症例詳細
Case detail
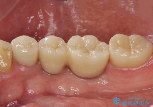
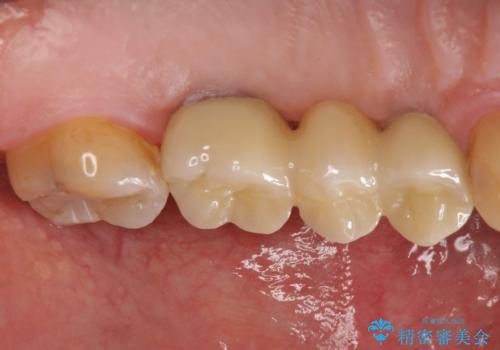
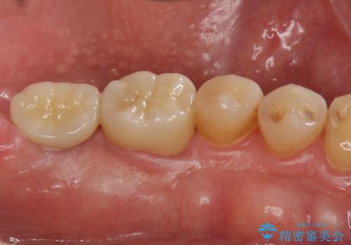
インプラント治療・セラミック治療を含む 全顎的虫歯治療
- 患者様
 - 40代男性
 
- 治療期間
 - 3年
 
- 治療回数
 - 30回以上
 
- 治療計画
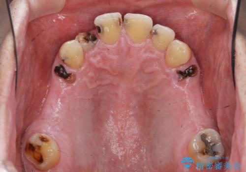
 - 「 仕事が忙しく、虫歯を放置しすぎてしまった。この際全てきっちりと治したい。」と来院されました。
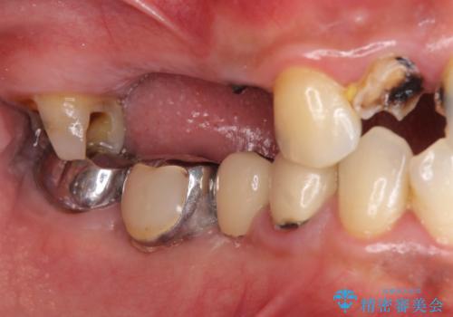
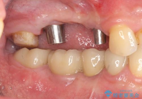
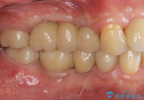
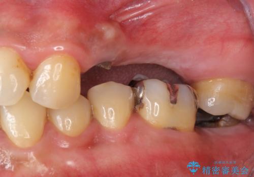
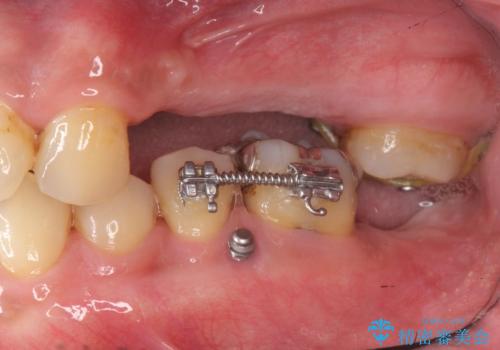
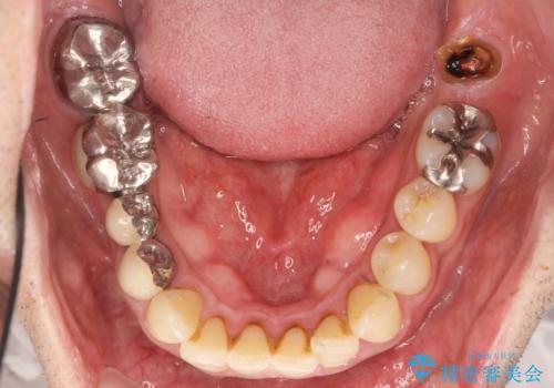
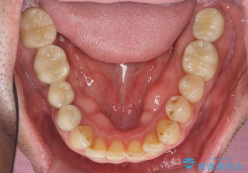
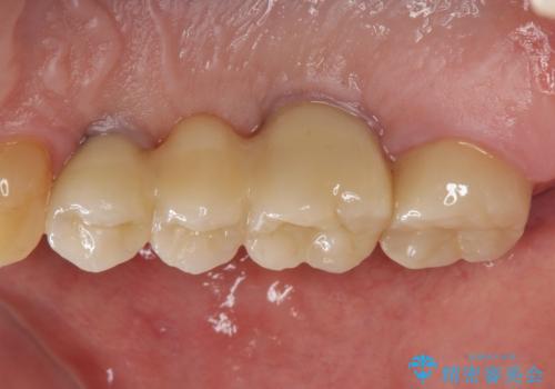
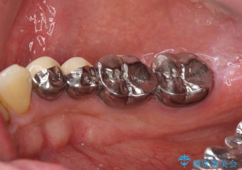
・歯の欠損
・虫歯
・深い虫歯
・欠損の放置による対合歯の挺出
・咬合平面の乱れ
・感染根管
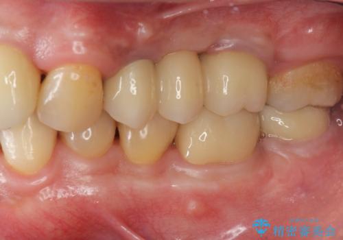
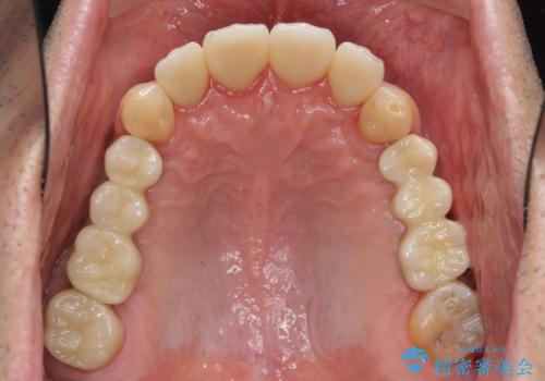
以上のような問題を、徹底的な虫歯治療、歯周外科、インプラント治療、部分矯正治療、精密根管治療を用いてひとつずつ解決ししっかりと長期的に食事を楽しめるような口腔内環境の再構築を目指します。
 
- 費用(概算)
 - 385万円費用は治療当時の料金となります
 
全顎的治療について
全顎的治療は、問題点と工程が多いことから治療の来院回数が多く・治療期間も長くなる傾向にあります。
きちんと最後まで治療を終えるまで通院していただく協力が不可欠です。
インプラント治療の注意事項(リスク・副作用など)
- 外科手術のため、術後に痛みや腫れ、違和感を伴います
 - メンテナンスを怠ったり喫煙により、お口の中に大きな悪影響を及ぼすインプラント周囲炎等にかかる可能性があります
 - 糖尿病、肝硬変、心臓病等の場合、インプラント治療ができない可能性があります
 - 高血圧、貧血・不整脈等の場合、インプラント治療後に治癒不全を招く可能性があります
 - 自費診療(保険適用外治療)となります
 
セラミック治療の注意事項(リスク・副作用など)
- 天然歯を削ります
 - 硬い素材は天然歯を傷つけてしまう場合があります
 - かみ合わせや歯ぎしりが強すぎる方はセラミックが割れてしまう可能性があります
 - 自費診療(保険適用外治療)となります
 
当サイトの内容、テキスト、画像等の無断転載、複製、複写、盗用を固く禁じます。

                      
                                                          






















