症例詳細
Case detail
前歯の矮小歯 奥歯の反対咬合 をインビザラインで
- 患者様
- 20代男性
- 治療期間
- 1年10ヶ月
- 治療回数
- 10-30回
- 治療計画
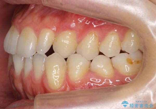
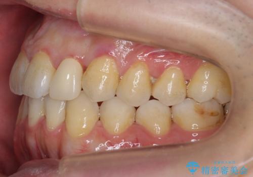
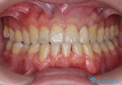
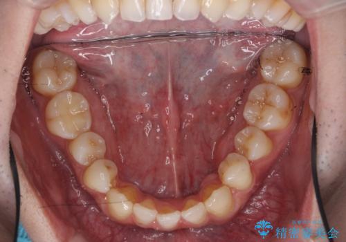
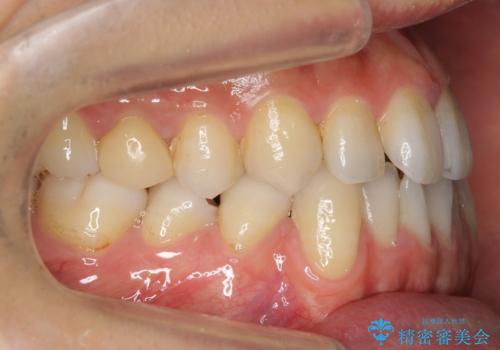
- 上下の前歯が気になり来院。
 
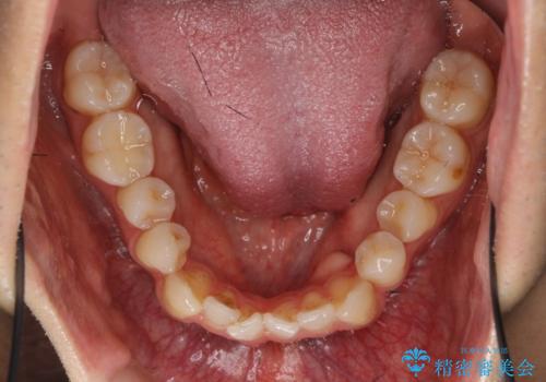
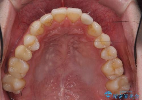
 左上2が矮小歯で小さく、また、左の奥歯が反対咬合になっていました。
 
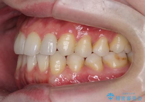
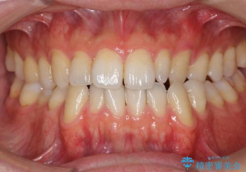
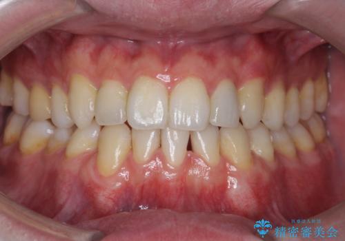
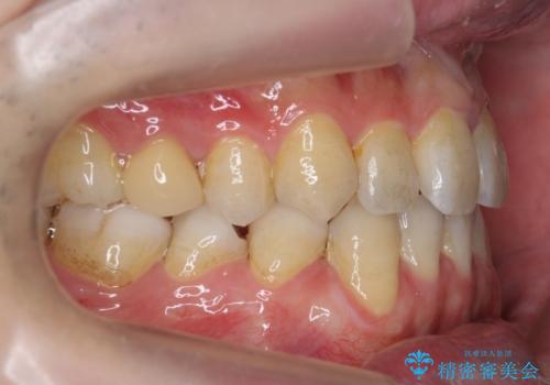
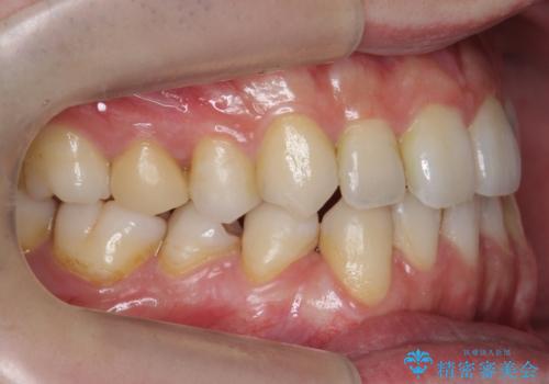
 左上2番はセラミッククラウンで反対側と同じ大きさにしました。
- 費用(概算)
- 約120万円費用は治療当時の料金となります
治療について
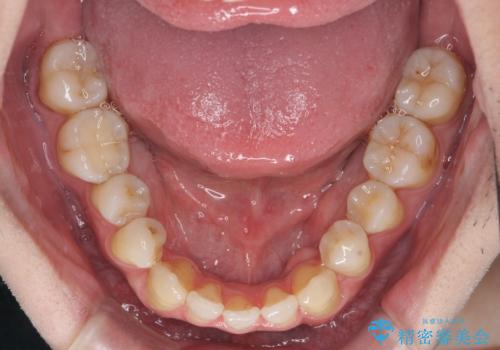
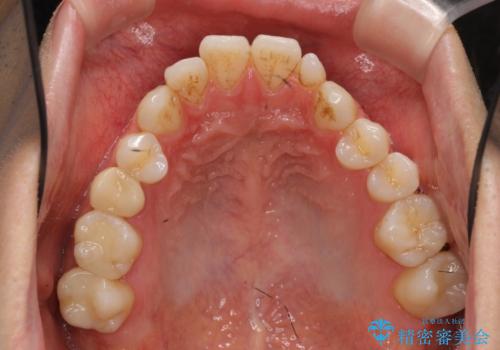
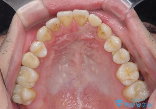
インビザラインでの臼歯の反対咬合の治療は難しいことが多いです。
今回は下の前歯を1本抜くことで、下の奥歯をしっかり内側に傾けて治療を行いました。
マウスピース矯正の注意事項(リスク・副作用など)
- 口腔内・歯並びの状態によっては対応できない場合があります
- マウスピース型矯正装置の長時間装着(1日20時間以上)が必須です
- 治療計画通りに進めるためには、患者様の意志が重要になります
- 矯正治療後の保定が不十分だと後戻り(元の位置に戻ろうとする動き)をします
- 薬機法対象外の矯正歯科装置のため医薬品副作用被害救済制度の対象外となる場合があります
- 自費診療(保険適用外)となります
セラミック治療の注意事項(リスク・副作用など)
- 天然歯を削ります
- 硬い素材は天然歯を傷つけてしまう場合があります
- かみ合わせや歯ぎしりが強すぎる方はセラミックが割れてしまう可能性があります
- 自費診療(保険適用外治療)となります
当サイトの内容、テキスト、画像等の無断転載、複製、複写、盗用を固く禁じます。








 
                       
                                                          
















 
                   
                   
                  