症例詳細
Case detail
変色した前歯のクラウン オールセラミッククラウンにより審美歯科治療
治療症例の内容
- 診療科目
- 担当医
- 藤巻太一朗(ドクタープロフィール)
- 患者様
- 30代女性
- 治療期間
- 8ヶ月
- 治療回数
- 5-10回
- 治療計画
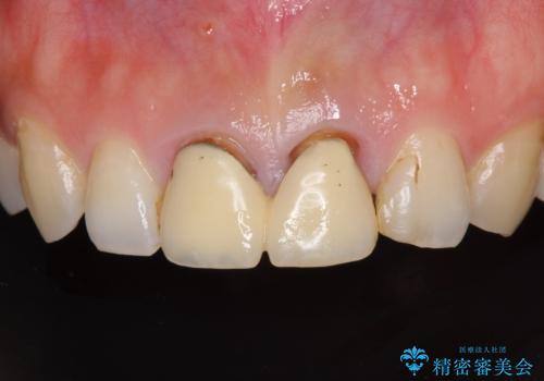
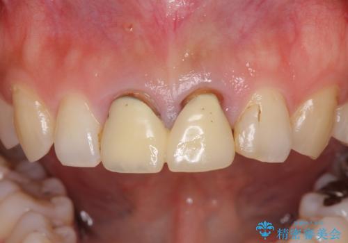
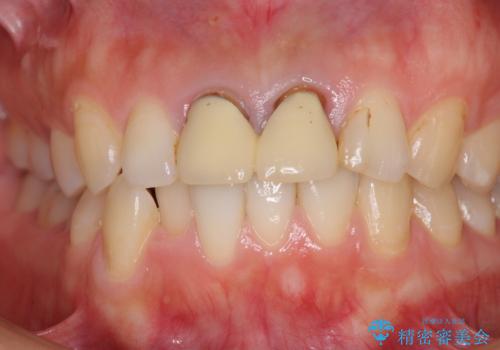
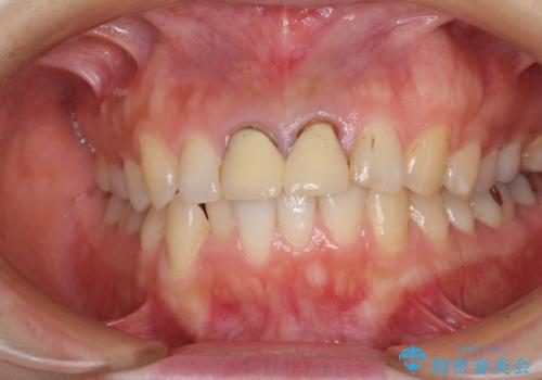
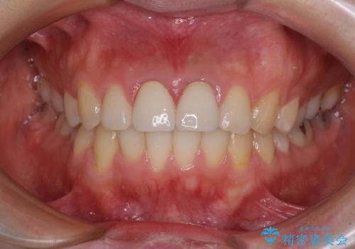
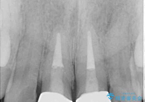
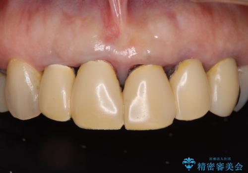
- 前歯のクラウンが着色により不自然な色となっていることを気にして来院された患者様です。
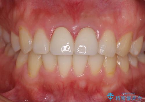
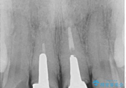
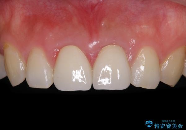
クラウンと歯の縁も合っておらず、汚れが溜まりやすい環境であったため、前歯2歯のクラウンをオールセラミッククラウンにて再補綴することとしました。
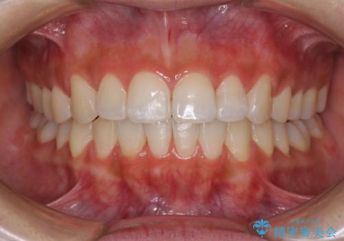
また、下顎前歯の叢生も気になっているとのことで、上顎の治療と並行して部分矯正を行うこととしました。
- 費用(概算)
- 治療費の目安: 65万円費用は治療当時の料金となります
治療について
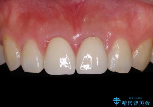
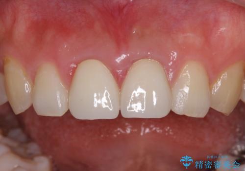
下顎前歯の部分矯正に半年ほどかかってしまい、少し期間は長いものとなりましたが、上下ともに前歯がきれいに整い、患者様には大変満足していただきました。
ワイヤー矯正の注意事項(リスク・副作用など)
- 治療中は違和感や痛みが起こることがあります
- 症状により、抜歯が必要な場合があります
- 治療中は歯磨きがしにくくなるため、虫歯や歯周病になりやすくなります
- 矯正治療後の保定が不十分だと後戻り(元の位置に戻ろうとする動き)をします
- 自費診療(保険適用外)となります
根管治療の注意事項(リスク・副作用など)
- 根管治療により類似の全ての症例の問題が解決するわけではなく、症例はあくまでも一例です
- 根管治療により痛みや腫れがひかない事や、術後に痛みや腫れが生じる事、治療によるファイル破折やパーフォレーションなどの偶発症、術後の歯根破折を生じる可能性もあります
- 自費診療(保険適用外)となります
セラミック治療の注意事項(リスク・副作用など)
- 天然歯を削ります
- 硬い素材は天然歯を傷つけてしまう場合があります
- かみ合わせや歯ぎしりが強すぎる方はセラミックが割れてしまう可能性があります
- 自費診療(保険適用外治療)となります
当サイトの内容、テキスト、画像等の無断転載、複製、複写、盗用を固く禁じます。














