症例詳細
Case detail
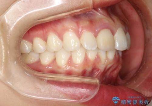
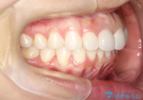
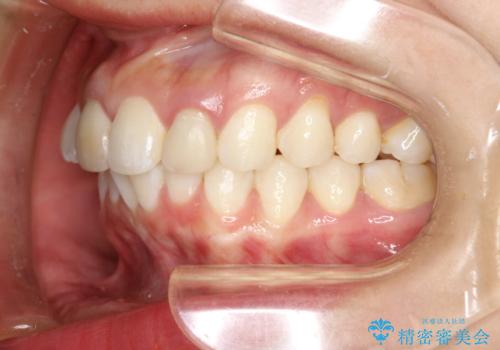
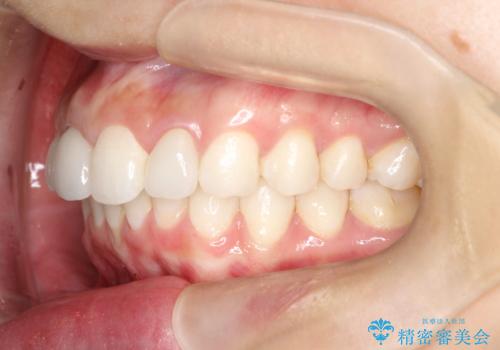
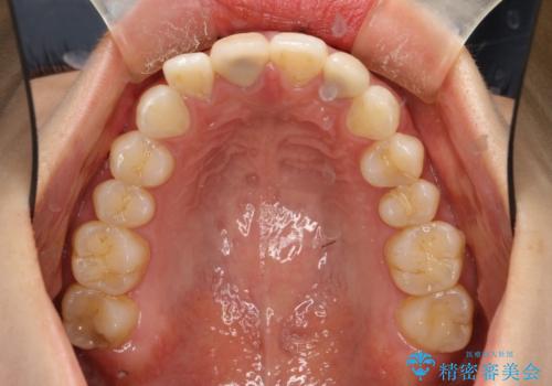
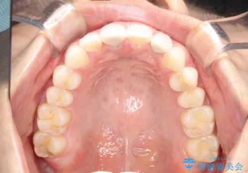
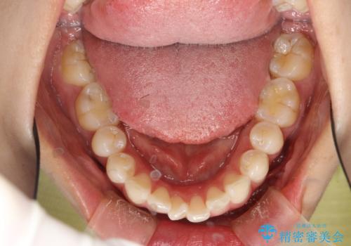
後戻りした歯並びをきれいにしたい
- 患者様
- 30代女性
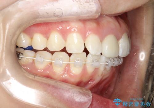
- 矯正装置
- ワイヤー(ハーフリンガル)
- 治療期間
- 1年
- 治療回数
- 10-30回
- 治療計画
- ワイヤーで矯正した後戻りをマウスピースで治そうとしたが、使えなかったため再度ワイヤー矯正希望で来院されました。
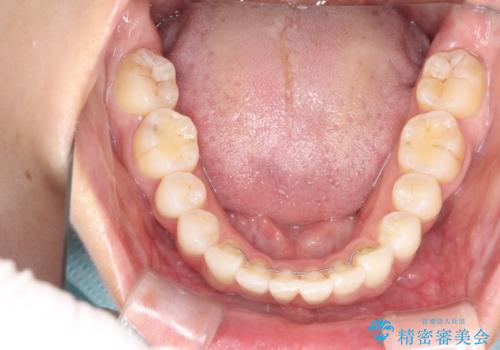
装置はハーフリンガルを選択しています。
- 費用(概算)
- 80万円+tax費用は治療当時の料金となります
治療について
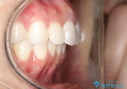
矯正としてはマウスピースでできましたが、患者さんの希望でワイヤー(ハーフリンガル)で矯正を行いました。
右下1が歯肉退縮していたため、アーチを拡げないように歯と歯の間を削って隙間をあけて並べています。
ワイヤー矯正の注意事項(リスク・副作用など)
- 治療中は違和感や痛みが起こることがあります
- 症状により、抜歯が必要な場合があります
- 治療中は歯磨きがしにくくなるため、虫歯や歯周病になりやすくなります
- 矯正治療後の保定が不十分だと後戻り(元の位置に戻ろうとする動き)をします
- 自費診療(保険適用外)となります
当サイトの内容、テキスト、画像等の無断転載、複製、複写、盗用を固く禁じます。



























