト、画像等の無断転載、複製、複写、盗用を固く禁じます。


























