症例詳細
Case detail
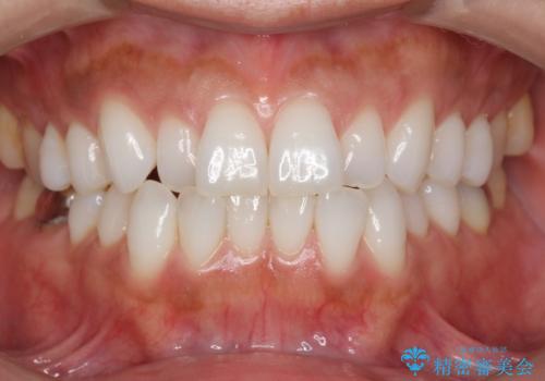
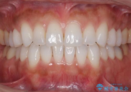
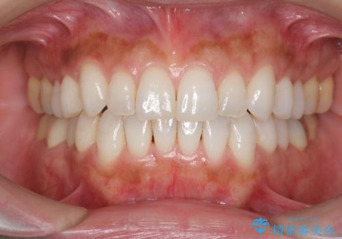
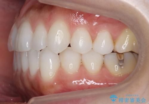
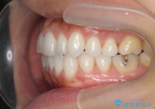
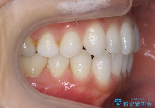
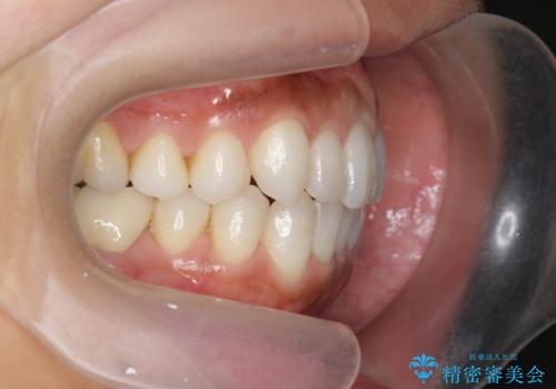
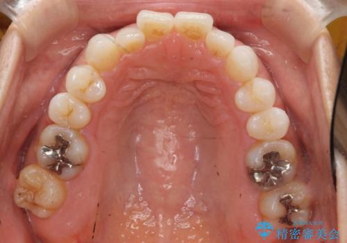
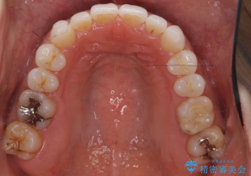
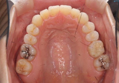
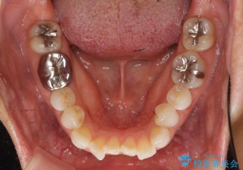
30代女性 前歯のがたつき
- 患者様
- 30代女性
- 矯正装置
- インビザライン
- 治療期間
- 1年5ヶ月
- 治療回数
- 10-30回
- 治療計画
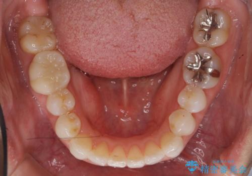
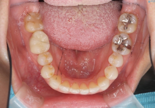
- 前歯のがたつきを主訴に来院。
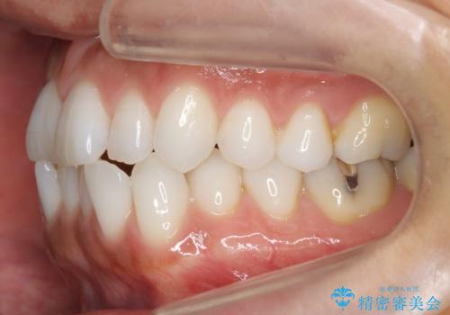
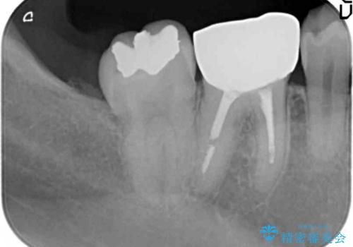
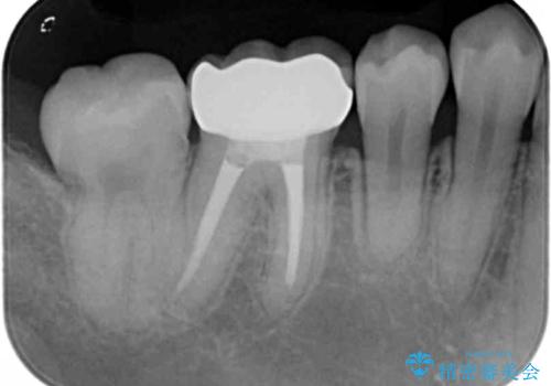
右下の奥の銀歯も治療しています。
- 費用(概算)
- 115.5万円 矯正治療 85万円、奥歯ジルコニアクラウン11万円(ZrCr 10万円、仮歯1万円、矯正用仮歯2万円)セラミックインレー7万円費用は治療当時の料金となります
治療について
下の前歯を下げるため、IPR(歯をわずかに削る処置)を行っています。
セラミック治療の注意事項(リスク・副作用など)
- 天然歯を削ります
- 硬い素材は天然歯を傷つけてしまう場合があります
- かみ合わせや歯ぎしりが強すぎる方はセラミックが割れてしまう可能性があります
- 自費診療(保険適用外治療)となります
マウスピース矯正の注意事項(リスク・副作用など)
- 口腔内・歯並びの状態によっては対応できない場合があります
- マウスピース型矯正装置の長時間装着(1日20時間以上)が必須です
- 治療計画通りに進めるためには、患者様の意志が重要になります
- 矯正治療後の保定が不十分だと後戻り(元の位置に戻ろうとする動き)をします
- 薬機法対象外の矯正歯科装置のため医薬品副作用被害救済制度の対象外となる場合があります
- 自費診療(保険適用外)となります
当サイトの内容、テキスト、画像等の無断転載、複製、複写、盗用を固く禁じます。





















