症例詳細
Case detail
冷たいものがしみて奥歯が痛い 気になる歯並びも治した
治療症例の内容
- 担当医
- 藤巻太一朗(ドクタープロフィール)
- 患者様
- 30代男性
- 矯正装置
- 審美装置
- 治療期間
- 1年2ヶ月
- 治療回数
- 10-30回
- 治療計画
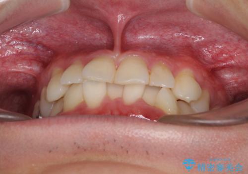
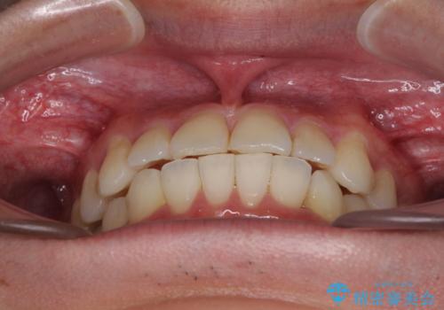
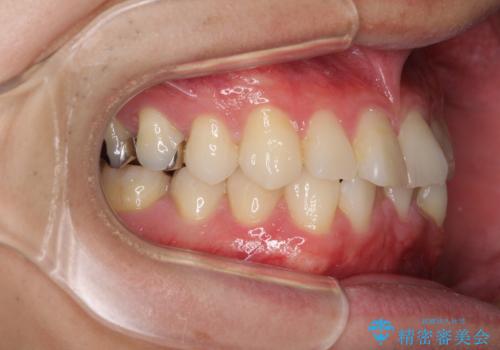
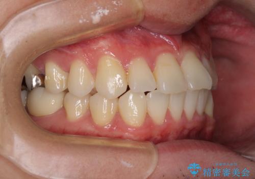
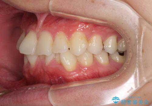
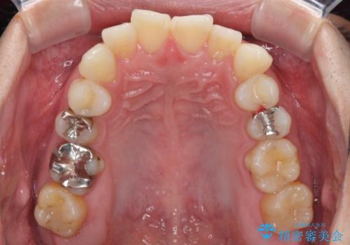
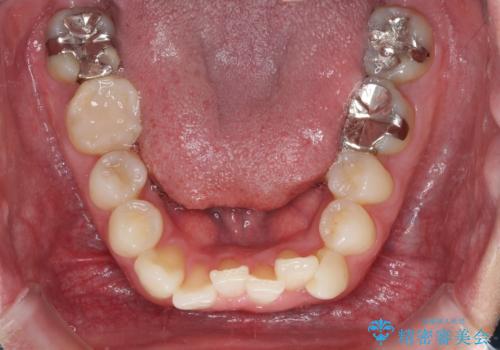
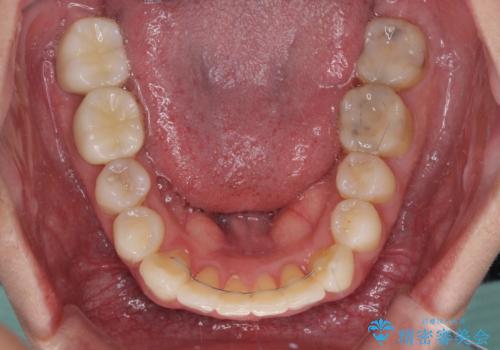
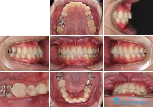
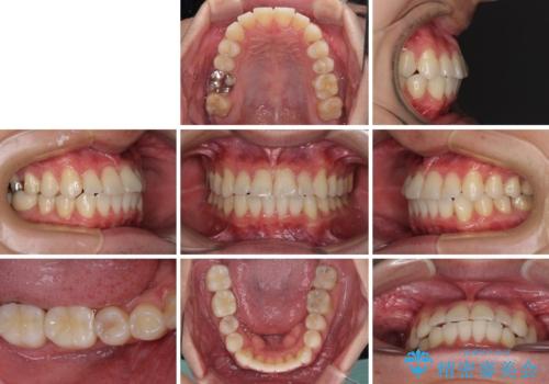
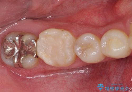
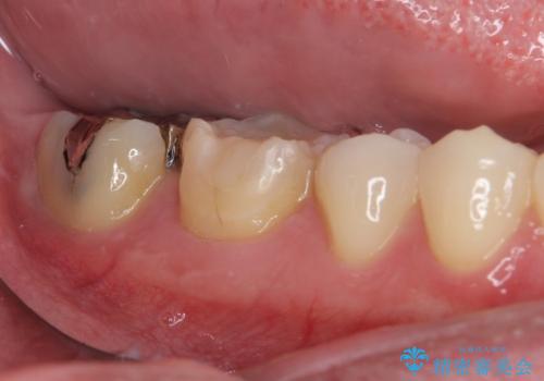
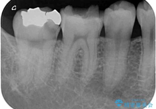
- 右下奥歯の虫歯がしみて痛いとのことで来院された患者様です。
神経近くにまで及ぶ大きな虫歯でしたが、速やかに処置を行い、痛みは即日解消されました。
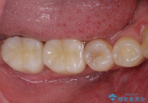
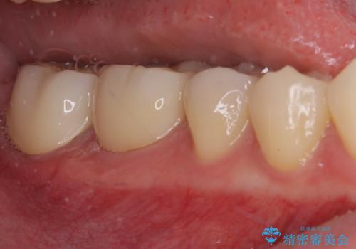
虫歯が大きかったため、クラウンによる補綴治療が必要になる旨をお伝えしたところ、矯正治療にも興味があるとのことでした。
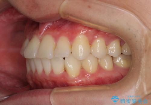
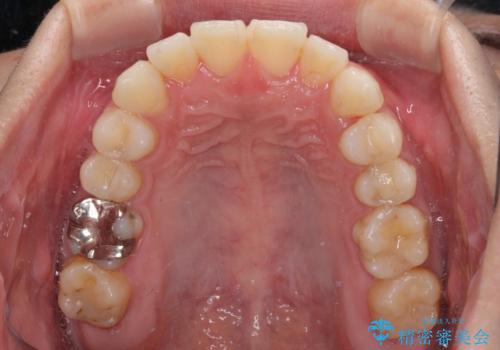
短期間で手間のかからない方法がご希望でしたので、ワイヤー装置による矯正治療を行うこととし、矯正治療後に右奥2歯をセラミッククラウンにて補綴することとしました。
- 費用(概算)
- 治療費の目安: 115万円費用は治療当時の料金となります
治療について
セラミッククラウンによる補綴治療と矯正治療の双方が必要となる場合、矯正治療前の処置や歯の移動中に必要な処置など、二種類の治療を同時にチェックすることがとても重要となります。
当法人では、1つの医院で全ての診療を進めることができるため、このような方には大変お勧めです。
ワイヤー矯正の注意事項(リスク・副作用など)
- 治療中は違和感や痛みが起こることがあります
- 症状により、抜歯が必要な場合があります
- 治療中は歯磨きがしにくくなるため、虫歯や歯周病になりやすくなります
- 矯正治療後の保定が不十分だと後戻り(元の位置に戻ろうとする動き)をします
- 自費診療(保険適用外)となります
セラミック治療の注意事項(リスク・副作用など)
- 天然歯を削ります
- 硬い素材は天然歯を傷つけてしまう場合があります
- かみ合わせや歯ぎしりが強すぎる方はセラミックが割れてしまう可能性があります
- 自費診療(保険適用外治療)となります
当サイトの内容、テキスト、画像等の無断転載、複製、複写、盗用を固く禁じます。


























