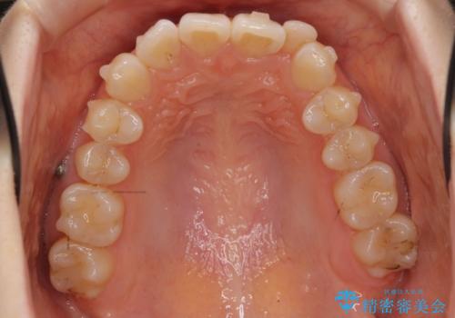
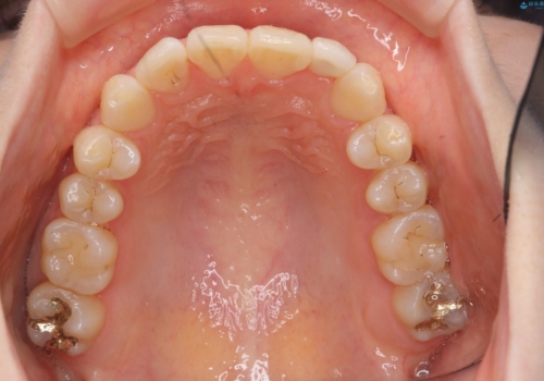
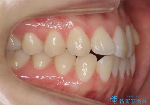
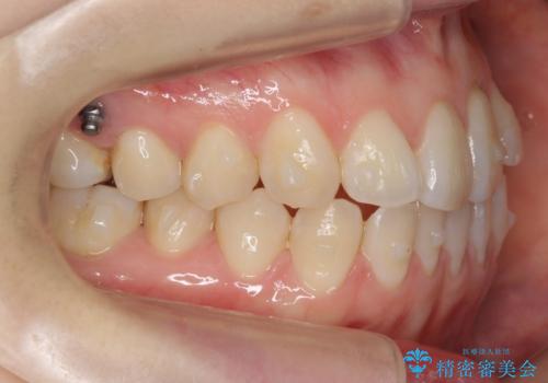
症例詳細
Case detail
前歯が気になる 大人のマウスピース矯正 矮小歯を整える
- 患者様
- 30代女性
- 矯正装置
- インビザライン フル
- 治療期間
- 2年4ヶ月
- 治療回数
- 10-30回
- 治療計画
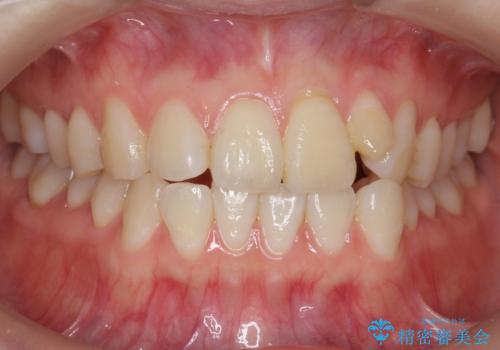
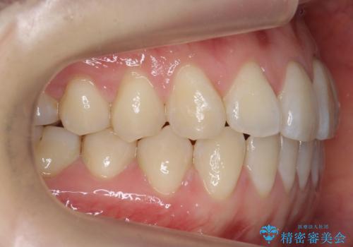
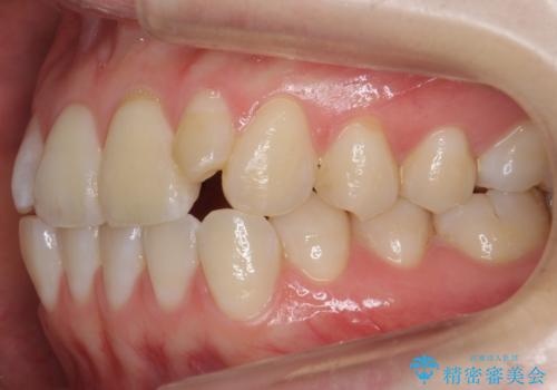
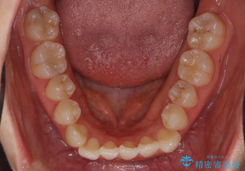
- 前歯の並びを主訴に来院。
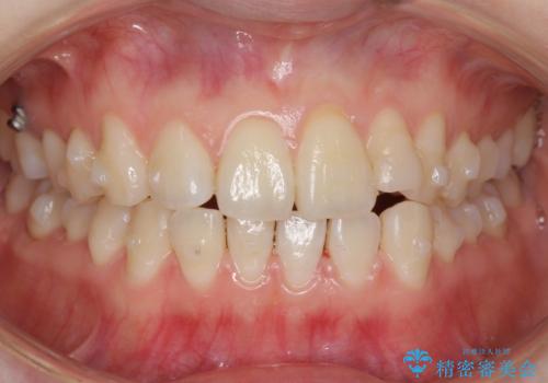
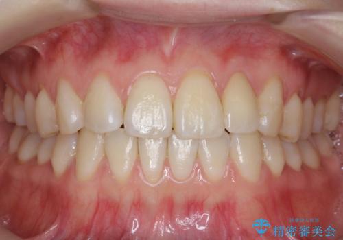
マウスピースで歯を抜かずに治療しています。
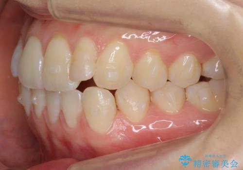
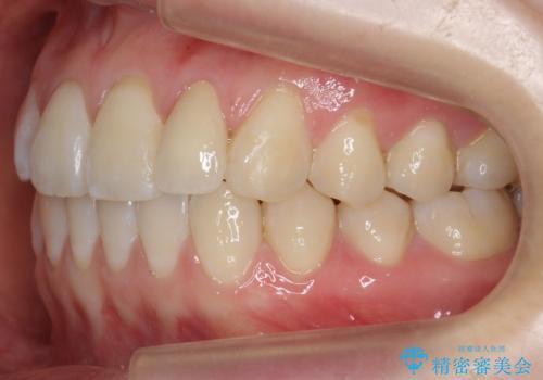
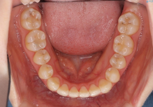
左上の前歯が飛び出しており、唇が笑った時に引っかかっていたのが解消しています。
左上の前歯は小さいため、(矮小歯)左右対称になるようにセラミックで形を修正する治療も併用しています。
https://seimitsushinbi.jp/case/71254/
- 費用(概算)
- 104.5万円 (インビザライン、税込) クラウン代は別途費用は治療当時の料金となります
治療について
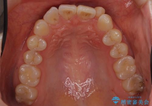
歯を大きくかぶせるスペースを作るため、右上の奥歯を後ろに下げています。
矯正用ミニスクリューを1本、使用しています。
左にずれていた上の正中も揃い、大変喜んでいただきました。
マウスピース矯正の注意事項(リスク・副作用など)
- 口腔内・歯並びの状態によっては対応できない場合があります
- マウスピース型矯正装置の長時間装着(1日20時間以上)が必須です
- 治療計画通りに進めるためには、患者様の意志が重要になります
- 矯正治療後の保定が不十分だと後戻り(元の位置に戻ろうとする動き)をします
- 薬機法対象外の矯正歯科装置のため医薬品副作用被害救済制度の対象外となる場合があります
- 自費診療(保険適用外)となります
セラミック治療の注意事項(リスク・副作用など)
- 天然歯を削ります
- 硬い素材は天然歯を傷つけてしまう場合があります
- かみ合わせや歯ぎしりが強すぎる方はセラミックが割れてしまう可能性があります
- 自費診療(保険適用外治療)となります
当サイトの内容、テキスト、画像等の無断転載、複製、複写、盗用を固く禁じます。



















