症例詳細
Case detail
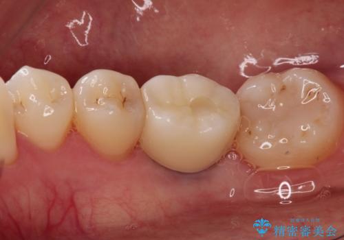
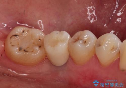
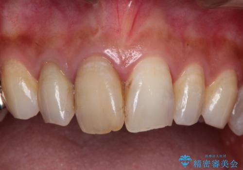
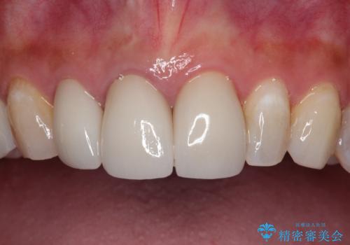
歯並びの改善とインプラントでのかみ合わせの回復 インプラント・セラミック・矯正全顎治療
- 患者様
- 30代女性
- 矯正装置
- インビザライン
- 治療期間
- 3年2ヶ月
- 治療回数
- 10-30回
- 治療計画
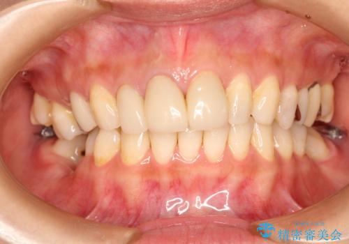
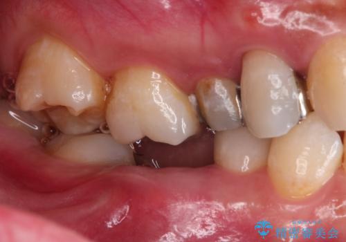
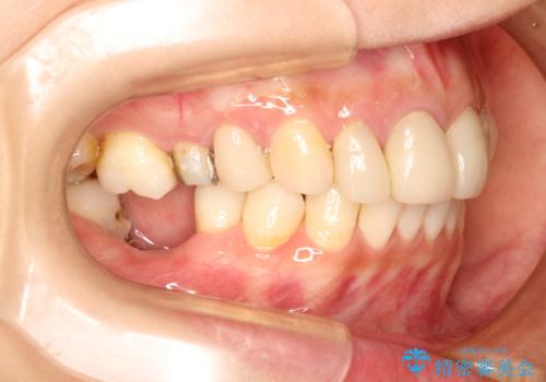
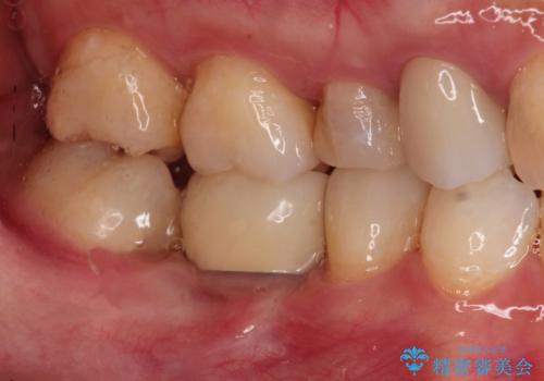
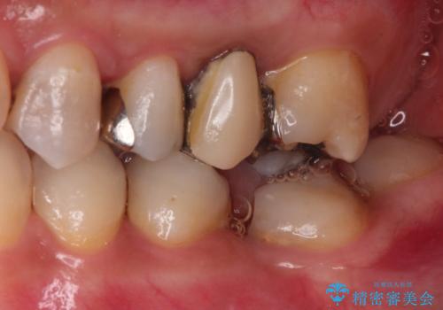
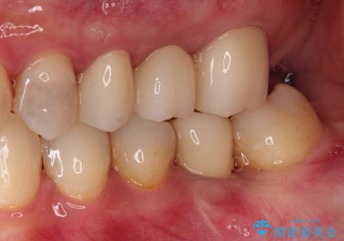
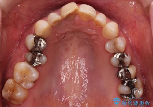
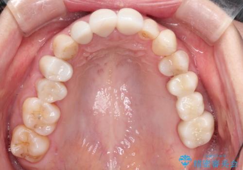
- 歯医者が怖くて悪い歯をそのままにしてしまった、悪いところを治したいとのことで来院されました。
虫歯の歯や、歯を抜いてしまったところをそのまま放置していたことにより、歯並びも悪くなっていました。
矯正をはじめ、根の治療・インプラント・セラミックによる全体治療を提案させていただき、治療をしていくこととなりました。
- 費用(概算)
- 約300万円費用は治療当時の料金となります
治療について
歯医者が怖くて、以前はなかなか通院できなかったが、思い切って治療をしてよかったというお言葉をいただきました。
患者様がなるべく恐怖感を感じないように治療を行うことを心がけております。
なかなか治療に踏み切れない方も一度カウンセリングにおこしください。
セラミック治療の注意事項(リスク・副作用など)
- 天然歯を削ります
- 硬い素材は天然歯を傷つけてしまう場合があります
- かみ合わせや歯ぎしりが強すぎる方はセラミックが割れてしまう可能性があります
- 自費診療(保険適用外治療)となります
インプラント治療の注意事項(リスク・副作用など)
- 外科手術のため、術後に痛みや腫れ、違和感を伴います
- メンテナンスを怠ったり喫煙により、お口の中に大きな悪影響を及ぼすインプラント周囲炎等にかかる可能性があります
- 糖尿病、肝硬変、心臓病等の場合、インプラント治療ができない可能性があります
- 高血圧、貧血・不整脈等の場合、インプラント治療後に治癒不全を招く可能性があります
- 自費診療(保険適用外治療)となります
マウスピース矯正の注意事項(リスク・副作用など)
- 口腔内・歯並びの状態によっては対応できない場合があります
- マウスピース型矯正装置の長時間装着(1日20時間以上)が必須です
- 治療計画通りに進めるためには、患者様の意志が重要になります
- 矯正治療後の保定が不十分だと後戻り(元の位置に戻ろうとする動き)をします
- 薬機法対象外の矯正歯科装置のため医薬品副作用被害救済制度の対象外となる場合があります
- 自費診療(保険適用外)となります
当サイトの内容、テキスト、画像等の無断転載、複製、複写、盗用を固く禁じます。























