症例詳細
Case detail
インビザライン単独では困難 補助装置を併用した矯正治療
治療症例の内容
- 担当医
- 藤巻太一朗(ドクタープロフィール)
- 患者様
- 20代女性
- 矯正装置
- インビザライン
- 治療期間
- 2年6ヶ月
- 治療回数
- 10-30回
- 治療計画
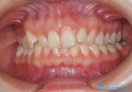
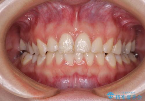
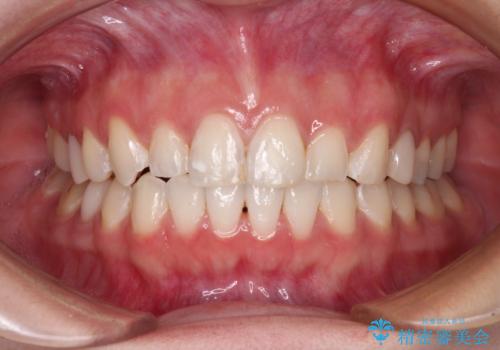
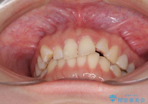
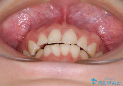
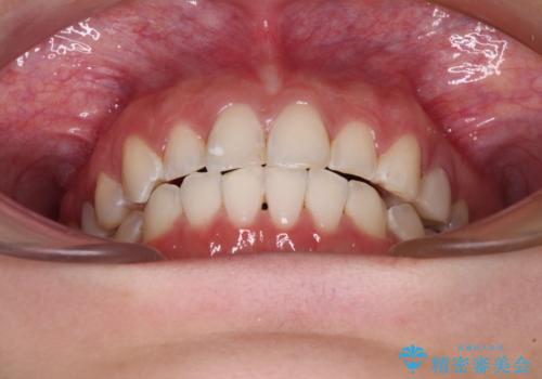
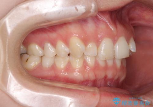
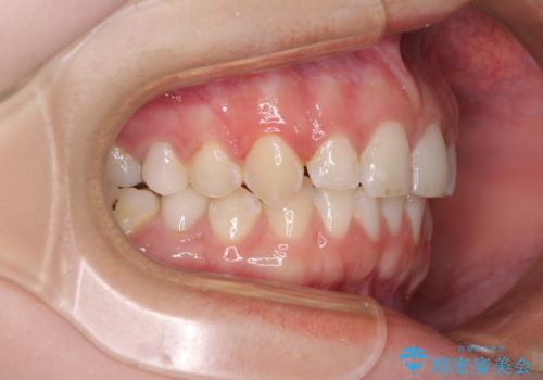
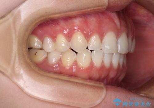
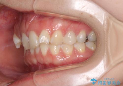
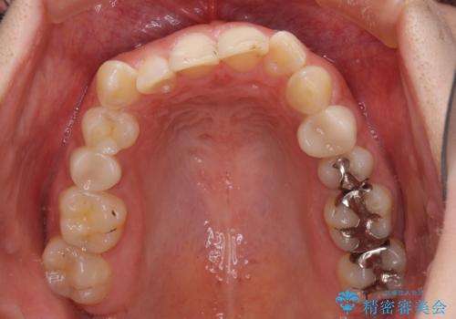
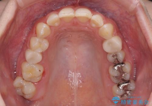
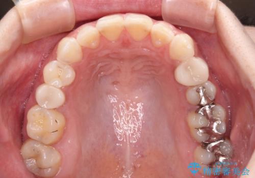
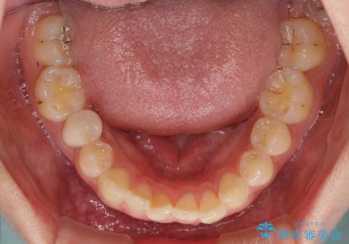
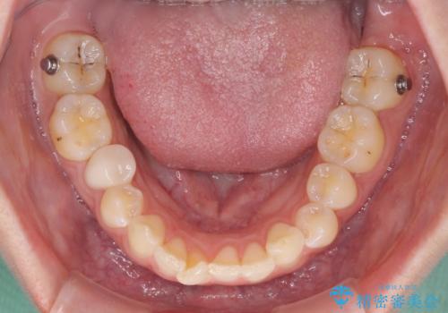
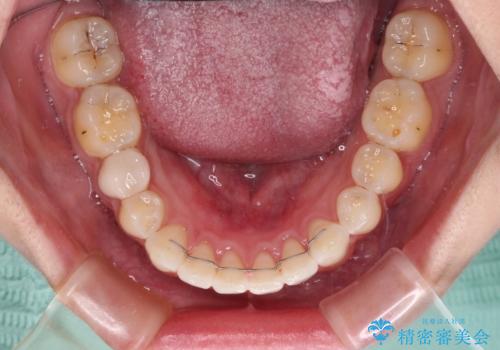
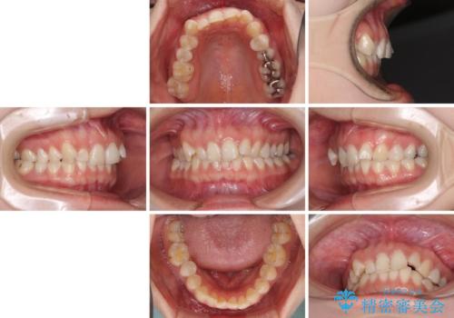
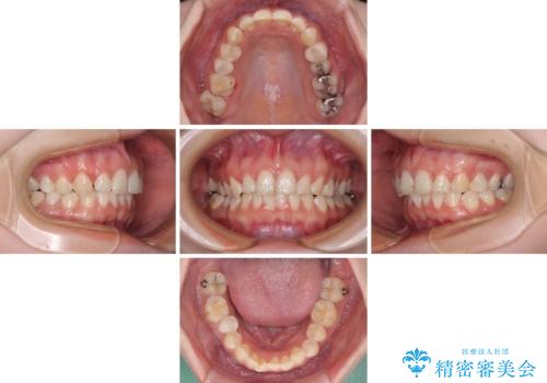
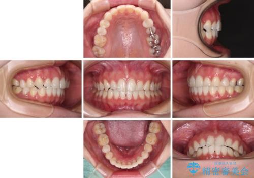
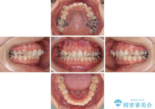
- 前歯の歯列不正を気にして来院された患者様です。
インビザラインでの矯正治療を希望されていましたが、奥歯の咬み合わせがインビザライン単独では改善困難と判断されたので、補助装置を併用することとしました。
まずは裏側の装置やワイヤー矯正を用いて歯列幅の狭い上顎を側方に拡大しつつ全体を後方に移動させ、その後インビザラインにて歯列を整えることとしました。
- 費用(概算)
- 治療費の目安: 100万円(税込)費用は治療当時の料金となります
治療について
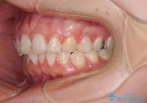
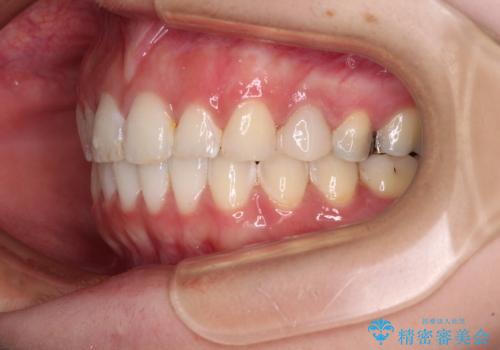
奥歯の咬み合わせの改善は、インビザライン単独では達成しきれないことがあるため、ワイヤー矯正などの補助装置を併用する場合があります。
インビザライン単独の場合と比べ、治療結果は大きく異なります。
マウスピース矯正の注意事項(リスク・副作用など)
- 口腔内・歯並びの状態によっては対応できない場合があります
- マウスピース型矯正装置の長時間装着(1日20時間以上)が必須です
- 治療計画通りに進めるためには、患者様の意志が重要になります
- 矯正治療後の保定が不十分だと後戻り(元の位置に戻ろうとする動き)をします
- 薬機法対象外の矯正歯科装置のため医薬品副作用被害救済制度の対象外となる場合があります
- 自費診療(保険適用外)となります
当サイトの内容、テキスト、画像等の無断転載、複製、複写、盗用を固く禁じます。




























