症例詳細
Case detail
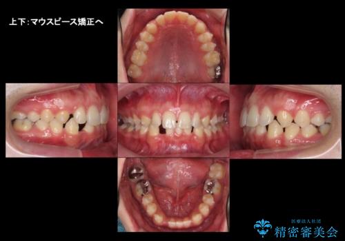
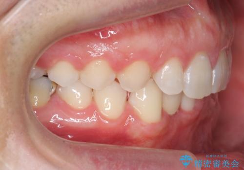
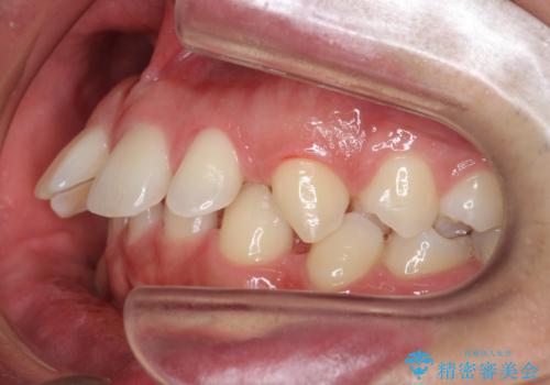
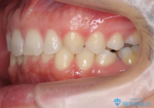
すきっ歯・出っ歯 コンプレックスの前歯を治したい 目立たない方法で セラミック治療は不可能な症例
- 患者様
- 20代男性
- 矯正装置
- インビザライン、ワイヤー矯正併用
- 治療期間
- 4年2ヶ月
- 治療回数
- 30回以上
- 治療計画
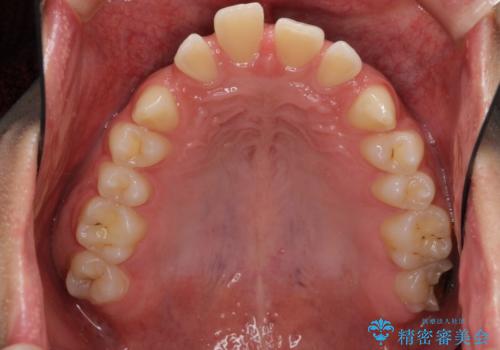
- 前歯の並びを治したいと来院。
人前に立つ予定があるとのことで、初めはセラミックで歯を削ってかぶせる短期間で終える治療を希望されていました。
歯の位置が悪く、隙間も大きいためセラミックで被せても到底思ったような仕上がりにならないこと、下の歯が咬み込んでいるためセラミックはおろか前歯が短期間で折れてしまうリスクが非常に高いことを説明しました。
まだ20代と若く、これから歯をずっと使っていくことを踏まえて、前歯の角度や位置をしっかり変える矯正治療をおすすめしました。
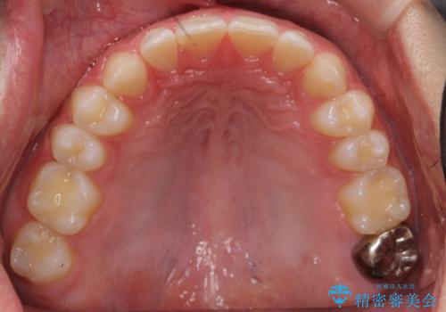
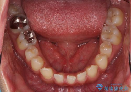
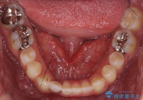
上はインビザラインで目立たないように前歯を下げ、下は難しいため、ワイヤー矯正で咬み込んでいる下の歯を沈める処置を初め行いました。最終的には上下ともインビザライン矯正で仕上げました。
下の前歯が生まれつき1本少なかったため、その部分には最終的にインプラントを入れ、下の歯が下がりすぎないようにかつ上の前歯にしっかり咬むように仕上げました。
下の前歯インプラントについては下記をご覧ください。
https://seimitsushinbi.jp/case/64252/
- 費用(概算)
- 100万円 (インビザライン85万円 部分矯正・付加装置15万円) インプラント費用は別途費用は治療当時の料金となります
治療について
すきっ歯を被せものだけで治そうとすると、横幅の広い巨大な歯になり、理想的な仕上がりとは程遠いです。
また、歯の位置が悪いままかぶせると、無理な角度補正をすることになり、歯も割れやすいです。
今回は、時間はかかりましたが矯正治療で隙間を閉じ、天然の歯を保存することができました。セラミックで無理に一時的にかぶせるとその後大変な人生になるのが予想されます。
難ケースのため、患者様とともに根気強く治療に取り組んだ結果、しっかり治療することができました。
ワイヤー矯正の注意事項(リスク・副作用など)
- 治療中は違和感や痛みが起こることがあります
- 症状により、抜歯が必要な場合があります
- 治療中は歯磨きがしにくくなるため、虫歯や歯周病になりやすくなります
- 矯正治療後の保定が不十分だと後戻り(元の位置に戻ろうとする動き)をします
- 自費診療(保険適用外)となります
マウスピース矯正の注意事項(リスク・副作用など)
- 口腔内・歯並びの状態によっては対応できない場合があります
- マウスピース型矯正装置の長時間装着(1日20時間以上)が必須です
- 治療計画通りに進めるためには、患者様の意志が重要になります
- 矯正治療後の保定が不十分だと後戻り(元の位置に戻ろうとする動き)をします
- 薬機法対象外の矯正歯科装置のため医薬品副作用被害救済制度の対象外となる場合があります
- 自費診療(保険適用外)となります
インプラント治療の注意事項(リスク・副作用など)
- 外科手術のため、術後に痛みや腫れ、違和感を伴います
- メンテナンスを怠ったり喫煙により、お口の中に大きな悪影響を及ぼすインプラント周囲炎等にかかる可能性があります
- 糖尿病、肝硬変、心臓病等の場合、インプラント治療ができない可能性があります
- 高血圧、貧血・不整脈等の場合、インプラント治療後に治癒不全を招く可能性があります
- 自費診療(保険適用外治療)となります
当サイトの内容、テキスト、画像等の無断転載、複製、複写、盗用を固く禁じます。





















