症例詳細
Case detail
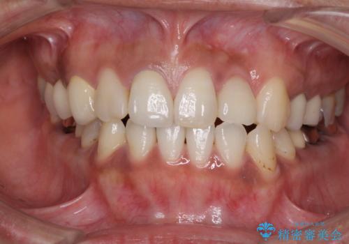
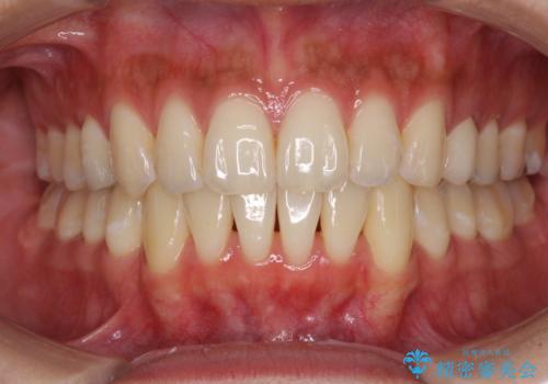
以前治療した歯が続々とむし歯に 全顎むし歯治療
治療症例の内容
- 患者様
- 30代女性
- 治療期間
- 1年4ヶ月
- 治療回数
- 5-10回
- 治療計画
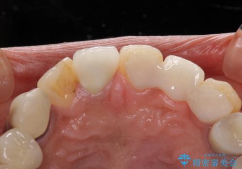
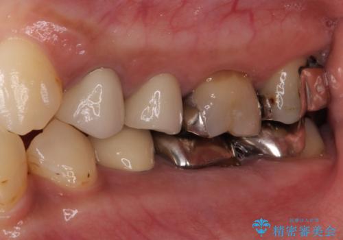
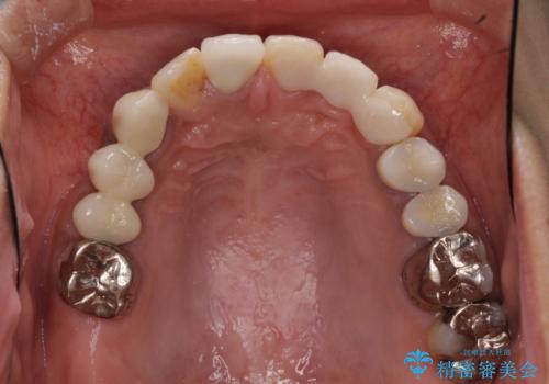
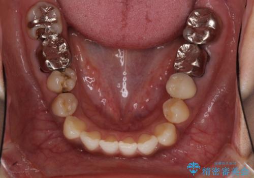
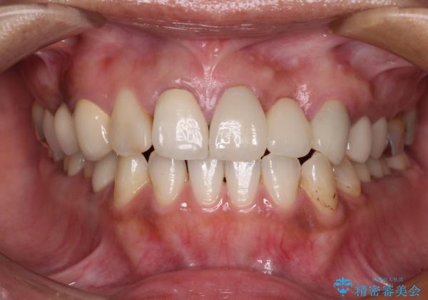
- 歯を削る量が少ないとの触れ込みで最近接着ブリッジを装着したものの、そのブリッジと歯の間に隙間ができているとのことで来院された患者様です。
歯の裏側を一層だけ削り、接着力に頼ったブリッジを装着してはみたものの、案の定咬む力に負けて、接着が剥がれてしまっていました。
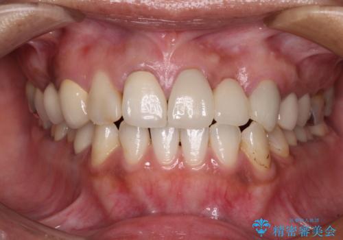
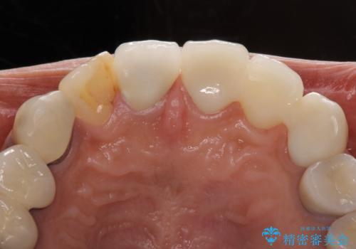
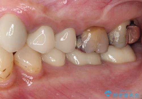
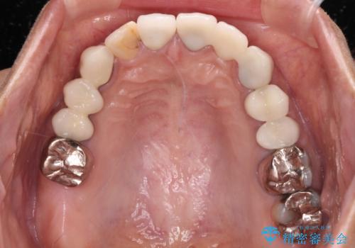
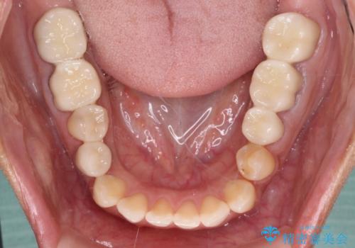
歯を削る量は増えますが、より長い期間再治療なく使用していただくことを最優先に考え、フルカバレッジのオールセラミックブリッジにて補綴することとしました。
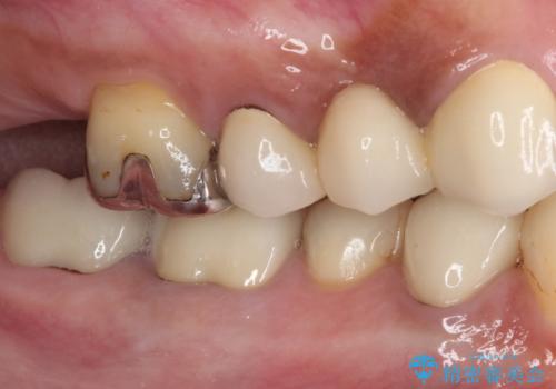
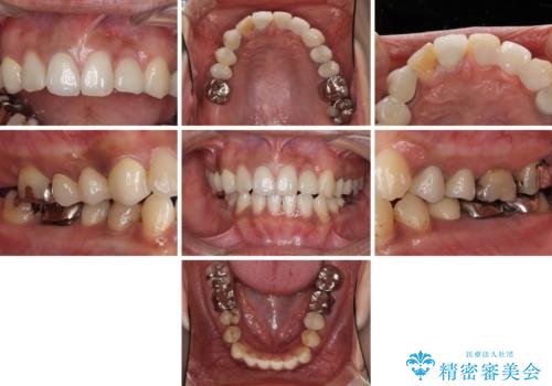
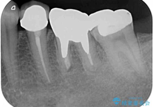
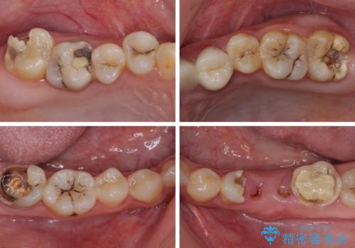
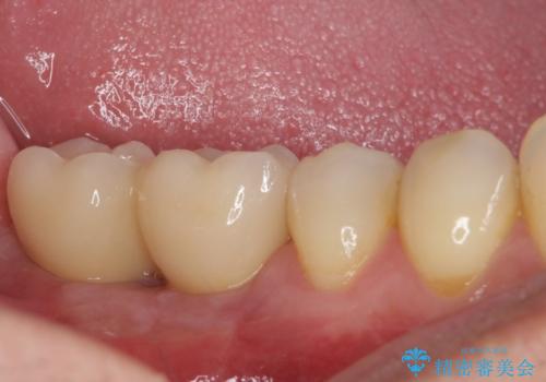
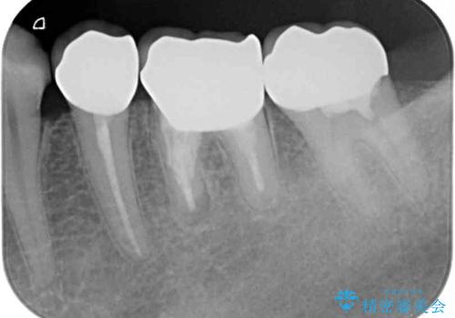
他にも、奥歯の銀歯の下にもむし歯が多くあり、痛みが生じていたため、根管治療などを行った上で、オールセラミッククラウンにて補綴治療することとしました。
- 費用(概算)
- 治療費の目安: 170万円(税込)費用は治療当時の料金となります
治療について
前歯の裏側の接着面は、隙間ができていたことにより、汚れがたまるだけでなく、むし歯にもなっていました。
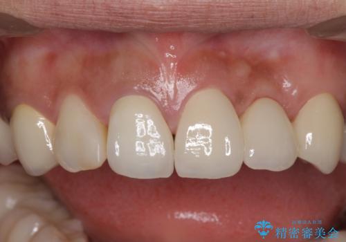
我々としては、治療により状態が悪化することだけは避けたいと考えているため、歯全体を覆うクラウンにすることで、より長持ちする治療を提供いたしました。
外観はもちろんのこと、隙間なく安心して咬むことのできる前歯となり、患者様には大変満足していただきました。
セラミック治療の注意事項(リスク・副作用など)
- 天然歯を削ります
- 硬い素材は天然歯を傷つけてしまう場合があります
- かみ合わせや歯ぎしりが強すぎる方はセラミックが割れてしまう可能性があります
- 自費診療(保険適用外治療)となります
当サイトの内容、テキスト、画像等の無断転載、複製、複写、盗用を固く禁じます。






















