症例詳細
Case detail
前歯のデコボコを治したい ワイヤー矯正
治療症例の内容
- 患者様
- 20代女性
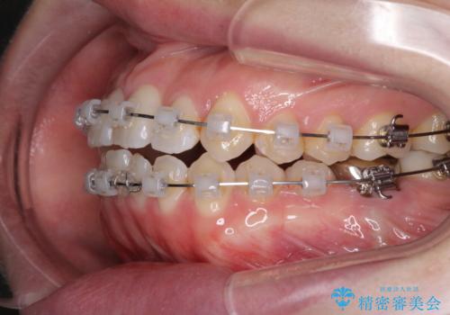
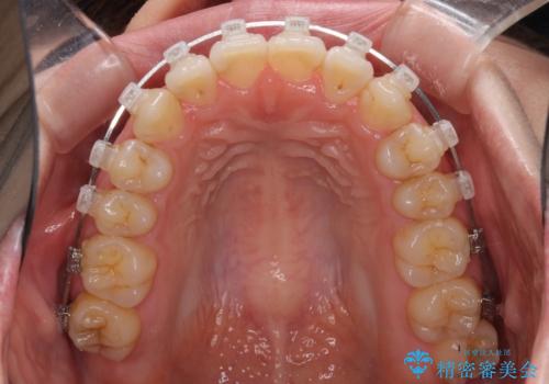
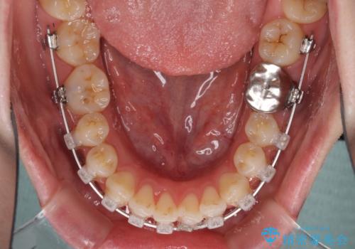
- 矯正装置
- クリアブラケット
- 治療期間
- 2年1ヶ月
- 治療回数
- 10-30回
- 治療計画
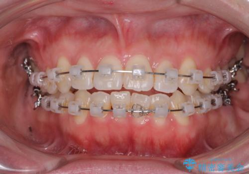
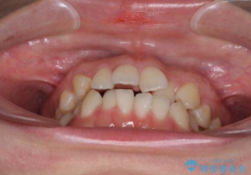
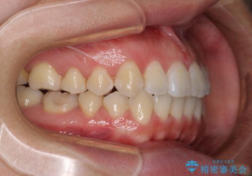
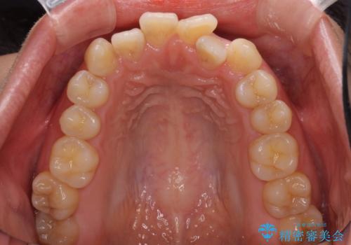
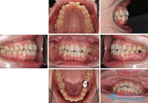
- 前歯のデコボコが気になるとのことで来院された患者様です。
目立たない装置と金属のワイヤーで矯正治療を行うこととしました。
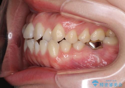
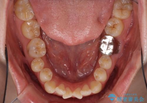
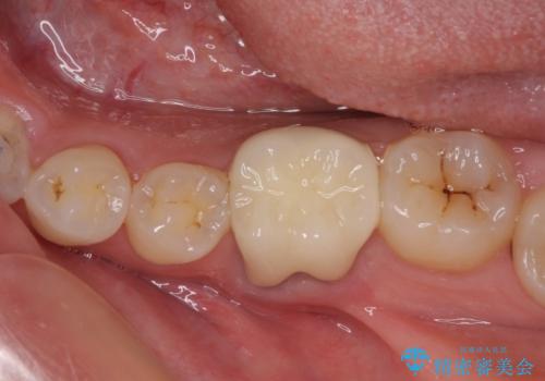
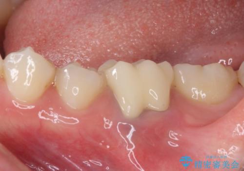
奥の銀歯も気になっていたため、矯正治療後にセラミッククラウンにて補綴することとしました。
- 費用(概算)
- 治療費の目安: 90万円費用は治療当時の料金となります
治療について
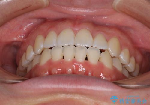
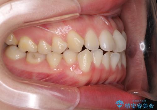
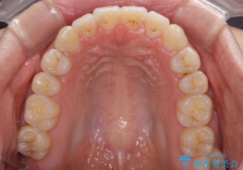
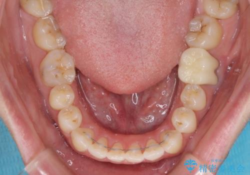
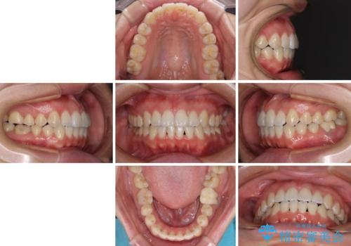
1年半程度の期間を見込んでいましたが、上下の真ん中の位置をできる限り合わせるための調整に少し時間がかかってしまいました。
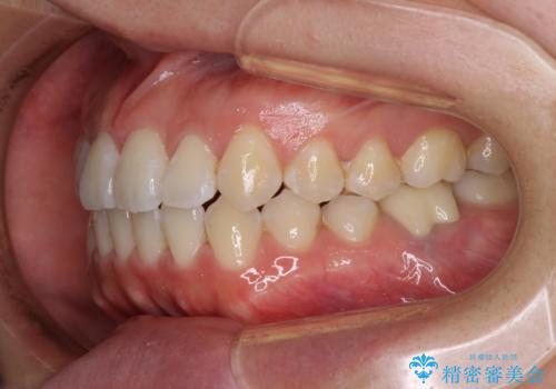
咬み合わせが安定し、前歯の汚れも付きにくくなりました。
ワイヤー矯正の注意事項(リスク・副作用など)
- 治療中は違和感や痛みが起こることがあります
- 症状により、抜歯が必要な場合があります
- 治療中は歯磨きがしにくくなるため、虫歯や歯周病になりやすくなります
- 矯正治療後の保定が不十分だと後戻り(元の位置に戻ろうとする動き)をします
- 自費診療(保険適用外)となります
セラミック治療の注意事項(リスク・副作用など)
- 天然歯を削ります
- 硬い素材は天然歯を傷つけてしまう場合があります
- かみ合わせや歯ぎしりが強すぎる方はセラミックが割れてしまう可能性があります
- 自費診療(保険適用外治療)となります
当サイトの内容、テキスト、画像等の無断転載、複製、複写、盗用を固く禁じます。
































