症例詳細
Case detail
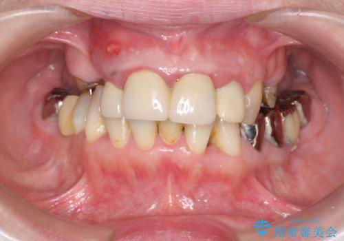
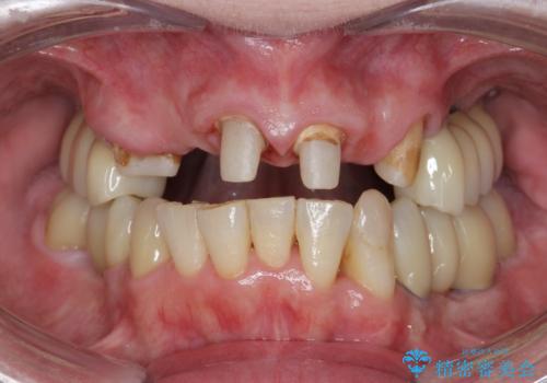
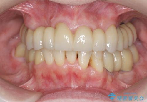
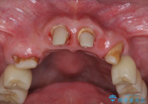
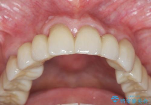
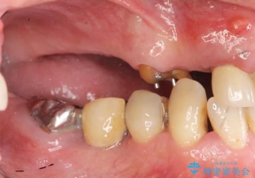
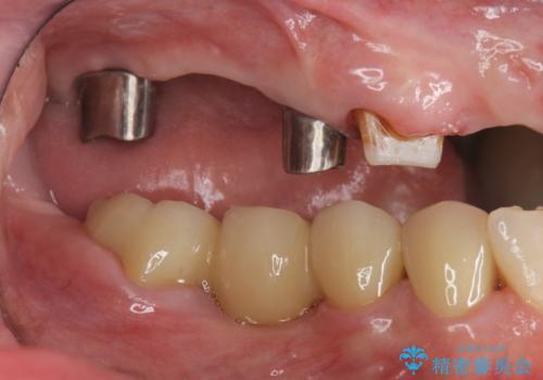
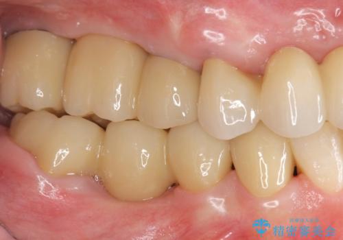
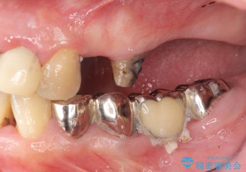
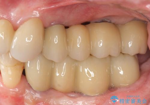
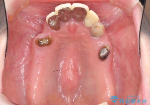
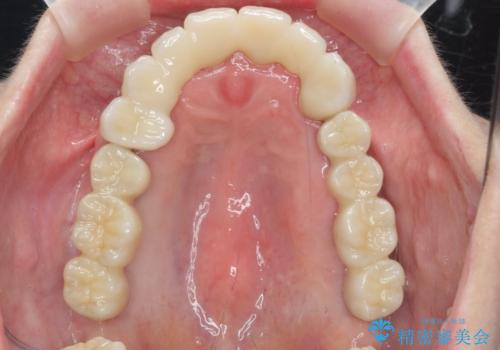
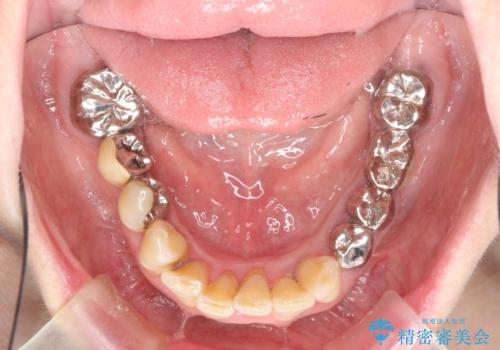
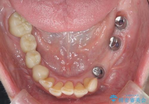
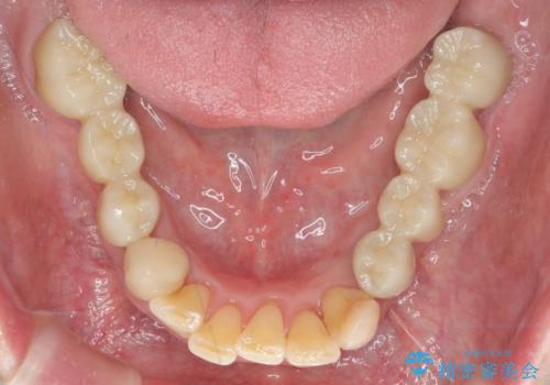
多発した虫歯による咬合崩壊 インプラントを用いた全顎治療
- 患者様
- 50代女性
- 治療期間
- 2年6ヶ月
- 治療回数
- 10-30回
- 治療計画
- 「これまで歯の治療をおざなりにしてしまい本当に後悔している。 時間と費用がかかってもいいので、しっかりと安心してかめるような状態にしてほしい。」、と全体的な治療を希望され来院されました。
歯の破折・再発した大きな虫歯・根尖病変・歯の欠損、これらの問題を根管治療・歯周外科・インプラント治療・セラミック補綴を行うことで一つづつ解決し安定した咬合状となるよう治療を進めます。
- 費用(概算)
- 440万円(税込)費用は治療当時の料金となります
全顎治療について
口腔内全体を治療する全顎治療は、期間も長く外科を行う回数も多いためしっかりと通っていただくことが必要不可欠になります。
治療に加えて歯ブラシも上手になることが、治療した歯を長持ちさせるのに必要な要件となります。
インプラント治療の注意事項(リスク・副作用など)
- 外科手術のため、術後に痛みや腫れ、違和感を伴います
- メンテナンスを怠ったり喫煙により、お口の中に大きな悪影響を及ぼすインプラント周囲炎等にかかる可能性があります
- 糖尿病、肝硬変、心臓病等の場合、インプラント治療ができない可能性があります
- 高血圧、貧血・不整脈等の場合、インプラント治療後に治癒不全を招く可能性があります
- 自費診療(保険適用外治療)となります
セラミック治療の注意事項(リスク・副作用など)
- 天然歯を削ります
- 硬い素材は天然歯を傷つけてしまう場合があります
- かみ合わせや歯ぎしりが強すぎる方はセラミックが割れてしまう可能性があります
- 自費診療(保険適用外治療)となります
当サイトの内容、テキスト、画像等の無断転載、複製、複写、盗用を固く禁じます。





















