症例詳細
Case detail
口ゴボでお悩みの方必見! 不自然なセラミックをやり直す矯正 セラミックだけでは、口元は下がりません。
- 患者様
- 30代女性
- 矯正装置
- 審美装置
- 治療期間
- 3年6ヶ月
- 治療回数
- 30回以上
- 治療計画
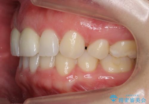
- 前歯が2本出っ歯だったのを、他院でセラミックにしたが、口元が突出しているのが治らないとのことでした。
 
 セラミックにする際に神経をとり、無理やり歯の頭の部分のみ内側に引っ込めてありました。
 
 出っ歯が厳しい方は、歯の頭の部分だけ被せて角度を変えても、根元は変わらないため、口元は下がりません。
 
 患者様は、矯正治療でしっかり前歯を下げたいとのことでした。
 
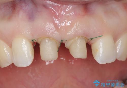
 前歯を下げるために、上下左右の小臼歯を抜歯することになりましたが、すでに前歯の角度を不自然に作ってあるため、
 
 もう一度前歯を元の角度に被せ直してから仮歯で矯正を行いました。
 
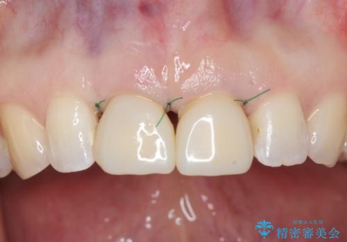
 矯正終了後、1年ほど保定を行いました。
 その後、マージンが舌側が深い状態だったため、歯ぐきの手術(歯周外科処置:APF)を行ってから最終的なセラミックを装着しました。
- 費用(概算)
- 117万円(矯正治療:90万円 上顎両側 1 ジルコニアクラウン(スペシャル):13万円x2、仮歯:1万円x2 矯正用高強度仮歯:2万円x2 歯周外科手術(APF):5万円)費用は治療当時の料金となります
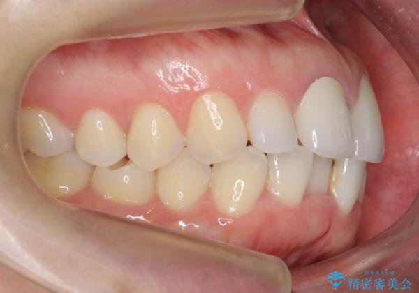
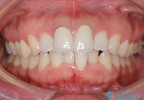
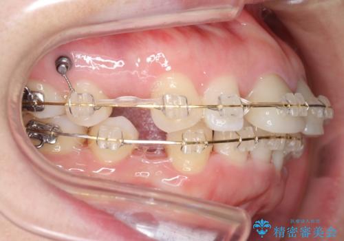
- 
                            開始前
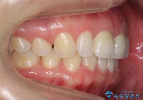
- 
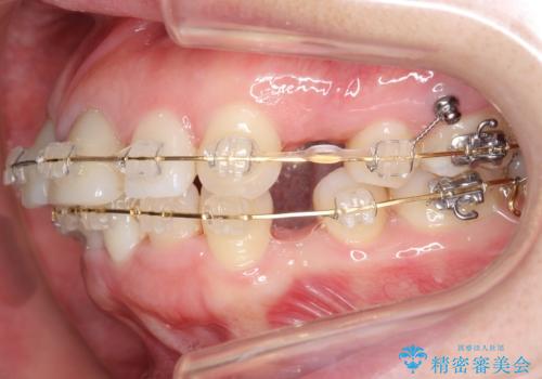
                            治療途中
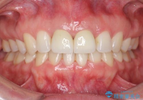
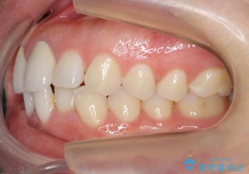
- 
                            終了時
治療について
矯正治療前に、一旦、引っ込めた前歯の角度を元に戻してから(出っ歯の仮歯をもう一度つけました・・・!)矯正しました。
患者様には快くご協力いただき、しっかり口元を下げることができました。
もし、今回のようにセラミックにかえてしまってから後悔しても遅くはありませんが、お金と時間と天然の歯が勿体無いですので、ぜひ色々ご検討いただければと思います。
ワイヤー矯正の注意事項(リスク・副作用など)
- 治療中は違和感や痛みが起こることがあります
- 症状により、抜歯が必要な場合があります
- 治療中は歯磨きがしにくくなるため、虫歯や歯周病になりやすくなります
- 矯正治療後の保定が不十分だと後戻り(元の位置に戻ろうとする動き)をします
- 自費診療(保険適用外)となります
当サイトの内容、テキスト、画像等の無断転載、複製、複写、盗用を固く禁じます。








 
                       
                                                          






















 
                   
                   
                  