症例詳細
Case detail
美容歯科でも断られた 著しい前歯のクロスバイトをワイヤー矯正で改善
治療症例の内容
- 担当医
- 藤巻太一朗(ドクタープロフィール)
- 患者様
- 20代男性
- 矯正装置
- 審美装置
- 治療期間
- 1年1ヶ月
- 治療回数
- 10-30回
- 治療計画
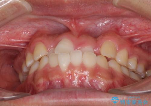
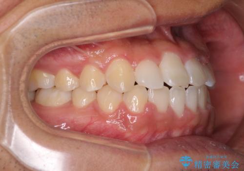
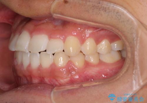
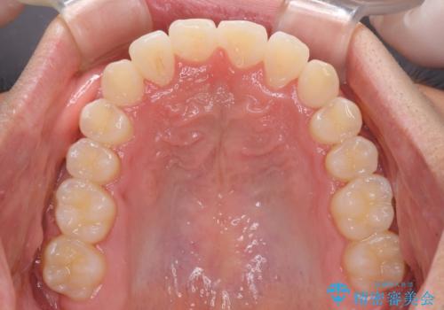
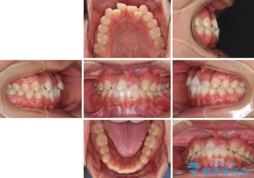
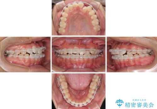
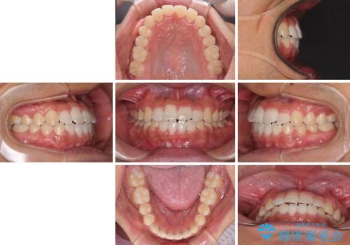
- 前歯のクロスバイトを気にして来院された患者様です。
美容専門の歯科医院を受診したところ、セラミックでの改善は無理と断られてしまったとのことでした。
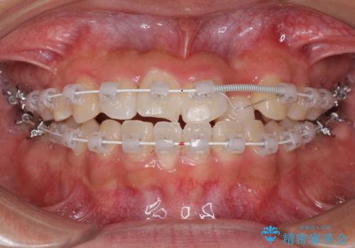
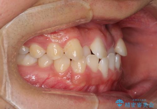
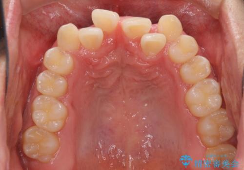
歯がすり減って不揃いの形態となっていますが、まずは矯正治療によりクロスバイトを改善することとしました。
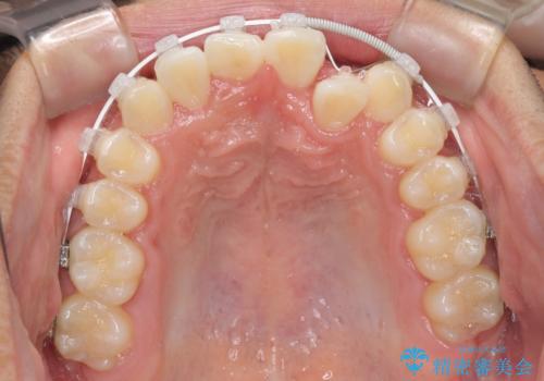
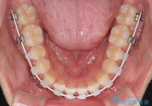
治療期間を極力短くしたいとのことで、ワイヤー矯正により治療を行うこととしました。
- 費用(概算)
- 治療費の目安: 100万円費用は治療当時の料金となります
治療について
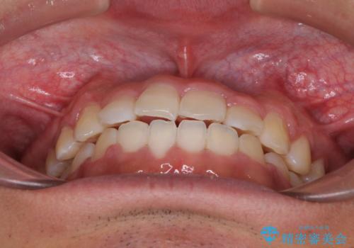
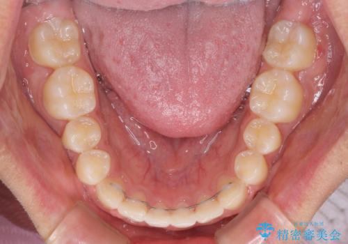
今後はすり減ってしまった歯の形をセラミッククラウンで改善したいとのことで、クロスバイトが改善し咬みやすくなった時点で装置を外すこととしました。
1年で治療を終えることができ、患者様には大変満足していただきました。
ワイヤー矯正の注意事項(リスク・副作用など)
- 治療中は違和感や痛みが起こることがあります
- 症状により、抜歯が必要な場合があります
- 治療中は歯磨きがしにくくなるため、虫歯や歯周病になりやすくなります
- 矯正治療後の保定が不十分だと後戻り(元の位置に戻ろうとする動き)をします
- 自費診療(保険適用外)となります
当サイトの内容、テキスト、画像等の無断転載、複製、複写、盗用を固く禁じます。




























