症例詳細
Case detail
下顎2前歯の欠損 インビザラインによる抜歯矯正
治療症例の内容
- 患者様
- 30代女性
- 矯正装置
- インビザライン
- 治療期間
- 4年2ヶ月
- 治療回数
- 10-30回
- 治療計画
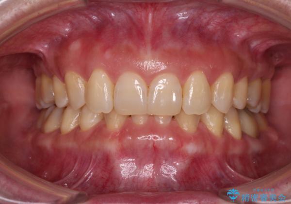
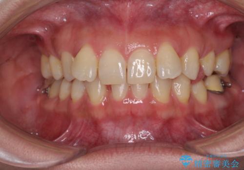
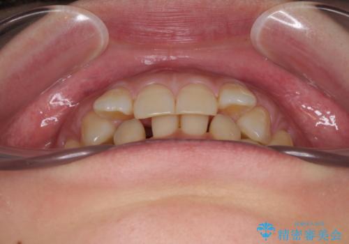
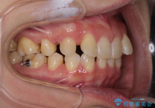
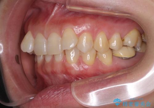
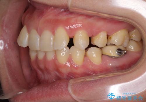
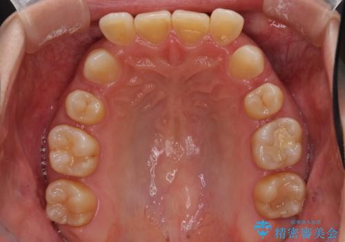
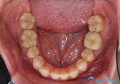
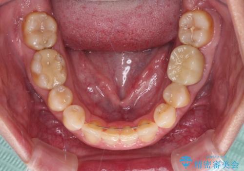
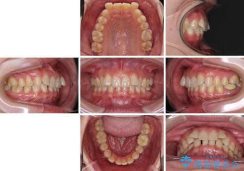
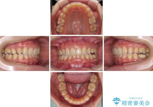
- 下顎前歯欠損による歯列不正を気にして来院された患者様です。
 下顎の歯列が小さく、下顎前歯が隠れてしまう過蓋咬合(ディープバイト)であったため、
 ①下顎歯列を拡大し、欠損部に2歯分のインプラント補綴をおこなう
 ②上顎左右第一小臼歯2本を抜歯、下顎歯列を拡大し、欠損部に1歯分のインプラント補綴をおこなう
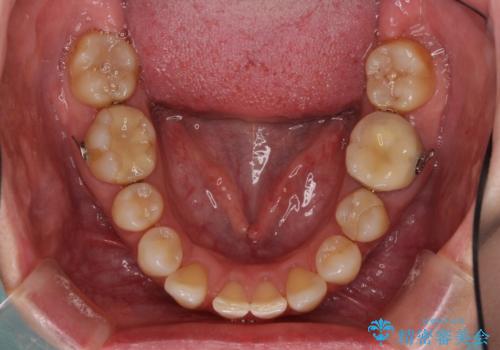
 ③上顎左右第一小臼歯2本を抜歯し、下顎はスペースを閉じる
 のいずれかを提案しました。(①から③の順番にお勧めのプランとなります)
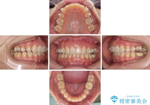
 いずれもワイヤー矯正が望ましい治療方法ですが、家が遠方であり、近い将来出産される予定もあるとのことで、何とかマウスピース矯正でも対応可能な③にて治療を行うこととしました。
 
 
 
- 費用(概算)
- 治療費の目安: 110万円(税込)費用は治療当時の料金となります
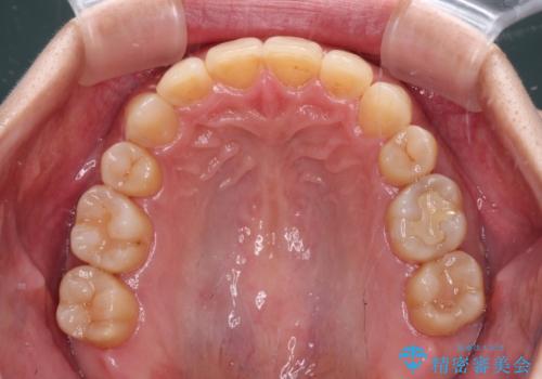
治療について
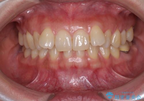
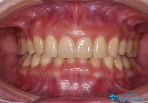
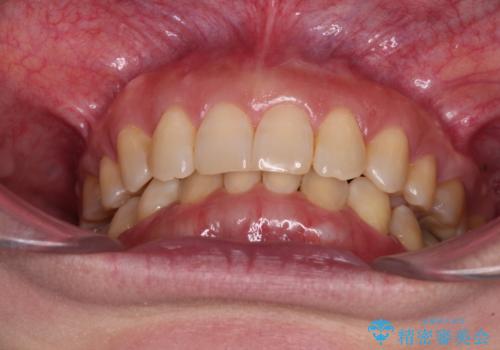
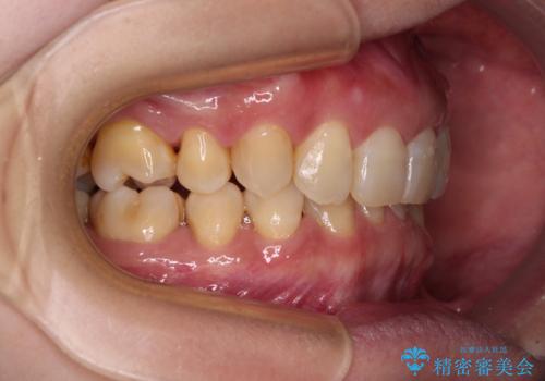
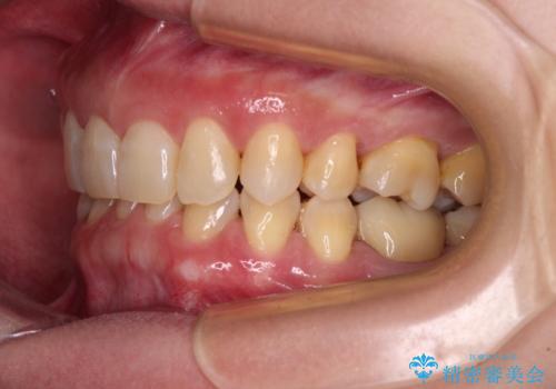
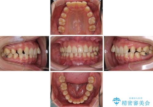
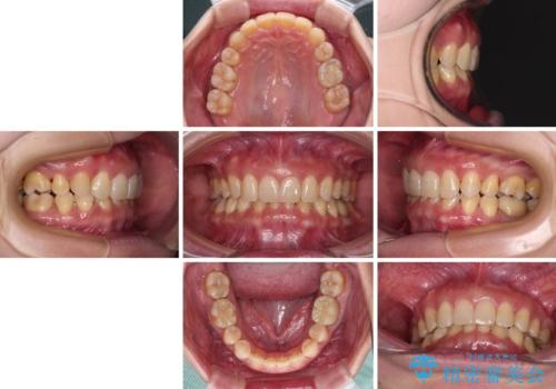
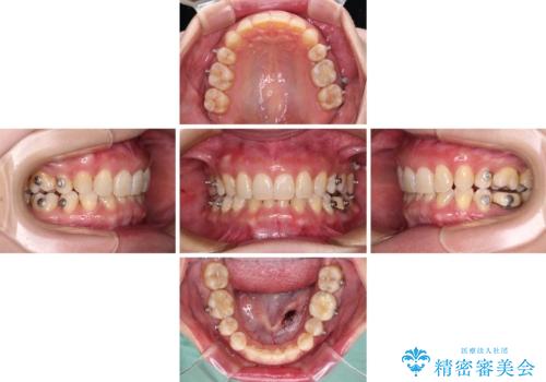
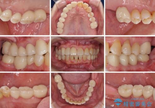
マウスピースでの抜歯矯正特有の抜歯スペースに向かって奥歯が傾斜する動きが顕著に表れ、ディープバイトは改善されませんでした。
前歯のみが強く接触し、奥歯で咬めない期間も続いたため、ワイヤー装置などを補助的に使用し、何とか終了させることができました。
マウスピース矯正の注意事項(リスク・副作用など)
- 口腔内・歯並びの状態によっては対応できない場合があります
- マウスピース型矯正装置の長時間装着(1日20時間以上)が必須です
- 治療計画通りに進めるためには、患者様の意志が重要になります
- 矯正治療後の保定が不十分だと後戻り(元の位置に戻ろうとする動き)をします
- 薬機法対象外の矯正歯科装置のため医薬品副作用被害救済制度の対象外となる場合があります
- 自費診療(保険適用外)となります
当サイトの内容、テキスト、画像等の無断転載、複製、複写、盗用を固く禁じます。








 
                       
                                                          




























 
                   
                   
                  