症例詳細
Case detail
もげてしまった奥歯 部分矯正で清掃性の良い補綴治療
治療症例の内容
- 診療科目
- 治療カテゴリ
- 担当医
- 藤巻太一朗(ドクタープロフィール)
- 患者様
- 40代女性
- 治療期間
- 6ヶ月
- 治療回数
- 5-10回
- 治療計画
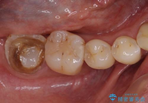
- 奥歯の詰め物が取れ、近医で再装着してもらったものの、すぐに脱落してしまったとのことで来院された患者様です。
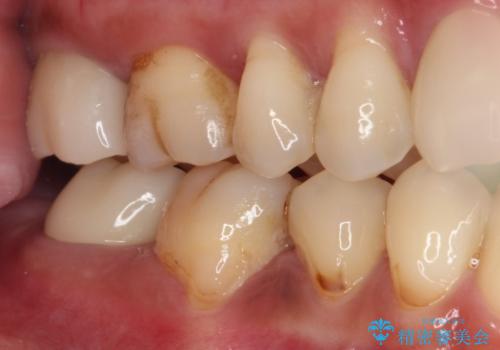
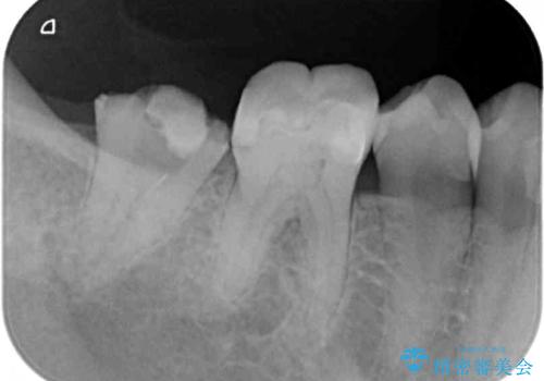
既に神経は失活していましたが根管治療はされておらず、むし歯が大きかったためか、歯全体が手前に動いてしまっていました。
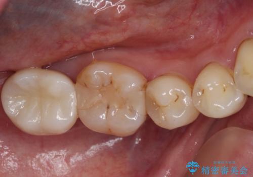
まずは根管治療を行い、その後アンカースクリューを用いて歯を適切な位置まで後方移動させた上で、セラミッククラウンによる補綴治療を行うこととしました。
- 費用(概算)
- 治療費の目安: 25万円(税込)費用は治療当時の料金となります
治療について
前方に傾斜したまま補綴治療を行うと、歯間にものが挟まりやすい上に、歯間ブラシなどの清掃器具も通しにくくなるため、清掃性が著しく低下します。
多少治療期間はかかりますが、部分矯正による歯の移動は非常に有意義な治療手段です。
セラミック治療の注意事項(リスク・副作用など)
- 天然歯を削ります
- 硬い素材は天然歯を傷つけてしまう場合があります
- かみ合わせや歯ぎしりが強すぎる方はセラミックが割れてしまう可能性があります
- 自費診療(保険適用外治療)となります
根管治療の注意事項(リスク・副作用など)
- 根管治療により類似の全ての症例の問題が解決するわけではなく、症例はあくまでも一例です
- 根管治療により痛みや腫れがひかない事や、術後に痛みや腫れが生じる事、治療によるファイル破折やパーフォレーションなどの偶発症、術後の歯根破折を生じる可能性もあります
- 自費診療(保険適用外)となります
当サイトの内容、テキスト、画像等の無断転載、複製、複写、盗用を固く禁じます。









