症例詳細
Case detail
前歯とメタルタトゥー見た目が気になる 矯正・セラミックを組み合わせた治療
治療症例の内容
- 患者様
- 30代男性
- 治療期間
- 8ヶ月
- 治療回数
- 5-10回
- 治療計画
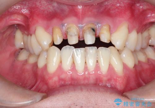
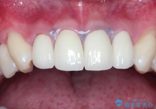
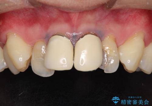
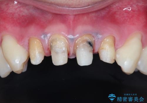
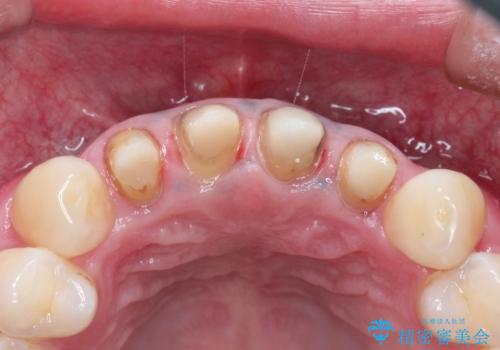
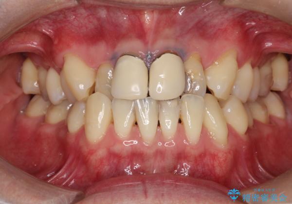
- 上の前歯の見た目が気になるとのことで来院されました。
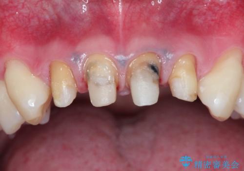
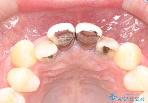
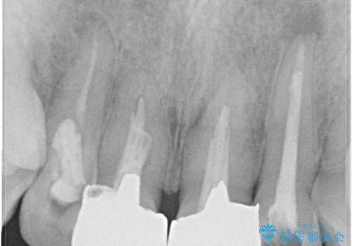
上の前歯の4本が神経の処置がされており、前から2番目の歯が内側に入り込んでしまっていました。
また、金属で治療された根本の歯茎が黒く変色(メタルタトゥー)しており、余計に見た目がよくない状態となっておりました。
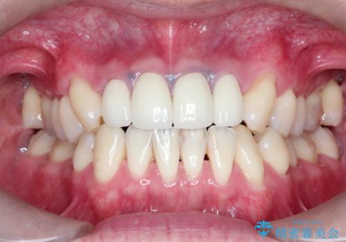
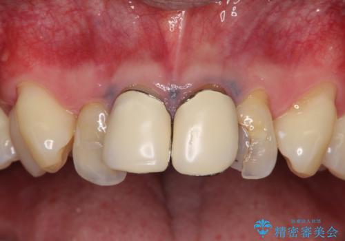
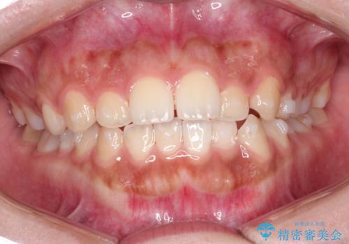
矯正治療で前歯の歯並びを整えてからセラミックほ装着する計画としました。
- 費用(概算)
- 約80万円費用は治療当時の料金となります
治療について
歯並びをかぶせ物のみで改善するのには限界があります。
矯正を併用することで、より審美的に良いかぶせ物を装着することが可能になります。
セラミック治療の注意事項(リスク・副作用など)
- 天然歯を削ります
- 硬い素材は天然歯を傷つけてしまう場合があります
- かみ合わせや歯ぎしりが強すぎる方はセラミックが割れてしまう可能性があります
- 自費診療(保険適用外治療)となります
ワイヤー矯正の注意事項(リスク・副作用など)
- 治療中は違和感や痛みが起こることがあります
- 症状により、抜歯が必要な場合があります
- 治療中は歯磨きがしにくくなるため、虫歯や歯周病になりやすくなります
- 矯正治療後の保定が不十分だと後戻り(元の位置に戻ろうとする動き)をします
- 自費診療(保険適用外)となります
当サイトの内容、テキスト、画像等の無断転載、複製、複写、盗用を固く禁じます。













