症例詳細
Case detail
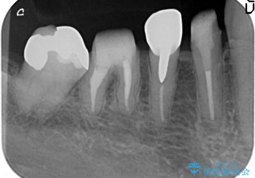
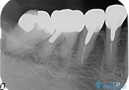
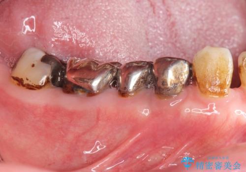
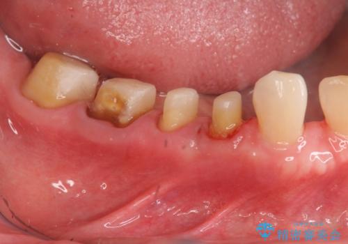
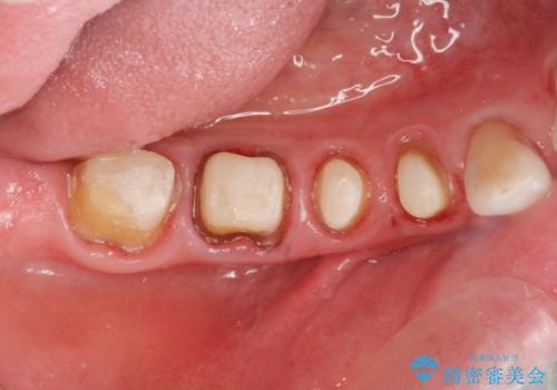
大臼歯 再根管治療
治療症例の内容
- 患者様
- 50代女性
- 治療期間
- 2ヶ月
- 治療回数
- 2-5回
- 治療計画
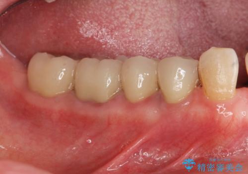
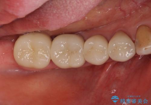
- 銀歯を白くしたいとの希望で来院されました。
せっかく銀歯を白くしても後々根管治療が必要になり、また壊して再治療を行うことを避けたいとの事でしたので、再根管治療から行っていきます。
- 費用(概算)
- 27万円(仮歯・ファイバーコア・ジルコニアクラウン・精密根管治療大臼歯再治療)費用は治療当時の料金となります
セラミック治療について
ただ銀歯を白くするのではなく長期的な予後には歯の内部、根管治療の成功が必要不可欠です。
根管治療の注意事項(リスク・副作用など)
- 根管治療により類似の全ての症例の問題が解決するわけではなく、症例はあくまでも一例です
- 根管治療により痛みや腫れがひかない事や、術後に痛みや腫れが生じる事、治療によるファイル破折やパーフォレーションなどの偶発症、術後の歯根破折を生じる可能性もあります
- 自費診療(保険適用外)となります
セラミック治療の注意事項(リスク・副作用など)
- 天然歯を削ります
- 硬い素材は天然歯を傷つけてしまう場合があります
- かみ合わせや歯ぎしりが強すぎる方はセラミックが割れてしまう可能性があります
- 自費診療(保険適用外治療)となります
当サイトの内容、テキスト、画像等の無断転載、複製、複写、盗用を固く禁じます。













