症例詳細
Case detail
前歯の歯並びが気になる マウスピース矯正 30代女性
治療症例の内容
- 患者様
- 30代女性
- 矯正装置
- インビザラインフル(マウスピース矯正)
- 治療期間
- 1年
- 治療回数
- 10-30回
- 治療計画
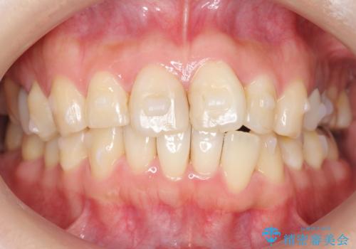
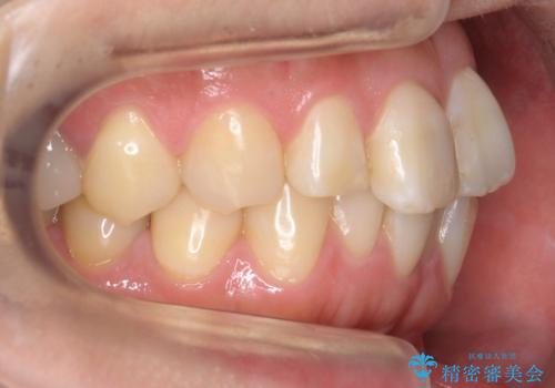
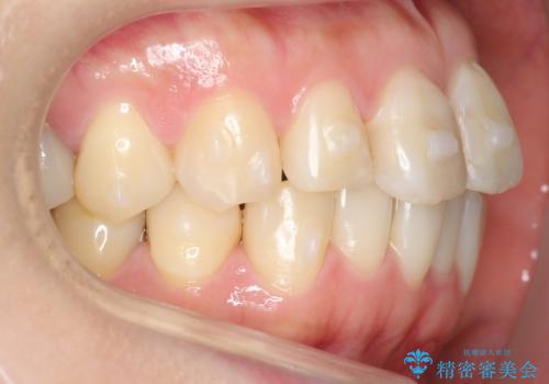
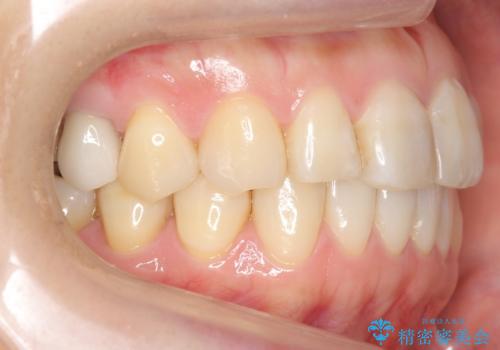
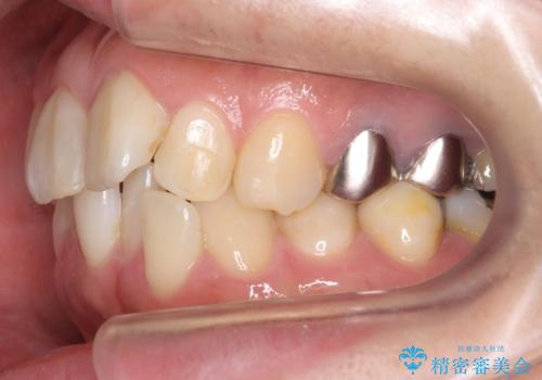
- 前歯の歯並びが気になることを主訴に来院された患者様です。
接客業のためインビザライン(マウスピース矯正)をご希望されました。
顎が小さく歯を並べるためのスペースが足りないため、
上下の前歯の歯と歯の間をすく処置(ディスキング)を行いました。
矯正装置:インビザラインフル (初回13stage+リファインメント11stage:計1年)
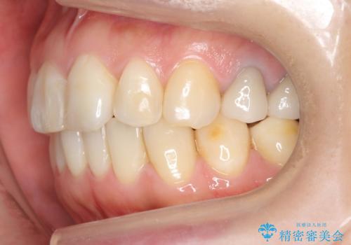
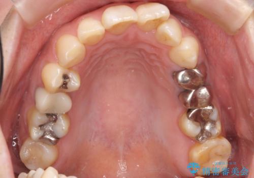
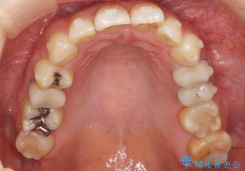
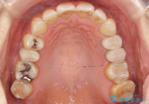
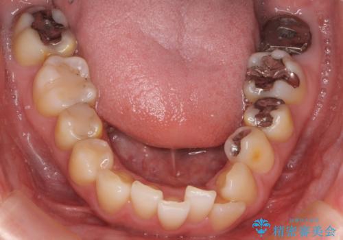
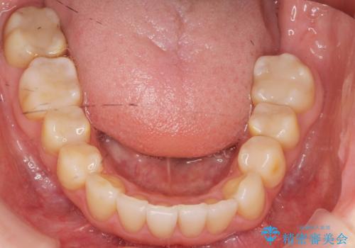
矯正後、右上5左上45セラミッククラウン・右下65左下5セラミックインレーによる補綴治療を行いました。
(治療期間:2ヶ月)
なお、左下の奥歯(左下7)は状態が悪く保存不可能と判断し矯正前に抜歯しております。
- 費用(概算)
- ¥850,000 (インビザラインフル) ¥550,000 (矯正用仮歯、仮歯、土台、クラウン、インレー)費用は治療当時の料金となります
治療について
ご希望のマウスピース矯正で歯並びが綺麗になり、大変喜んで頂けました。
食事の度のマウスピース着脱や歯を磨いてからの装着がお仕事上大変なようでしたが、
「1ヶ月程度で慣れましたし、間食の回数が減り歯並びも整って一石二鳥です!」
と治療途中に明るくおっしゃっていました。
治療後には笑うと見えて気になっていた銀歯も白くなり、より一層素敵な笑顔を見せて下さいました。
ホワイトニング予定のため、セラミッククラウンの色は隣在歯よりやや白めにオーダーしました。
左下7欠損に関してはインプラントを検討中とのことです。
クラウンの種類:オールセラミッククラウン エコノミー(e-max press Cr)
インレーの種類:e-max press セラミックインレー
マウスピース矯正の注意事項(リスク・副作用など)
- 口腔内・歯並びの状態によっては対応できない場合があります
- マウスピース型矯正装置の長時間装着(1日20時間以上)が必須です
- 治療計画通りに進めるためには、患者様の意志が重要になります
- 矯正治療後の保定が不十分だと後戻り(元の位置に戻ろうとする動き)をします
- 薬機法対象外の矯正歯科装置のため医薬品副作用被害救済制度の対象外となる場合があります
- 自費診療(保険適用外)となります
セラミック治療の注意事項(リスク・副作用など)
- 天然歯を削ります
- 硬い素材は天然歯を傷つけてしまう場合があります
- かみ合わせや歯ぎしりが強すぎる方はセラミックが割れてしまう可能性があります
- 自費診療(保険適用外治療)となります
PGA(ゴールド)クラウン、インレーの注意事項(リスク・副作用など)
- インレーおよびクラウンは脱離するリスクがあります
- 形成量はセラミックより少ないですが、歯の形成、修復後に歯に症状が出ることがあります
- 自費診療(保険適用外治療)となります
当サイトの内容、テキスト、画像等の無断転載、複製、複写、盗用を固く禁じます。























