症例詳細
Case detail
【モニター】犬歯のクロスバイトを目立たないワイヤー装置で
治療症例の内容
- 担当医
- 藤巻太一朗(ドクタープロフィール)
- 患者様
- 20代女性
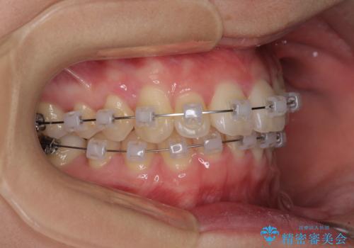
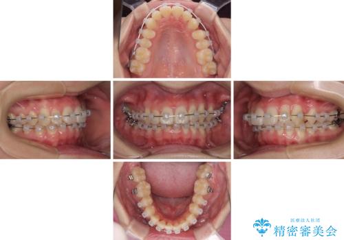
- 矯正装置
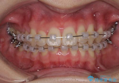
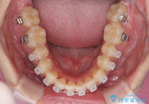
- クリアブラケット
- 治療期間
- 1年6ヶ月
- 治療回数
- 10-30回
- 治療計画
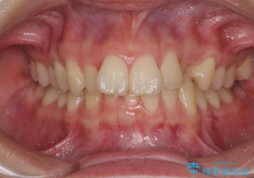
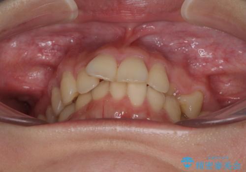
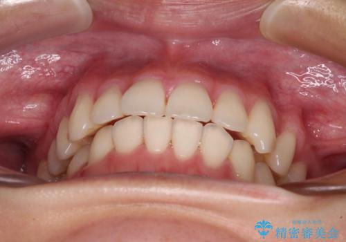
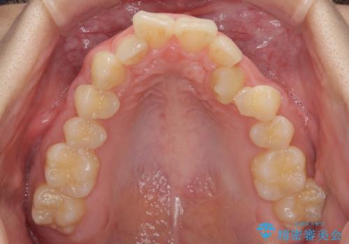
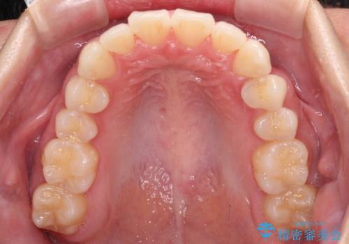
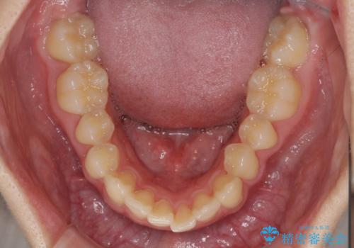
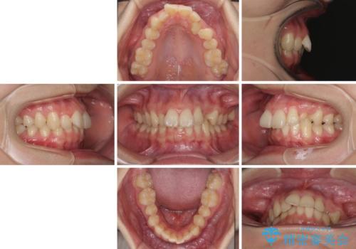
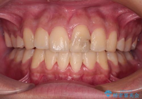
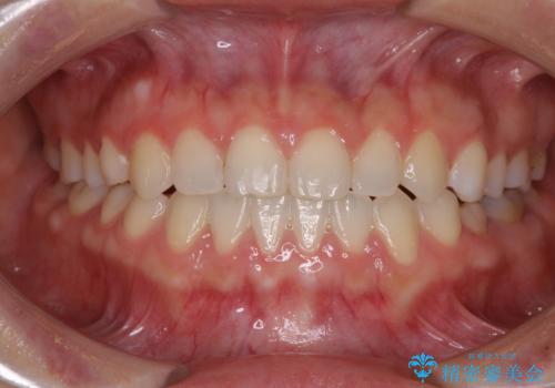
- 咬み合わせが悪いとのことで来院された患者様です。
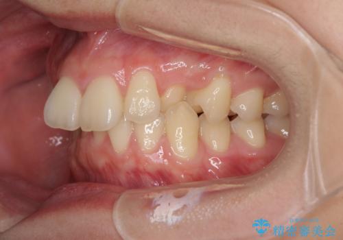
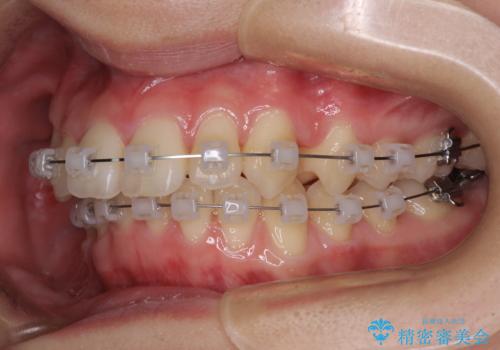
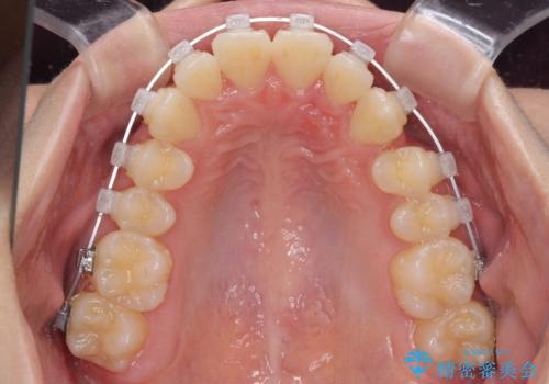
ぱっと見はインビザラインによる矯正治療も可能と思われましたが、歯根が最も長い犬歯がクロスバイトになっており、インビザラインでは対応困難と判断され、ワイヤー装置にて矯正治療を行うこととしました。
クロスバイトになっている犬歯は、歯の移動に伴い装置を張り替えていくことで対応することとしました。
- 費用(概算)
- 治療費の目安: 95万円(税込)費用は治療当時の料金となります
※顔写真掲載にあたり、患者様の了解を得ております
治療について
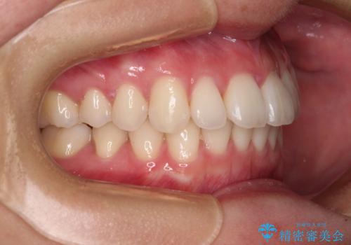
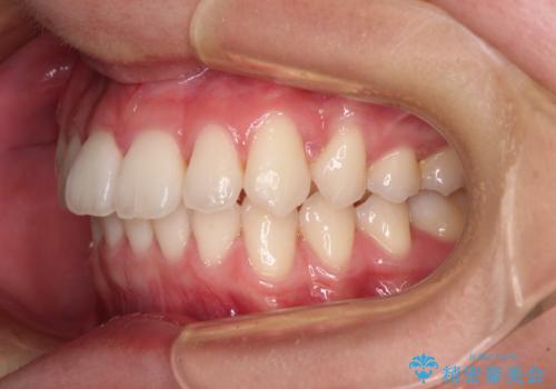
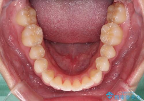
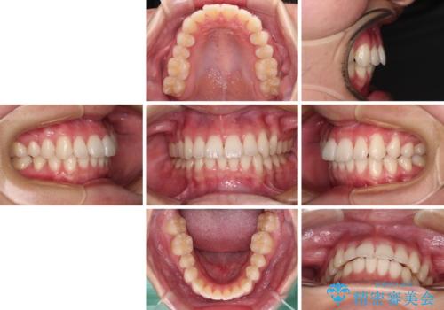
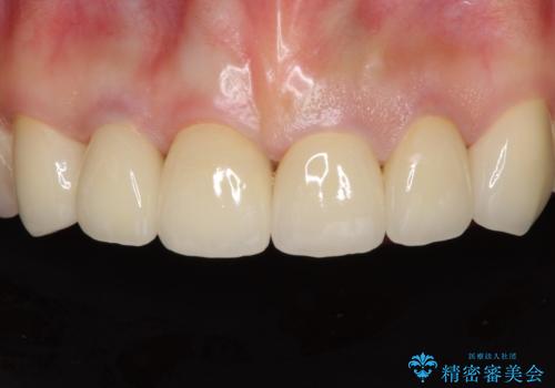
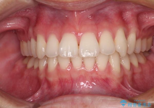
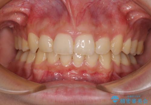
クロスバイト改善中には歯髄壊死を起こすリスクがあるため、神経に問題がないか確認しながら治療を進めて行く必要があります。
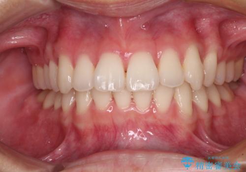
思っていたよりも早くクロスバイトは改善され、歯髄壊死に至ることなく、無事に治療を終えることができました。
ワイヤー矯正の注意事項(リスク・副作用など)
- 治療中は違和感や痛みが起こることがあります
- 症状により、抜歯が必要な場合があります
- 治療中は歯磨きがしにくくなるため、虫歯や歯周病になりやすくなります
- 矯正治療後の保定が不十分だと後戻り(元の位置に戻ろうとする動き)をします
- 自費診療(保険適用外)となります
当サイトの内容、テキスト、画像等の無断転載、複製、複写、盗用を固く禁じます。


























