症例詳細
Case detail
矯正治療とセラミック治療で口腔内環境を劇的に改善
治療症例の内容
- 患者様
- 40代女性
- 矯正装置
- インビザライン マニューバー
- 治療期間
- 2年
- 治療回数
- 10-30回
- 治療計画
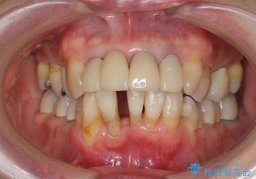
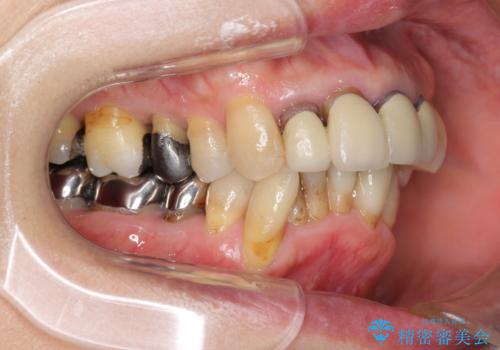
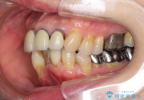
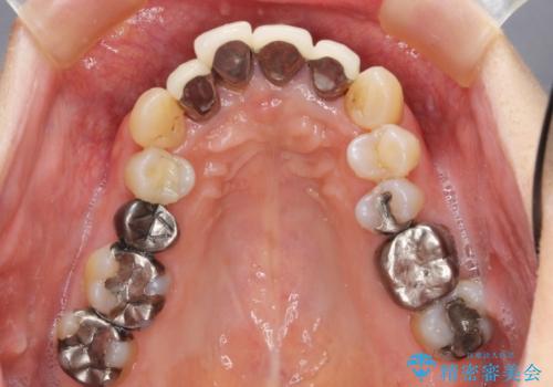
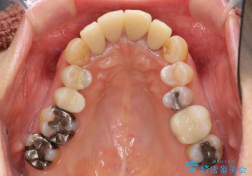
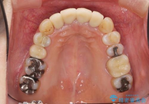
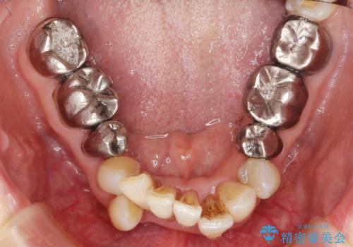
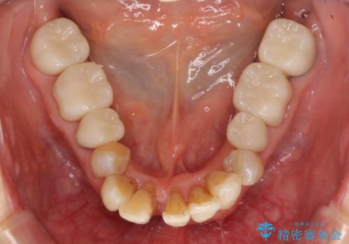
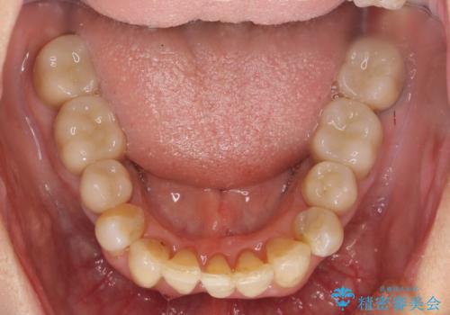
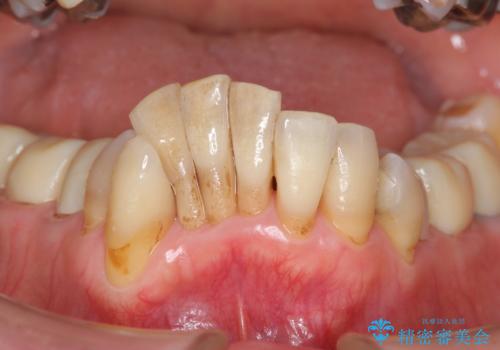
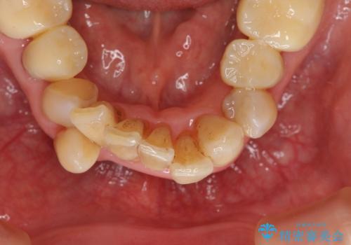
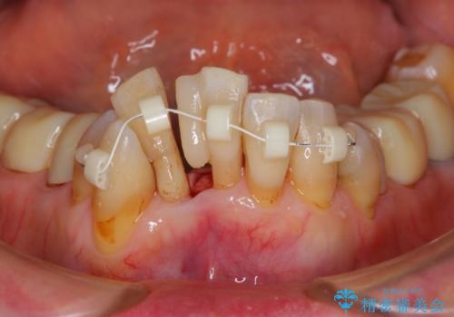
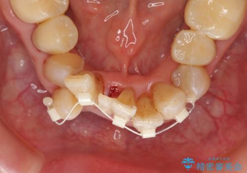
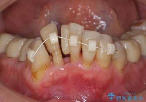
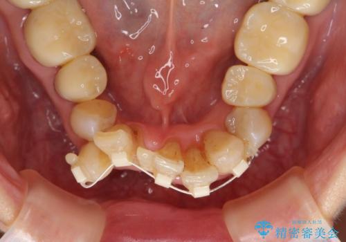
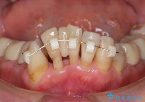
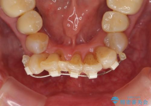
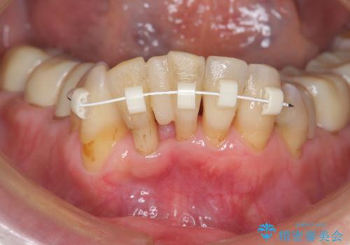
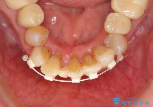
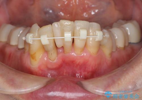
- 上顎前歯の黒ずみの改善、下顎前歯の十度なガタつき、矯正治療とセラミック治療を含む全体的な治療を希望され来院されました。
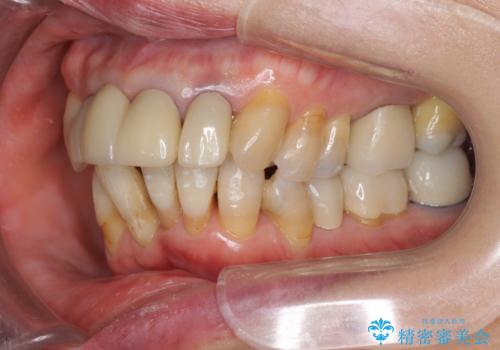
銀歯を高強度の仮歯に替えたのち、下顎前歯のみの部分矯正→全体的なマウスピース矯正治療(インビザライン)→最終的なセラミック治療と治療を進めます。
- 費用(概算)
- 88万円 (矯正治療代として)費用は治療当時の料金となります
治療について
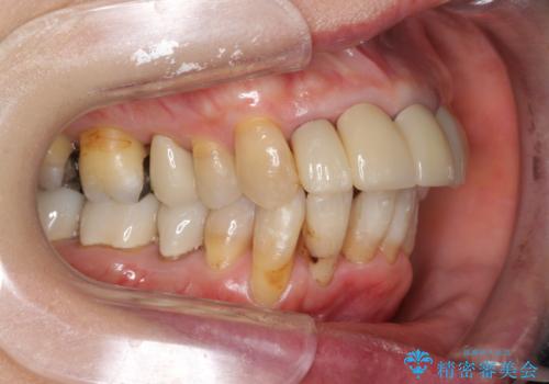
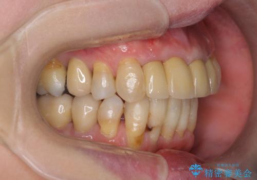
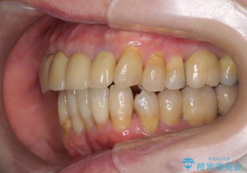
矯正治療と目立つ銀歯のやりかえを行ったことでかみあわせだけでなく、審美性・清掃性も改善し口腔内の環境を劇的に改善することができました。
マウスピース矯正の注意事項(リスク・副作用など)
- 口腔内・歯並びの状態によっては対応できない場合があります
- マウスピース型矯正装置の長時間装着(1日20時間以上)が必須です
- 治療計画通りに進めるためには、患者様の意志が重要になります
- 矯正治療後の保定が不十分だと後戻り(元の位置に戻ろうとする動き)をします
- 薬機法対象外の矯正歯科装置のため医薬品副作用被害救済制度の対象外となる場合があります
- 自費診療(保険適用外)となります
ワイヤー矯正の注意事項(リスク・副作用など)
- 治療中は違和感や痛みが起こることがあります
- 症状により、抜歯が必要な場合があります
- 治療中は歯磨きがしにくくなるため、虫歯や歯周病になりやすくなります
- 矯正治療後の保定が不十分だと後戻り(元の位置に戻ろうとする動き)をします
- 自費診療(保険適用外)となります
セラミック治療の注意事項(リスク・副作用など)
- 天然歯を削ります
- 硬い素材は天然歯を傷つけてしまう場合があります
- かみ合わせや歯ぎしりが強すぎる方はセラミックが割れてしまう可能性があります
- 自費診療(保険適用外治療)となります
当サイトの内容、テキスト、画像等の無断転載、複製、複写、盗用を固く禁じます。





























