症例詳細
Case detail
隙間だらけの歯列をきれいに インビザライン矯正とセラミック補綴治療
治療症例の内容
- 患者様
- 40代女性
- 矯正装置
- インビザライン
- 治療期間
- 2年7ヶ月
- 治療回数
- 10-30回
- 治療計画
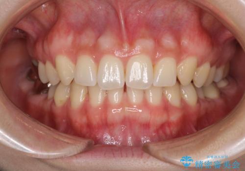
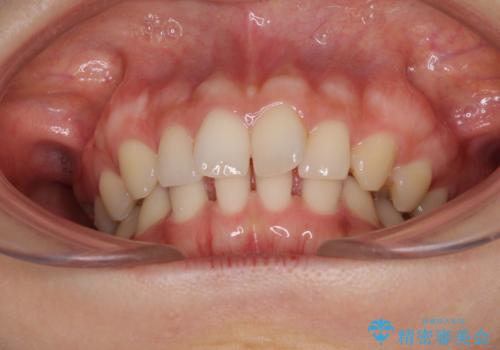
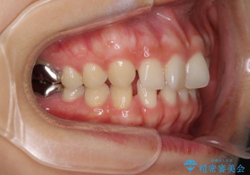
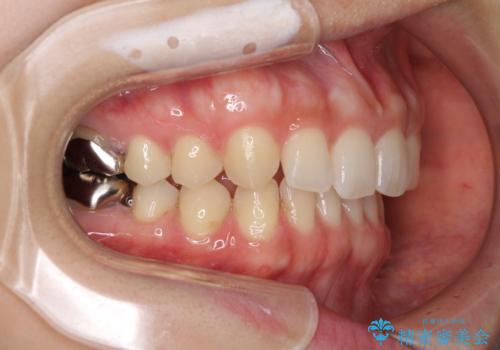
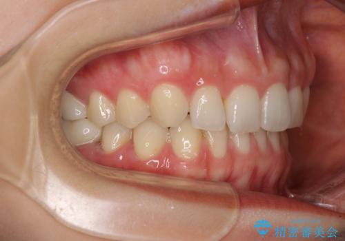
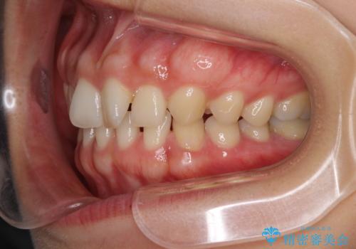
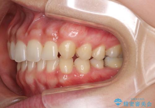
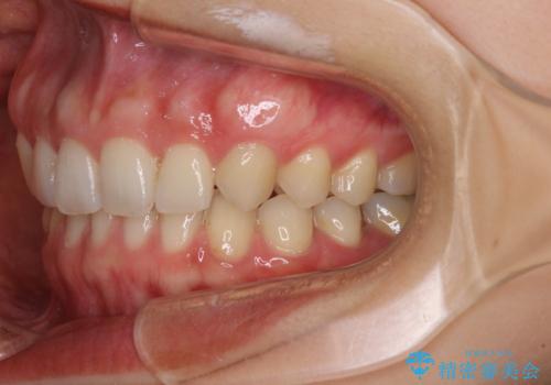
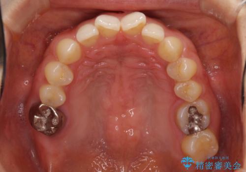
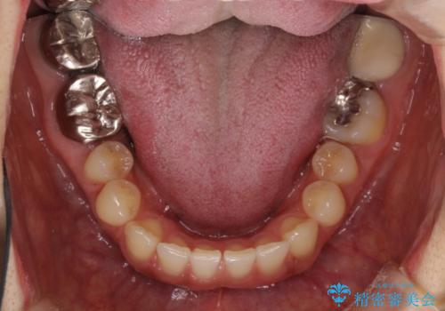
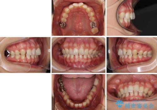
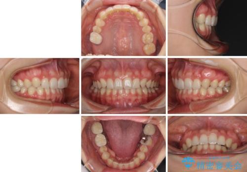
- 前歯の隙間と奥歯の目立つ銀歯を気にして来院された患者様です。
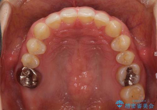
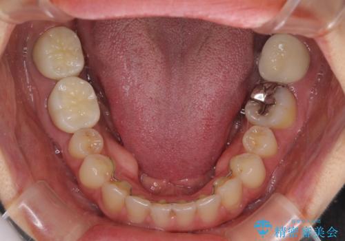
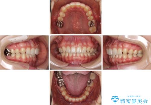
インビザラインにより下顎前歯の隙間を閉じるとともに、奥歯の咬み合わせを改善させることとしました。
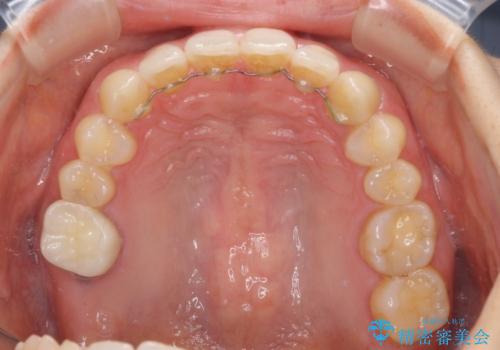
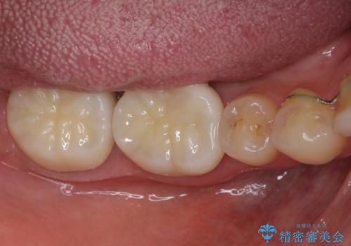
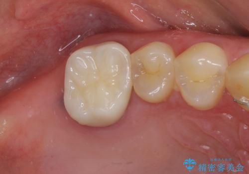
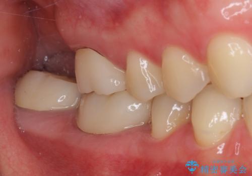
矯正治療後には、銀歯のクラウンをセラミッククラウンへ替える補綴治療を行うこととしました。
- 費用(概算)
- 治療費の目安: 105万円費用は治療当時の料金となります
治療について
左右奥歯の咬み合わせを変更させる必要があったため、治療期間は長くなることが予想されました。
1日22時間以上の装着時間をしっかりと守ってくださったので、順調に治療を進めることができました。
マウスピース矯正の注意事項(リスク・副作用など)
- 口腔内・歯並びの状態によっては対応できない場合があります
- マウスピース型矯正装置の長時間装着(1日20時間以上)が必須です
- 治療計画通りに進めるためには、患者様の意志が重要になります
- 矯正治療後の保定が不十分だと後戻り(元の位置に戻ろうとする動き)をします
- 薬機法対象外の矯正歯科装置のため医薬品副作用被害救済制度の対象外となる場合があります
- 自費診療(保険適用外)となります
セラミック治療の注意事項(リスク・副作用など)
- 天然歯を削ります
- 硬い素材は天然歯を傷つけてしまう場合があります
- かみ合わせや歯ぎしりが強すぎる方はセラミックが割れてしまう可能性があります
- 自費診療(保険適用外治療)となります
当サイトの内容、テキスト、画像等の無断転載、複製、複写、盗用を固く禁じます。


































