症例詳細
Case detail
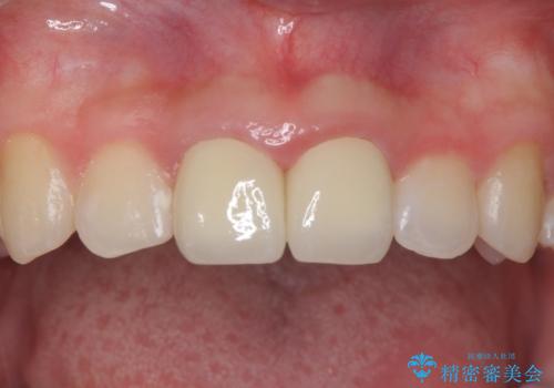
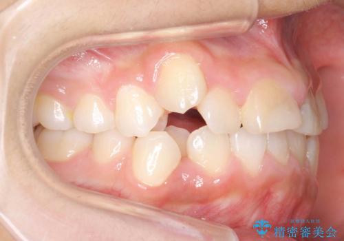
小さいころに前歯を折った がたがたの矯正+変色した前歯をセラミックに
治療症例の内容
- 患者様
- 10代男子
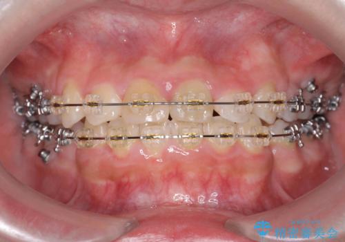
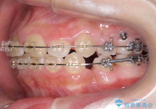
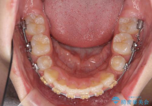
- 矯正装置
- プラスチック装置
- 治療期間
- 2年6ヶ月
- 治療回数
- 10-30回
- 治療計画
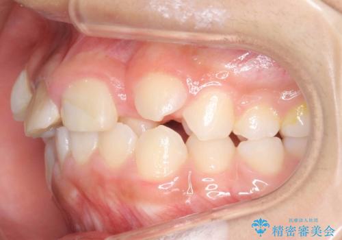
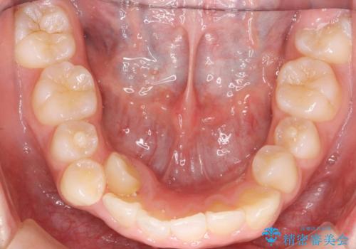
- 前歯のガタガタを主訴に来院。
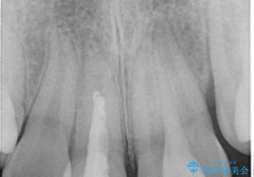
上の前歯は、小さいころにぶつけて折ったとのことで、神経が死んでおり、根の治療が必要な状態でした。
神経の治療を先に行い、ワイヤー矯正を行いました。
上下の小臼歯を抜歯しています。
- 費用(概算)
- 144万円(矯正治療 90万円、前歯のセラミック 54万円(ジルコニアクラウン スペシャル 13万円 x 2、左上1:専門医による精密根管治療 11万円・右上1の精密根管治療::9万円、ファイバーコア2万円 x 2、仮歯 1万円 x 2))費用は治療当時の料金となります
治療について
左上の前歯は神経が死んでおり治療が必要な状態でした。また、右上の前歯も根の先に感染がありましたので治療を行いました。
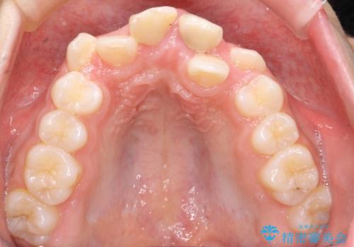
また、プラスチックでつぎはぎになっていたため、虫歯を取りしっかりとしたクラウン(被せもの)としました。
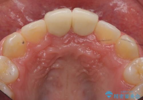
前歯の変色及び、ガタガタもしっかりなおり、満足していただきました。
セラミック治療の注意事項(リスク・副作用など)
- 天然歯を削ります
- 硬い素材は天然歯を傷つけてしまう場合があります
- かみ合わせや歯ぎしりが強すぎる方はセラミックが割れてしまう可能性があります
- 自費診療(保険適用外治療)となります
ワイヤー矯正の注意事項(リスク・副作用など)
- 治療中は違和感や痛みが起こることがあります
- 症状により、抜歯が必要な場合があります
- 治療中は歯磨きがしにくくなるため、虫歯や歯周病になりやすくなります
- 矯正治療後の保定が不十分だと後戻り(元の位置に戻ろうとする動き)をします
- 自費診療(保険適用外)となります
当サイトの内容、テキスト、画像等の無断転載、複製、複写、盗用を固く禁じます。

























