症例詳細
Case detail
部分矯正とセラミック 前歯の審美治療
治療症例の内容
- 患者様
- 50代女性
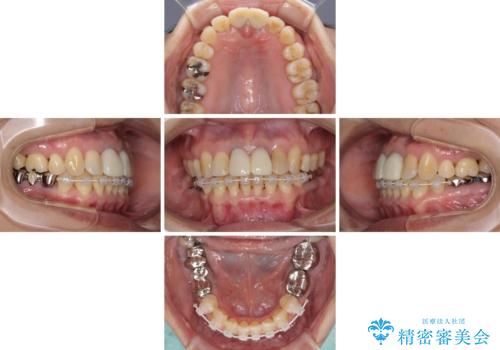
- 矯正装置
- 審美装置
- 治療期間
- 8ヶ月
- 治療回数
- 5-10回
- 治療計画
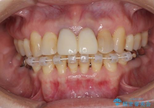
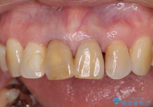
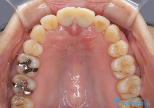
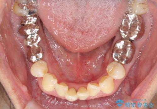
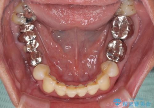
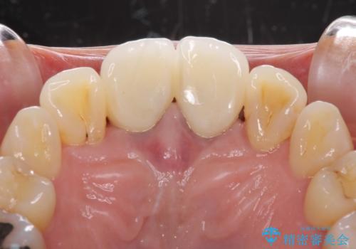
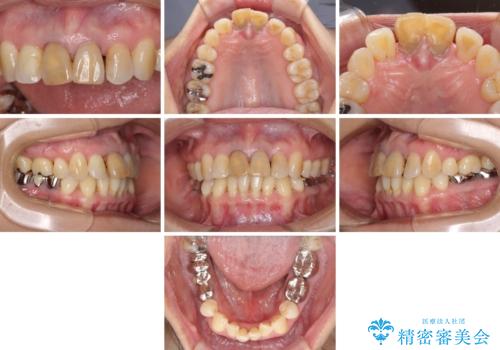
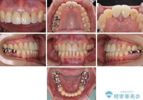
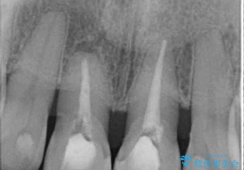
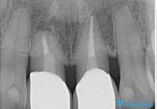
- 上の前歯の変色と、下の前歯のデコボコを気にして来院された患者様です。
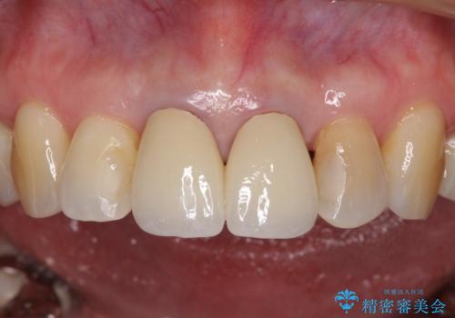
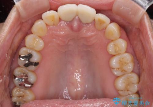
前歯はオールセラミッククラウンに補綴することとしました。
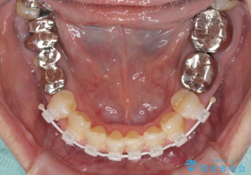
補綴治療に先立ち、下顎前歯の部分矯正を行い、前歯の咬み合わせの安定性向上を図りました。
- 費用(概算)
- 治療費の目安: 50万円費用は治療当時の料金となります
治療について
当初は上顎の補綴治療のみを希望されていましたが、奥歯にブリッジなど補綴物が多くあり、前歯も変色しているため、治療費が高額となってしまうことが懸念されました。
相談の上、最も気になっている前歯の部分矯正と補綴治療により口元の改善を図ることとしました。
審美面と合わせて清掃性も改善され、患者様には大変満足していただきました。
セラミック治療の注意事項(リスク・副作用など)
- 天然歯を削ります
- 硬い素材は天然歯を傷つけてしまう場合があります
- かみ合わせや歯ぎしりが強すぎる方はセラミックが割れてしまう可能性があります
- 自費診療(保険適用外治療)となります
ワイヤー矯正の注意事項(リスク・副作用など)
- 治療中は違和感や痛みが起こることがあります
- 症状により、抜歯が必要な場合があります
- 治療中は歯磨きがしにくくなるため、虫歯や歯周病になりやすくなります
- 矯正治療後の保定が不十分だと後戻り(元の位置に戻ろうとする動き)をします
- 自費診療(保険適用外)となります
当サイトの内容、テキスト、画像等の無断転載、複製、複写、盗用を固く禁じます。


















